Suppr超能文献

2011 年美国与实体器官移植相关的淋巴细胞脉络丛脑膜炎。

Solid organ transplant-associated lymphocytic choriomeningitis, United States, 2011.

机构信息

Centers for Disease Control and Prevention, Atlanta, Georgia, USA.

出版信息

Emerg Infect Dis. 2012 Aug;18(8):1256-62. doi: 10.3201/eid1808.120212.

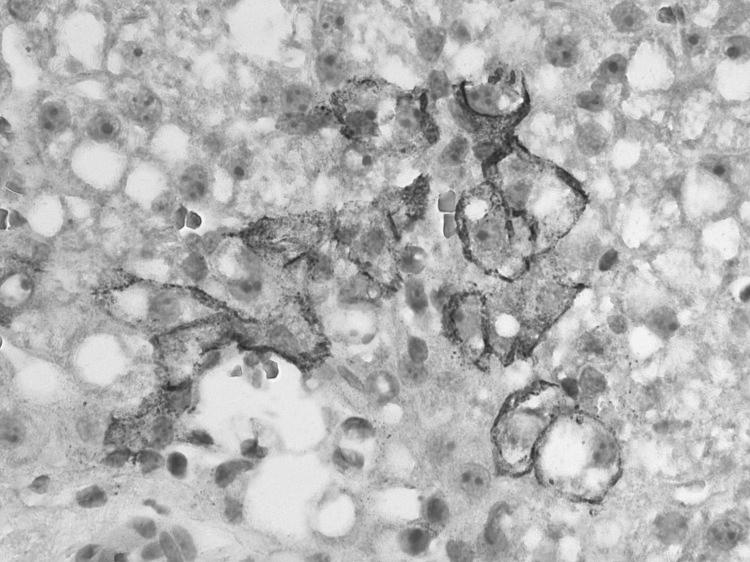
Abstract

Three clusters of organ transplant-associated lymphocytic choriomeningitis virus (LCMV) transmissions have been identified in the United States; 9 of 10 recipients died. In February 2011, we identified a fourth cluster of organ transplant-associated LCMV infections. Diabetic ketoacidosis developed in the organ donor in December 2010; she died with generalized brain edema after a short hospitalization. Both kidneys, liver, and lung were transplanted to 4 recipients; in all 4, severe posttransplant illness developed; 2 recipients died. Through multiple diagnostic methods, we identified LCMV infection in all persons, including in at least 1 sample from the donor and 4 recipients by reverse transcription PCR, and sequences of a 396-bp fragment of the large segment of the virus from all 5 persons were identical. In this cluster, all recipients developed severe illness, but 2 survived. LCMV infection should be considered as a possible cause of severe posttransplant illness.

摘要

美国已发现 3 起与器官移植相关的淋巴细胞性脉络丛脑膜炎病毒 (LCMV) 传播集群;10 名受者中有 9 名死亡。2011 年 2 月,我们发现了第 4 起与器官移植相关的 LCMV 感染集群。器官供者于 2010 年 12 月发生糖尿病酮症酸中毒;她在短时间住院后死于广泛脑水肿。2 个肾脏、1 个肝脏和 1 个肺被移植给 4 名受者;4 人均出现严重的移植后疾病;2 名受者死亡。通过多种诊断方法,我们在所有受者中均发现了 LCMV 感染,包括供者和 4 名受者的至少 1 份样本通过逆转录 PCR 检测到,以及 5 人均来自病毒大节段的 396 个碱基片段的序列完全相同。在该集群中,所有受者均出现严重疾病,但有 2 名存活。应考虑 LCMV 感染为严重移植后疾病的可能病因。

https://cdn.ncbi.nlm.nih.gov/pmc/blobs/8e7b/3414043/22fa5e254c5e/12-0212-F1.jpg

文献检索

告别复杂PubMed语法,用中文像聊天一样搜索,搜遍4000万医学文献。AI智能推荐,让科研检索更轻松。

立即免费搜索

文件翻译

保留排版,准确专业,支持PDF/Word/PPT等文件格式,支持 12+语言互译。

免费翻译文档

深度研究

AI帮你快速写综述,25分钟生成高质量综述,智能提取关键信息,辅助科研写作。

立即免费体验