• 文献检索
  • 文档翻译
  • 深度研究
  • 学术资讯
  • Suppr Zotero 插件Zotero 插件
  • 邀请有礼
  • 套餐&价格
  • 历史记录
应用&插件
Suppr Zotero 插件Zotero 插件浏览器插件Mac 客户端Windows 客户端微信小程序
定价
高级版会员购买积分包购买API积分包
服务
文献检索文档翻译深度研究API 文档MCP 服务
关于我们
关于 Suppr公司介绍联系我们用户协议隐私条款
关注我们

Suppr 超能文献

核心技术专利:CN118964589B侵权必究
粤ICP备2023148730 号-1Suppr @ 2026

文献检索

告别复杂PubMed语法,用中文像聊天一样搜索,搜遍4000万医学文献。AI智能推荐,让科研检索更轻松。

立即免费搜索

文件翻译

保留排版,准确专业,支持PDF/Word/PPT等文件格式,支持 12+语言互译。

免费翻译文档

深度研究

AI帮你快速写综述,25分钟生成高质量综述,智能提取关键信息,辅助科研写作。

立即免费体验

内脏利什曼病中 RBC 的唾液酸化导致氧化应激增强、钙蛋白酶诱导的血影蛋白碎片化和溶血。

Sialoglycosylation of RBC in visceral leishmaniasis leads to enhanced oxidative stress, calpain-induced fragmentation of spectrin and hemolysis.

机构信息

Cancer Biology and Inflammatory Disorder Division, CSIR-Indian Institute of Chemical Biology, Kolkata, India.

出版信息

PLoS One. 2012;7(7):e42361. doi: 10.1371/journal.pone.0042361. Epub 2012 Jul 31.

DOI:10.1371/journal.pone.0042361
PMID:22860118
原文链接:https://pmc.ncbi.nlm.nih.gov/articles/PMC3409180/
Abstract

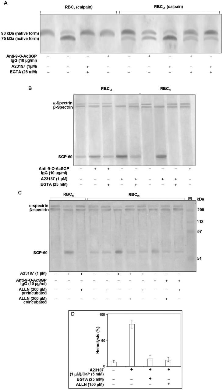
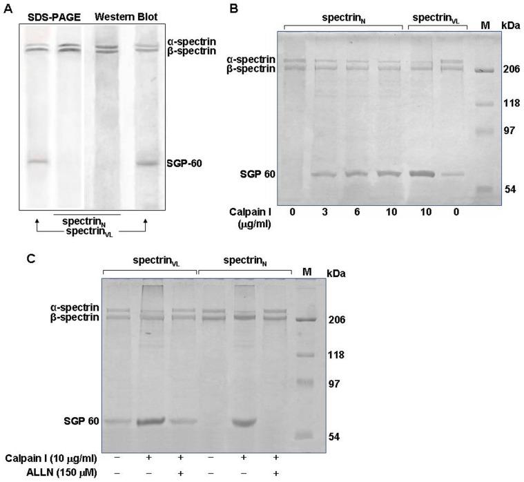
Visceral leishmaniasis (VL) caused by the intracellular parasite Leishmania donovani accounts for an estimated 12 million cases of human infection. It is almost always associated with anemia, which severely complicates the disease course. However, the pathological processes leading to anemia in VL have thus far not been adequately characterized to date. In studying the glycosylation patterns of peripheral blood cells we found that the red blood cells (RBC) of VL patients (RBC(VL)) express eight 9-O-acetylated sialoglycoproteins (9-O-AcSGPs) that are not detected in the RBC of healthy individuals (RBC(N)). At the same time, the patients had high titers of anti-9-O-AcSGP IgG antibodies in their sera. These two conditions appear to be linked and related to the anemic state of the patients, as exposure of RBC(VL) but not RBC(N) to anti-9-O-AcSGPs antibodies purified from patient sera triggered a series of responses. These included calcium influx via the P/Q-type but not L-type channels, activation of calpain I, proteolysis of spectrin, enhanced oxidative stress, lipid peroxidation, externalization of phosphatidyl serine with enhanced erythrophagocytosis, enhanced membrane fragility and, finally, hemolysis. Taken together, this study suggests that the enhanced hemolysis is linked to an impairment of membrane integrity in RBC(VL) which is mediated by ligand-specific interaction of surface 9-O-AcSGPs. This affords a potential explanation for the structural and functional features of RBC(VL) which are involved in the hemolysis related to the anemia which develops in VL patients.

摘要

内脏利什曼病(VL)由细胞内寄生虫利什曼原虫引起,估计有 1200 万人感染。它几乎总是与贫血有关,这严重使疾病复杂化。然而,导致 VL 贫血的病理过程迄今为止尚未得到充分描述。在研究外周血细胞的糖基化模式时,我们发现 VL 患者的红细胞(RBC(VL))表达八种 9-O-乙酰化唾液糖蛋白(9-O-AcSGPs),而健康个体的 RBC(N)中未检测到。同时,患者血清中存在高滴度的抗 9-O-AcSGP IgG 抗体。这两种情况似乎是相关的,与患者的贫血状态有关,因为只有 RBC(VL)而不是 RBC(N)暴露于从患者血清中纯化的抗 9-O-AcSGPs 抗体会引发一系列反应。这些反应包括通过 P/Q 型但不是 L 型通道的钙内流、钙蛋白酶 I 的激活、血影蛋白的蛋白水解、氧化应激的增强、脂质过氧化、磷脂酰丝氨酸的外化以及红细胞吞噬作用的增强、膜脆性的增强,最终导致溶血。总之,这项研究表明,增强的溶血与 RBC(VL)的膜完整性受损有关,这是由表面 9-O-AcSGPs 的配体特异性相互作用介导的。这为 RBC(VL)与 VL 患者发生贫血相关的溶血有关的结构和功能特征提供了一个潜在的解释。

https://cdn.ncbi.nlm.nih.gov/pmc/blobs/9e2f/3409180/af762869775b/pone.0042361.g005.jpg
https://cdn.ncbi.nlm.nih.gov/pmc/blobs/9e2f/3409180/0f96163d8b92/pone.0042361.g001.jpg
https://cdn.ncbi.nlm.nih.gov/pmc/blobs/9e2f/3409180/6ab809270794/pone.0042361.g002.jpg
https://cdn.ncbi.nlm.nih.gov/pmc/blobs/9e2f/3409180/f0f97a83ee7e/pone.0042361.g003.jpg
https://cdn.ncbi.nlm.nih.gov/pmc/blobs/9e2f/3409180/23c0f82de16e/pone.0042361.g004.jpg
https://cdn.ncbi.nlm.nih.gov/pmc/blobs/9e2f/3409180/af762869775b/pone.0042361.g005.jpg
https://cdn.ncbi.nlm.nih.gov/pmc/blobs/9e2f/3409180/0f96163d8b92/pone.0042361.g001.jpg
https://cdn.ncbi.nlm.nih.gov/pmc/blobs/9e2f/3409180/6ab809270794/pone.0042361.g002.jpg
https://cdn.ncbi.nlm.nih.gov/pmc/blobs/9e2f/3409180/f0f97a83ee7e/pone.0042361.g003.jpg
https://cdn.ncbi.nlm.nih.gov/pmc/blobs/9e2f/3409180/23c0f82de16e/pone.0042361.g004.jpg
https://cdn.ncbi.nlm.nih.gov/pmc/blobs/9e2f/3409180/af762869775b/pone.0042361.g005.jpg

相似文献

1
Sialoglycosylation of RBC in visceral leishmaniasis leads to enhanced oxidative stress, calpain-induced fragmentation of spectrin and hemolysis.内脏利什曼病中 RBC 的唾液酸化导致氧化应激增强、钙蛋白酶诱导的血影蛋白碎片化和溶血。
PLoS One. 2012;7(7):e42361. doi: 10.1371/journal.pone.0042361. Epub 2012 Jul 31.
2
Glycosylation of erythrocyte spectrin and its modification in visceral leishmaniasis.红细胞血影蛋白的糖基化及其在内脏利什曼病中的改变。
PLoS One. 2011;6(12):e28169. doi: 10.1371/journal.pone.0028169. Epub 2011 Dec 2.
3
Variable degree of alternative complement pathway-mediated hemolysis in Indian visceral leishmaniasis induced by differential expression of 9-O-acetylated sialoglycans.9-O-乙酰化唾液酸聚糖的差异表达诱导印度内脏利什曼病中替代补体途径介导的溶血程度各异。
J Infect Dis. 2004 Apr 1;189(7):1257-64. doi: 10.1086/382752. Epub 2004 Mar 12.
4
9-O-acetylated sialoglycoproteins are important immunomodulators in Indian visceral leishmaniasis.9-O-乙酰化唾液酸糖蛋白是印度内脏利什曼病中的重要免疫调节剂。
Clin Vaccine Immunol. 2009 Jun;16(6):889-98. doi: 10.1128/CVI.00453-08. Epub 2009 Apr 29.
5
Retraction: Sialoglycosylation of RBC in Visceral Leishmaniasis Leads to Enhanced Oxidative Stress, Calpain-Induced Fragmentation of Spectrin and Hemolysis.撤稿声明:内脏利什曼病中红细胞的唾液酸化糖基化导致氧化应激增强、钙蛋白酶诱导的血影蛋白碎片化和溶血。
PLoS One. 2019 Oct 24;14(10):e0224539. doi: 10.1371/journal.pone.0224539. eCollection 2019.
6
Disease-associated glycosylated molecular variants of human C-reactive protein activate complement-mediated hemolysis of erythrocytes in tuberculosis and Indian visceral leishmaniasis.人 C 反应蛋白糖基化分子变异体与疾病相关,可激活结核和印度内脏利什曼病中补体介导的红细胞溶血。
Glycoconj J. 2009 Dec;26(9):1151-69. doi: 10.1007/s10719-009-9236-y.
7
Prevalence, severity, and pathogeneses of anemia in visceral leishmaniasis.内脏利什曼病中贫血的患病率、严重程度及发病机制
Parasitol Res. 2017 Feb;116(2):457-464. doi: 10.1007/s00436-016-5313-x. Epub 2016 Nov 7.
8
Regulatory role of nitric oxide in the reduced survival of erythrocytes in visceral leishmaniasis.一氧化氮在内脏利什曼病中红细胞存活率降低方面的调节作用。
Biochim Biophys Acta. 2010 Sep;1800(9):964-76. doi: 10.1016/j.bbagen.2010.05.008. Epub 2010 May 26.
9
Oxidation of hemoglobin and redistribution of band 3 promote erythrophagocytosis in visceral leishmaniasis.血红蛋白的氧化和带3的重新分布促进内脏利什曼病中的红细胞吞噬作用。
Mol Cell Biochem. 2009 Jan;321(1-2):53-63. doi: 10.1007/s11010-008-9909-z. Epub 2008 Sep 6.
10
Clinical severity of visceral leishmaniasis is associated with changes in immunoglobulin g fc N-glycosylation.内脏利什曼病的临床严重程度与免疫球蛋白G Fc N-糖基化的变化有关。
mBio. 2014 Dec 2;5(6):e01844. doi: 10.1128/mBio.01844-14.

引用本文的文献

1
Retraction: Sialoglycosylation of RBC in Visceral Leishmaniasis Leads to Enhanced Oxidative Stress, Calpain-Induced Fragmentation of Spectrin and Hemolysis.撤稿声明:内脏利什曼病中红细胞的唾液酸化糖基化导致氧化应激增强、钙蛋白酶诱导的血影蛋白碎片化和溶血。
PLoS One. 2019 Oct 24;14(10):e0224539. doi: 10.1371/journal.pone.0224539. eCollection 2019.
2
CD4 T Cells Alter the Stromal Microenvironment and Repress Medullary Erythropoiesis in Murine Visceral Leishmaniasis.CD4 T 细胞改变了骨髓基质微环境并抑制了鼠内脏利什曼病中的红系造血。
Front Immunol. 2018 Dec 18;9:2958. doi: 10.3389/fimmu.2018.02958. eCollection 2018.
3
Oxidative Stress and Cardiovascular Complications in Chronic Kidney Disease, the Impact of Anaemia.

本文引用的文献

1
Glycosylation of erythrocyte spectrin and its modification in visceral leishmaniasis.红细胞血影蛋白的糖基化及其在内脏利什曼病中的改变。
PLoS One. 2011;6(12):e28169. doi: 10.1371/journal.pone.0028169. Epub 2011 Dec 2.
2
A perspective on the emergence of sialic acids as potent determinants affecting leishmania biology.关于唾液酸作为影响利什曼原虫生物学的重要决定因素出现的观点。
Mol Biol Int. 2011;2011:532106. doi: 10.4061/2011/532106. Epub 2011 Jul 25.
3
Control of the leishmaniases.利什曼病的控制
慢性肾脏病中的氧化应激与心血管并发症:贫血的影响
Pharmaceuticals (Basel). 2018 Oct 11;11(4):103. doi: 10.3390/ph11040103.
4
Mahanine drives pancreatic adenocarcinoma cells into endoplasmic reticular stress-mediated apoptosis through modulating sialylation process and Ca-signaling.马汉宁通过调节唾液酸化过程和钙信号来诱导胰腺腺癌细胞发生内质网应激介导的细胞凋亡。
Sci Rep. 2018 Mar 2;8(1):3911. doi: 10.1038/s41598-018-22143-w.
5
Prevalence, severity, and pathogeneses of anemia in visceral leishmaniasis.内脏利什曼病中贫血的患病率、严重程度及发病机制
Parasitol Res. 2017 Feb;116(2):457-464. doi: 10.1007/s00436-016-5313-x. Epub 2016 Nov 7.
6
Leishmania donovani Utilize Sialic Acids for Binding and Phagocytosis in the Macrophages through Selective Utilization of Siglecs and Impair the Innate Immune Arm.杜氏利什曼原虫通过选择性利用唾液酸结合凝集素在巨噬细胞中利用唾液酸进行结合和吞噬作用,并损害固有免疫分支。
PLoS Negl Trop Dis. 2016 Aug 5;10(8):e0004904. doi: 10.1371/journal.pntd.0004904. eCollection 2016 Aug.
7
A potential link among antioxidant enzymes, histopathology and trace elements in canine visceral leishmaniasis.抗氧化酶、组织病理学和犬内脏利什曼病微量元素之间的潜在联系。
Int J Exp Pathol. 2014 Aug;95(4):260-70. doi: 10.1111/iep.12080. Epub 2014 Apr 26.
8
Sialic acids siglec interaction: a unique strategy to circumvent innate immune response by pathogens.唾液酸与唾液酸结合免疫球蛋白样凝集素的相互作用:病原体规避先天性免疫反应的独特策略。
Indian J Med Res. 2013 Nov;138(5):648-62.
9
Heme uptake mediated by LHR1 is essential for Leishmania amazonensis virulence.LHR1 介导的亚铁血红素摄取对亚马逊利什曼原虫的毒力至关重要。
Infect Immun. 2013 Oct;81(10):3620-6. doi: 10.1128/IAI.00687-13. Epub 2013 Jul 22.
World Health Organ Tech Rep Ser. 2010(949):xii-xiii, 1-186, back cover.
4
Sialic acids acquired by Pseudomonas aeruginosa are involved in reduced complement deposition and siglec mediated host-cell recognition.铜绿假单胞菌获得的唾液酸参与补体沉积减少和 Siglec 介导的宿主细胞识别。
FEBS Lett. 2010 Feb 5;584(3):555-61. doi: 10.1016/j.febslet.2009.11.087. Epub 2009 Nov 27.
5
Disease-associated glycosylated molecular variants of human C-reactive protein activate complement-mediated hemolysis of erythrocytes in tuberculosis and Indian visceral leishmaniasis.人 C 反应蛋白糖基化分子变异体与疾病相关,可激活结核和印度内脏利什曼病中补体介导的红细胞溶血。
Glycoconj J. 2009 Dec;26(9):1151-69. doi: 10.1007/s10719-009-9236-y.
6
9-O-acetylated sialoglycoproteins are important immunomodulators in Indian visceral leishmaniasis.9-O-乙酰化唾液酸糖蛋白是印度内脏利什曼病中的重要免疫调节剂。
Clin Vaccine Immunol. 2009 Jun;16(6):889-98. doi: 10.1128/CVI.00453-08. Epub 2009 Apr 29.
7
alphaII-Spectrin breakdown product cerebrospinal fluid exposure metrics suggest differences in cellular injury mechanisms after severe traumatic brain injury.αII-血影蛋白降解产物脑脊液暴露指标提示重度创伤性脑损伤后细胞损伤机制存在差异。
J Neurotrauma. 2009 Apr;26(4):471-9. doi: 10.1089/neu.2008.0657.
8
9- O-acetylated sialic acids enhance entry of virulent Leishmania donovani promastigotes into macrophages.9-O-乙酰化唾液酸增强了有毒利什曼原虫前鞭毛体进入巨噬细胞的能力。
Parasitology. 2009 Feb;136(2):159-73. doi: 10.1017/S0031182008005180. Epub 2008 Dec 15.
9
Structural and mechanical characteristics of erythrocyte membranes in patients with type 2 diabetes mellitus.2型糖尿病患者红细胞膜的结构和力学特性
Bull Exp Biol Med. 2008 Jan;145(1):99-103. doi: 10.1007/s10517-008-0036-3.
10
Sialoglycotherapeutics in protozoal diseases.原生动物疾病中的唾液酸糖疗法。
Mini Rev Med Chem. 2008 Apr;8(4):358-69. doi: 10.2174/138955708783955980.