Suppr超能文献

通过远端胃横断术进行胃十二指肠成形术。一种闭合十二指肠大缺损的新技术。

Gastroduodeno-plasty performed by distal gastric transection.- A new technique for large duodenal defect closure.

作者信息

Büsing Martin, Shaheen Hassan, Riege Raute, Utech Markus

机构信息

Department of General and Visceral Surgery, Klinikum-Vest, Knappschaftskrankenhaus, Recklinghausen, Germany.

出版信息

Ann Surg Innov Res. 2012 Aug 8;6:6. doi: 10.1186/1750-1164-6-6.

Abstract

INTRODUCTION

Duodenal ulcer lesions can represent a surgical challenge, especially if the duodenal wall is chronically inflamed, the defect exceeds a diameter of 3 cm and the ulceration is located in the second part of the duodenum.

PATIENT AND METHOD

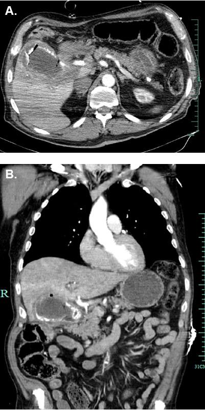
We present the case of a 70-year-old male, who suffered from a 3 x 4 cm duodenal defect caused by duodenal pressure necrosis due to a 12.5 x 5.5 x 5 cm gallstone. Additionally, this stone caused intestinal obstruction (Bouveret's syndrome) and bleeding with signs of shock. Besides the gallstone extraction, the common bile duct was drained by a T-tube and the duodenal defect closure was performed by a gastroduodeno-plasty and Bilroth II gastroenterostomy. The postoperative phase was uneventful. The reconstructed duodenum was endoscopically accessible and showed no pathological findings on follow-up.

CONCLUSION

The reconstruction of a large defect (> 3 cm) of the second part of the duodenum is safely feasible by a gastroduodeno-plasty. The critical gastroduodenal anastomosis can be protected by duodenal decompression, achieved by placing a T-tube in the common bile duct.

摘要

引言

十二指肠溃疡病变可能带来手术挑战,尤其是当十二指肠壁发生慢性炎症、缺损直径超过3厘米且溃疡位于十二指肠第二部时。

患者与方法

我们报告一例70岁男性病例,其因一枚12.5×5.5×5厘米的胆结石导致十二指肠压迫性坏死,出现了一个3×4厘米的十二指肠缺损。此外,该结石还引发了肠梗阻(布-加综合征)并伴有休克迹象的出血。除了取出胆结石外,通过T形管对胆总管进行引流,并采用胃十二指肠成形术和毕罗Ⅱ式胃肠吻合术对十二指肠缺损进行修复。术后过程顺利。重建后的十二指肠在内镜检查时可及,随访未发现病理改变。

结论

通过胃十二指肠成形术安全可行地重建十二指肠第二部的大缺损(>3厘米)。通过在胆总管放置T形管实现十二指肠减压,可保护关键的胃十二指肠吻合口。

https://cdn.ncbi.nlm.nih.gov/pmc/blobs/fae4/3432014/4927d56e784f/1750-1164-6-6-1.jpg

文献AI研究员

20分钟写一篇综述,助力文献阅读效率提升50倍。

立即体验

用中文搜PubMed

大模型驱动的PubMed中文搜索引擎

马上搜索

文档翻译

学术文献翻译模型,支持多种主流文档格式。

立即体验