• 文献检索
  • 文档翻译
  • 深度研究
  • 学术资讯
  • Suppr Zotero 插件Zotero 插件
  • 邀请有礼
  • 套餐&价格
  • 历史记录
应用&插件
Suppr Zotero 插件Zotero 插件浏览器插件Mac 客户端Windows 客户端微信小程序
定价
高级版会员购买积分包购买API积分包
服务
文献检索文档翻译深度研究API 文档MCP 服务
关于我们
关于 Suppr公司介绍联系我们用户协议隐私条款
关注我们

Suppr 超能文献

核心技术专利:CN118964589B侵权必究
粤ICP备2023148730 号-1Suppr @ 2026

文献检索

告别复杂PubMed语法,用中文像聊天一样搜索,搜遍4000万医学文献。AI智能推荐,让科研检索更轻松。

立即免费搜索

文件翻译

保留排版,准确专业,支持PDF/Word/PPT等文件格式,支持 12+语言互译。

免费翻译文档

深度研究

AI帮你快速写综述,25分钟生成高质量综述,智能提取关键信息,辅助科研写作。

立即免费体验

Primary gastric Hodgkin's lymphoma.

作者信息

Jung Ji-Han, Kim Jihyun, Park Gyeongsin, Chin Hyung Min

机构信息

Department of Hospital Pathology, The Catholic University of Korea St. Vincent Hospital, Suwon, Korea.

出版信息

J Korean Surg Soc. 2012 Aug;83(2):111-4. doi: 10.4174/jkss.2012.83.2.111. Epub 2012 Jul 25.

DOI:10.4174/jkss.2012.83.2.111
PMID:22880187
原文链接:https://pmc.ncbi.nlm.nih.gov/articles/PMC3412183/
Abstract

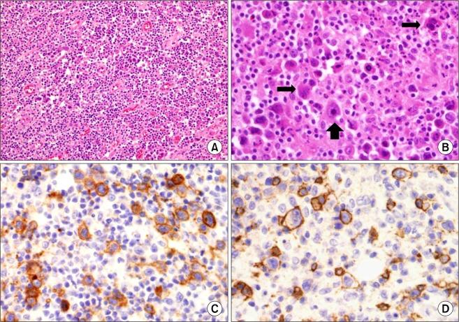
Gastric Hodgkin's lymphoma is extremely rare. We present a case of primary Hodgkin's lymphoma arising in the stomach of a 65-year-old woman. The patient complained of epigastric discomfort and reflux for one month. Endoscopic examination revealed a protruding lesion characterized by a smooth surface at the antrum. An abdominal computed tomography uncovered a 2.5 × 2.0 cm, exophytic submucosal mass. After the tentative preoperative diagnosis of a gastrointestinal stromal tumor, a gastric wedge resection was performed. Microscopic examination of the mass demonstrated a diffuse proliferation of large atypical lymphoid cells with mono- and binucleated pleomorphic nuclei and prominent nucleoli. Immunohistochemically, the tumor cells were positive for CD30, CD20, and CD79a, whereas they were negative for cytokeratin, carcinoembryonic antigen, CD3, CD15, epithelial membrane antigen, and anaplastic lymphoma kinase-1. Based on the morphological features and immunohistochemical results, in addition to the clinical findings, a diagnosis of primary gastric Hodgkin's lymphoma was established.

摘要
https://cdn.ncbi.nlm.nih.gov/pmc/blobs/642b/3412183/1ab72bb70e99/jkss-83-111-g003.jpg
https://cdn.ncbi.nlm.nih.gov/pmc/blobs/642b/3412183/777bb4aada2c/jkss-83-111-g001.jpg
https://cdn.ncbi.nlm.nih.gov/pmc/blobs/642b/3412183/d7749cabb6ed/jkss-83-111-g002.jpg
https://cdn.ncbi.nlm.nih.gov/pmc/blobs/642b/3412183/1ab72bb70e99/jkss-83-111-g003.jpg
https://cdn.ncbi.nlm.nih.gov/pmc/blobs/642b/3412183/777bb4aada2c/jkss-83-111-g001.jpg
https://cdn.ncbi.nlm.nih.gov/pmc/blobs/642b/3412183/d7749cabb6ed/jkss-83-111-g002.jpg
https://cdn.ncbi.nlm.nih.gov/pmc/blobs/642b/3412183/1ab72bb70e99/jkss-83-111-g003.jpg

相似文献

1
Primary gastric Hodgkin's lymphoma.
J Korean Surg Soc. 2012 Aug;83(2):111-4. doi: 10.4174/jkss.2012.83.2.111. Epub 2012 Jul 25.
2
CD20 positivity in classical Hodgkin's lymphoma: Diagnostic challenge or targeting opportunity.经典型霍奇金淋巴瘤中的CD20阳性:诊断挑战还是靶向治疗机遇?
Indian J Pathol Microbiol. 2009 Jan-Mar;52(1):6-9. doi: 10.4103/0377-4929.44952.
3
Synchronous Double Malignant Tumors Consisting of Stomach and Hodgkin's Lymphoma with Collision between Gastric Adenocarcinoma and Hodgkin's Lymphoma in the Stomach.由胃和霍奇金淋巴瘤组成的同步双原发恶性肿瘤,胃腺癌与胃内霍奇金淋巴瘤碰撞。
Case Rep Gastroenterol. 2012 Sep;6(3):797-802. doi: 10.1159/000346465. Epub 2012 Dec 22.
4
Sequential development of Hodgkin's disease and CD30+ diffuse large B-cell lymphoma in a patient with MALT-type lymphoma: evidence of different clonal origin of single microdissected Reed-Sternberg cells.一例黏膜相关淋巴组织(MALT)型淋巴瘤患者先后发生霍奇金淋巴瘤和CD30阳性弥漫性大B细胞淋巴瘤:单个显微切割的里德-斯腾伯格细胞不同克隆起源的证据
Am J Surg Pathol. 2002 Dec;26(12):1634-42. doi: 10.1097/00000478-200212000-00012.
5
Primary gastric Hodgkin's lymphoma expressing a B-Cell profile including Oct-2 and Bob-1 proteins.表达包括Oct-2和Bob-1蛋白在内的B细胞表型的原发性胃霍奇金淋巴瘤。
Int J Hematol. 2007 Jun;85(5):421-5. doi: 10.1532/IJH97.06094.
6
A case of primary gastric CD30-positive anaplastic large-cell lymphoma.一例原发性胃CD30阳性间变性大细胞淋巴瘤。
J Korean Med Sci. 2005 Dec;20(6):1062-5. doi: 10.3346/jkms.2005.20.6.1062.
7
[Primary Hodgkin lymphoma of the stomach--a case report].
Cesk Patol. 2007 Jan;43(1):23-6.
8
Inflammatory malignant fibrous histiocytoma: distinction from Hodgkin's disease and non-Hodgkin's lymphoma by a panel of leukocyte markers.炎性恶性纤维组织细胞瘤:通过一组白细胞标志物与霍奇金病和非霍奇金淋巴瘤相鉴别。
Mod Pathol. 1997 May;10(5):438-42.
9
Cutaneous CD30 (Ki-1)-positive anaplastic large cell lymphoma preceded by Hodgkin's disease.霍奇金病之前出现的皮肤CD30(Ki-1)阳性间变性大细胞淋巴瘤。
J Dermatol. 2000 Mar;27(3):170-3. doi: 10.1111/j.1346-8138.2000.tb02145.x.
10
CD30 distribution. Immunohistochemical study on formaldehyde-fixed, paraffin-embedded Hodgkin's and non-Hodgkin's lymphomas.CD30分布。对甲醛固定、石蜡包埋的霍奇金淋巴瘤和非霍奇金淋巴瘤的免疫组织化学研究。
Arch Pathol Lab Med. 1992 Nov;116(11):1197-201.

引用本文的文献

1
Chronic Diarrhea: A rare presentation of Hodgkin's Lymphoma.慢性腹泻:霍奇金淋巴瘤的一种罕见表现。
Pak J Med Sci. 2022 Nov-Dec;38(8):2380-2383. doi: 10.12669/pjms.38.8.5452.

本文引用的文献

1
Primary gastric Hodgkin's lymphoma.原发性胃霍奇金淋巴瘤
World J Surg Oncol. 2007 Oct 21;5:119. doi: 10.1186/1477-7819-5-119.
2
Primary gastric Hodgkin's lymphoma expressing a B-Cell profile including Oct-2 and Bob-1 proteins.表达包括Oct-2和Bob-1蛋白在内的B细胞表型的原发性胃霍奇金淋巴瘤。
Int J Hematol. 2007 Jun;85(5):421-5. doi: 10.1532/IJH97.06094.
3
Primary gastric Hodgkin's lymphoma: a case report and review of the literature.原发性胃霍奇金淋巴瘤:一例病例报告及文献复习
Leuk Lymphoma. 2005 Jan;46(1):147-50. doi: 10.1080/10428190400012037.
4
Unusual sites of Hodgkin's lymphoma: CASE 1. HIV-associated Hodgkin's lymphoma of the stomach.
J Clin Oncol. 2004 Oct 15;22(20):4227-8. doi: 10.1200/JCO.2004.11.121.
5
Primary malignant lymphoid tumours of the intestinal tract. Report of 37 cases with a study of factors influencing prognosis.肠道原发性恶性淋巴瘤。37例报告及影响预后因素的研究
Br J Surg. 1961 Jul;49:80-9. doi: 10.1002/bjs.18004921319.
6
Primary gastric Hodgkin's disease. Morphologic, immunohistochemical, and immunogenetic analyses.
Arch Pathol Lab Med. 1995 Feb;119(2):163-6.
7
A case of primary Hodgkin's disease of the stomach.一例原发性胃霍奇金病。
J Gastroenterol. 1995 Feb;30(1):103-7. doi: 10.1007/BF01211383.
8
The surgical pathology of gastrointestinal Hodgkin's disease.
Am J Clin Pathol. 1991 Jun;95(6):794-801. doi: 10.1093/ajcp/95.6.794.
9
Primary Hodgkin's disease of the stomach. A case report.
Tumori. 1992 Aug 31;78(4):280-2. doi: 10.1177/030089169207800414.