Suppr超能文献

Cutaneous hybrid cyst in a sprague-dawley rat.

作者信息

Yasuno Kyohei, Sakashita Haruka, Araki Saori, Kobayashi Ryosuke, Sakurada Yosuke, Shirota Mariko, Kamiie Junichi, Shirota Kinji

出版信息

J Toxicol Pathol. 2012 Jun;25(2):175-8. doi: 10.1293/tox.25.175.

Abstract

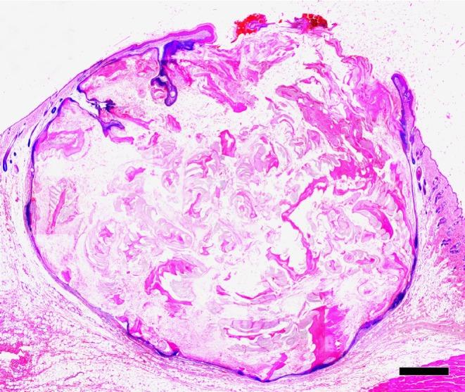
This report describes a spontaneous hybrid cyst in a Sprague-Dawley (SD) rat. A 52-week-old, male SD rat had a cutaneous cyst on the left mystacial pad. Histologically, the cyst wall showed infundibular differentiation with keratohyalin granules in the granular layer and matrical differentiation comprising basaloid epithelial cells with trichohyalin granules. The cyst cavity was filled with lamellar, flaky keratin and aggregates of shadow cells. Immunohistochemically, the infundibular-type epithelium was positive for cytokeratin (CK) AE1/AE3, CK KL1 and CK14 but negative for CK15, whereas the matrical-type epithelium was negative for all four CK isoforms examined. These immunohistochemical properties of the infundibular- and matrical-type epithelia were similar to those of the infundibulum and inferior segment of normal hair follicles, respectively. Based on these findings, the cyst was diagnosed as a hybrid cyst, comprising more than one type of cyst arising from various parts of the pilosebaceous unit.

摘要
https://cdn.ncbi.nlm.nih.gov/pmc/blobs/cfa1/3392906/bc95dd6af668/tox-25-175-g001.jpg

相似文献

1
Cutaneous hybrid cyst in a sprague-dawley rat.
J Toxicol Pathol. 2012 Jun;25(2):175-8. doi: 10.1293/tox.25.175.
2
Hybrid follicular cyst (pilomatrical and infundibular) arising within a sebaceous nevus.
Pediatr Dermatol. 2012 Mar-Apr;29(2):213-6. doi: 10.1111/j.1525-1470.2011.01404.x. Epub 2011 Mar 25.
4
Follicular hybrid cysts. An expanded spectrum.
Am J Dermatopathol. 1991 Jun;13(3):228-33. doi: 10.1097/00000372-199106000-00003.
8
Keratohyalin, trichohyalin and keratohyalin-trichohyalin hybrid granules: an overview.
J Dermatol. 1992 Nov;19(11):749-55. doi: 10.1111/j.1346-8138.1992.tb03774.x.
9
Cutaneous Adnexal Cysts Revisited: What We Know and What We Think We Know.
Dermatopathology (Basel). 2018 Jun 7;5(2):79-85. doi: 10.1159/000488585. eCollection 2018 Apr-Jun.
10
Immunohistochemical study of cytokeratins in hidradenitis suppurativa (acne inversa).
J Int Med Res. 2002 Mar-Apr;30(2):131-6. doi: 10.1177/147323000203000205.

本文引用的文献

1
Hybrid follicular cyst (pilomatrical and infundibular) arising within a sebaceous nevus.
Pediatr Dermatol. 2012 Mar-Apr;29(2):213-6. doi: 10.1111/j.1525-1470.2011.01404.x. Epub 2011 Mar 25.
3
Hybrid cyst: case reports and review of 15 cases in Japan.
J Eur Acad Dermatol Venereol. 2003 Jan;17(1):83-6. doi: 10.1046/j.1468-3083.2003.00633.x.
5
Hybrid cyst: a combined epidermoid and trichilemmal cyst.
J Am Acad Dermatol. 1983 Dec;9(6):872-5. doi: 10.1016/s0190-9622(83)70201-x.
9
Follicular hybrid cysts. An expanded spectrum.
Am J Dermatopathol. 1991 Jun;13(3):228-33. doi: 10.1097/00000372-199106000-00003.

文献AI研究员

20分钟写一篇综述,助力文献阅读效率提升50倍。

立即体验

用中文搜PubMed

大模型驱动的PubMed中文搜索引擎

马上搜索

文档翻译

学术文献翻译模型,支持多种主流文档格式。

立即体验