Suppr超能文献

单侧视觉忽视症状的神经解剖学剖析:基于损伤-症状映射的ALE元分析

Neuroanatomical Dissections of Unilateral Visual Neglect Symptoms: ALE Meta-Analysis of Lesion-Symptom Mapping.

作者信息

Chechlacz Magdalena, Rotshtein Pia, Humphreys Glyn W

机构信息

Department of Experimental Psychology, University of Oxford Oxford, UK.

出版信息

Front Hum Neurosci. 2012 Aug 10;6:230. doi: 10.3389/fnhum.2012.00230. eCollection 2012.

Abstract

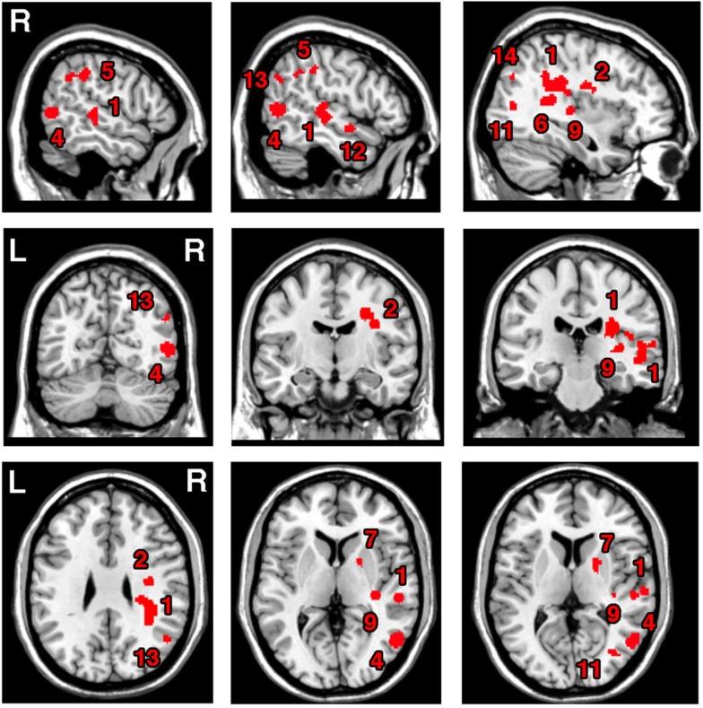
Unilateral visual neglect is commonly defined as impaired ability to attend to stimuli presented on the side of visual space contralateral to the brain lesion. However, behavioral analyses indicate that different neglect symptoms can dissociate. The neuroanatomy of the syndrome has been hotly debated. Some groups have argued that the syndrome is linked to posterior parietal cortex lesions, while others report damage within regions including the superior temporal gyrus, insula, and basal ganglia. Several recent neuroimaging studies provide evidence that heterogeneity in the behavioral symptoms of neglect can be matched by variations in the brain lesions, and that some of the discrepancies across earlier findings might have resulted from the use of different neuropsychological tests and/or varied measures within the same task for diagnosing neglect. In this paper, we review the evidence for dissociations between both the symptoms and the neural substrates of unilateral visual neglect, drawing on ALE (anatomic likelihood estimation) meta-analyses of lesion-symptom mapping studies. Specifically, we examine dissociations between neglect symptoms associated with impaired control of attention across space (in an egocentric frame of reference) and within objects (in an allocentric frame of reference). Results of ALE meta-analyses indicated that, while egocentric symptoms are associated with damage within perisylvian network (pre- and postcentral, supramarginal, and superior temporal gyri) and damage within sub-cortical structures, more posterior lesions including the angular, middle temporal, and middle occipital gyri are associated with allocentric symptoms. Furthermore, there was high concurrence in deficits associated with white matter lesions within long association (superior longitudinal, inferior fronto-occipital, and inferior longitudinal fasciculi) and projection (corona radiata and thalamic radiation) pathways, supporting a disconnection account of the syndrome. Using this evidence we argue that different forms of neglect link to both distinct and common patterns of gray and white matter lesions. The findings are discussed in terms of functional accounts of neglect and theoretical models based on computational studies of both normal and impaired attention functions.

摘要

单侧视觉忽视通常被定义为对出现在与脑损伤对侧的视觉空间一侧的刺激进行注意的能力受损。然而,行为分析表明,不同的忽视症状可能会分离。该综合征的神经解剖学一直存在激烈争论。一些研究小组认为该综合征与顶叶后皮质病变有关,而另一些研究则报告病变发生在包括颞上回、脑岛和基底神经节等区域内。最近的几项神经影像学研究提供了证据,表明忽视行为症状的异质性可以与脑损伤的变化相匹配,并且早期研究结果中的一些差异可能是由于使用了不同的神经心理学测试和/或在同一任务中用于诊断忽视的不同测量方法所致。在本文中,我们借鉴病变 - 症状映射研究的ALE(解剖似然估计)元分析,回顾了单侧视觉忽视的症状与神经基质之间分离的证据。具体而言,我们研究了与跨空间(以自我为中心的参照系)和物体内(以异我为中心的参照系)注意力控制受损相关的忽视症状之间的分离。ALE元分析结果表明,虽然以自我为中心的症状与颞周网络(中央前回和中央后回以及缘上回和颞上回)内的损伤以及皮质下结构内的损伤有关,但包括角回、颞中回和枕中回在内的更靠后的病变与以异我为中心的症状有关。此外,与长联合(上纵束、额枕下束和下纵束)和投射(放射冠和丘脑辐射)通路内的白质病变相关的缺陷高度一致,支持了该综合征的失连接解释。利用这些证据,我们认为不同形式的忽视与灰质和白质病变的不同和共同模式相关。本文从忽视的功能解释以及基于正常和受损注意力功能计算研究的理论模型方面对这些发现进行了讨论。

https://cdn.ncbi.nlm.nih.gov/pmc/blobs/6264/3415822/a8782b3646da/fnhum-06-00230-g001.jpg

文献检索

告别复杂PubMed语法,用中文像聊天一样搜索,搜遍4000万医学文献。AI智能推荐,让科研检索更轻松。

立即免费搜索

文件翻译

保留排版,准确专业,支持PDF/Word/PPT等文件格式,支持 12+语言互译。

免费翻译文档

深度研究

AI帮你快速写综述,25分钟生成高质量综述,智能提取关键信息,辅助科研写作。

立即免费体验