Rajeswari Manickam Rajakili Chockalingam, Saraswathi Thillai Rajasekaran
Department of Oral and Maxillofacial Pathology, Priyadarshini Dental College and Hospital, Chennai, India.
J Oral Maxillofac Pathol. 2012 May;16(2):183-8. doi: 10.4103/0973-029X.98496.
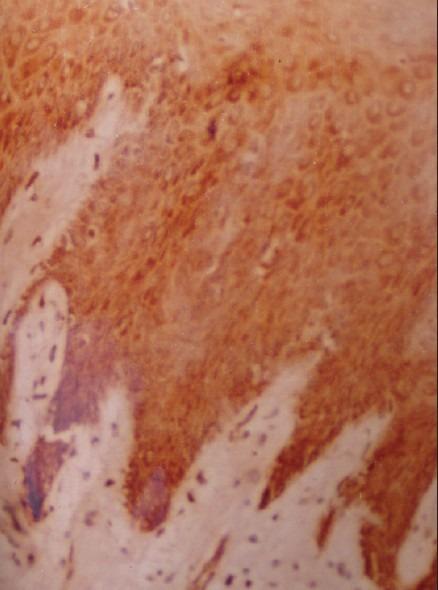
The aim of the study was to assess the expression of epithelial growth factor receptor (EGFR) in normal oral mucosa and varying grades of oral epithelial dysplasia (OED) and to correlate these findings, with clinicopathologic features and findings on routine hematoxylin and eosin-stained (H and E) sections.
Twenty-nine formalin-fixed, paraffin-embedded blocks of various grades of OED and 10 normal mucosa were stained with routine H and E and immunostained with EGFR by avidin-biotin method.
The results showed a significant increase in the staining reactions in varying grades of dysplasia as compared with normal mucosa.
EGFR can be considered as an early marker of a cell proliferation and maturation as well as early marker of epithelial dysplasia and onset of cancer in oral dysplasia. However, further studies with a larger sample size and continuous followup is suggested to determine its role and significance precisely.
本研究旨在评估上皮生长因子受体(EGFR)在正常口腔黏膜及不同等级口腔上皮发育异常(OED)中的表达情况,并将这些结果与临床病理特征以及常规苏木精和伊红染色(H&E)切片的结果相关联。
采用常规H&E染色以及抗生物素蛋白-生物素法对29个不同等级OED的福尔马林固定、石蜡包埋组织块和10个正常黏膜组织块进行染色,并对EGFR进行免疫染色。
结果显示,与正常黏膜相比,不同等级发育异常的染色反应显著增加。
EGFR可被视为细胞增殖和成熟的早期标志物,以及口腔发育异常中上皮发育异常和癌症发生的早期标志物。然而,建议进行更大样本量和持续随访的进一步研究,以准确确定其作用和意义。