• 文献检索
  • 文档翻译
  • 深度研究
  • 学术资讯
  • Suppr Zotero 插件Zotero 插件
  • 邀请有礼
  • 套餐&价格
  • 历史记录
应用&插件
Suppr Zotero 插件Zotero 插件浏览器插件Mac 客户端Windows 客户端微信小程序
定价
高级版会员购买积分包购买API积分包
服务
文献检索文档翻译深度研究API 文档MCP 服务
关于我们
关于 Suppr公司介绍联系我们用户协议隐私条款
关注我们

Suppr 超能文献

核心技术专利:CN118964589B侵权必究
粤ICP备2023148730 号-1Suppr @ 2026

文献检索

告别复杂PubMed语法,用中文像聊天一样搜索,搜遍4000万医学文献。AI智能推荐,让科研检索更轻松。

立即免费搜索

文件翻译

保留排版,准确专业,支持PDF/Word/PPT等文件格式,支持 12+语言互译。

免费翻译文档

深度研究

AI帮你快速写综述,25分钟生成高质量综述,智能提取关键信息,辅助科研写作。

立即免费体验

早孕期表现为异位妊娠的牙源性角化囊肿:一个有益的教训。

A molar masquerading as an ectopic pregnancy in the early first trimester: a salutary lesson.

机构信息

Department of Obstetrics and Gynaecology, North Middlesex University Hospital, London, UK.

出版信息

Int J Womens Health. 2012;4:423-5. doi: 10.2147/IJWH.S32893. Epub 2012 Aug 22.

DOI:10.2147/IJWH.S32893
PMID:22956887
原文链接:https://pmc.ncbi.nlm.nih.gov/articles/PMC3430087/
Abstract

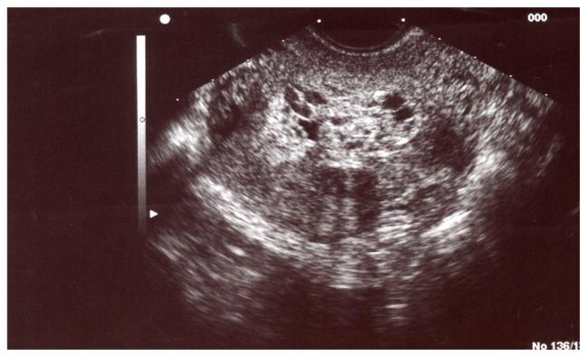
The authors report a case in which a molar pregnancy was mistaken for an ectopic pregnancy in the early first trimester. This confusion delayed diagnosis and caused distress; follow-up led to the final diagnosis of complete hydatidiform mole. Correct preoperative diagnosis of molar pregnancy by ultrasound in early pregnancy may be tricky. It is important to obtain histological evidence to make the final diagnosis of gestational trophoblastic disease. While relatively rare, consideration of molar pregnancy in the differential diagnosis of early pregnancy loss may avoid unnecessary distress.

摘要

作者报告了一例早期妊娠误诊为异位妊娠的病例。这种混淆导致了诊断的延迟,并造成了困扰;随访导致了完全性葡萄胎的最终诊断。在孕早期通过超声正确诊断葡萄胎可能具有挑战性。获得组织学证据以做出妊娠滋养细胞疾病的最终诊断非常重要。虽然葡萄胎相对少见,但在早期妊娠丢失的鉴别诊断中考虑葡萄胎可能避免不必要的困扰。

https://cdn.ncbi.nlm.nih.gov/pmc/blobs/83fa/3430087/c8690a856b3e/ijwh-4-423f2.jpg
https://cdn.ncbi.nlm.nih.gov/pmc/blobs/83fa/3430087/91300c07afd7/ijwh-4-423f1.jpg
https://cdn.ncbi.nlm.nih.gov/pmc/blobs/83fa/3430087/c8690a856b3e/ijwh-4-423f2.jpg
https://cdn.ncbi.nlm.nih.gov/pmc/blobs/83fa/3430087/91300c07afd7/ijwh-4-423f1.jpg
https://cdn.ncbi.nlm.nih.gov/pmc/blobs/83fa/3430087/c8690a856b3e/ijwh-4-423f2.jpg

相似文献

1
A molar masquerading as an ectopic pregnancy in the early first trimester: a salutary lesson.早孕期表现为异位妊娠的牙源性角化囊肿:一个有益的教训。
Int J Womens Health. 2012;4:423-5. doi: 10.2147/IJWH.S32893. Epub 2012 Aug 22.
2
MR"I": An "eye" for the preoperative diagnosis of ectopic molar pregnancy, a case report.磁共振成像(MRI)“慧眼”助力术前诊断异位葡萄胎妊娠:一例报告
J Family Med Prim Care. 2023 Mar;12(3):581-585. doi: 10.4103/jfmpc.jfmpc_1770_22. Epub 2023 Mar 17.
3
Over-diagnosis of hydatidiform mole in early tubal ectopic pregnancy.早期输卵管异位妊娠中葡萄胎的过度诊断。
Histopathology. 2001 May;38(5):409-17. doi: 10.1046/j.1365-2559.2001.01151.x.
4
The diagnostic implications of routine ultrasound examination in histologically confirmed early molar pregnancies.常规超声检查对组织学确诊的早期葡萄胎妊娠的诊断意义。
Ultrasound Obstet Gynecol. 2001 Dec;18(6):662-5. doi: 10.1046/j.0960-7692.2001.00589.x.
5
Recognising gestational trophoblastic disease.识别妊娠滋养细胞疾病。
Best Pract Res Clin Obstet Gynaecol. 2009 Aug;23(4):565-73. doi: 10.1016/j.bpobgyn.2009.03.001. Epub 2009 Apr 17.
6
[Persistent gestational trophoblastic disease following ectopic molar pregnancy].
Arkh Patol. 2021;83(1):44-48. doi: 10.17116/patol20218301144.
7
Persistent gestational trophoblastic disease is rarely, if ever, derived from non-molar first-trimester miscarriage.
Med Hypotheses. 2005;64(4):689-93. doi: 10.1016/j.mehy.2004.11.032.
8
Gestational trophoblastic disease within an elective abortion population.选择性堕胎人群中的妊娠滋养细胞疾病
Am J Obstet Gynecol. 1979 Oct 15;135(4):452-4. doi: 10.1016/0002-9378(79)90429-0.
9
Twin pregnancy with a partial hydatidiform mole and a coexistent live fetus. Diagnostic and therapeutic dilemmas. A case report and the review of literature.双胎妊娠,部分性葡萄胎伴共存活胎儿。诊断和治疗的困境。病例报告及文献复习。
Ginekol Pol. 2020;91(10):589-594. doi: 10.5603/GP.a2020.0109.
10
Term delivery of a complete hydatidiform mole with a coexisting living fetus followed by successful treatment of maternal metastatic gestational trophoblastic disease.足月分娩完全性葡萄胎并伴有存活胎儿,随后成功治疗母体转移性妊娠滋养细胞疾病。
Taiwan J Obstet Gynecol. 2014 Sep;53(3):397-400. doi: 10.1016/j.tjog.2013.02.005.

本文引用的文献

1
Diagnostic reproducibility of hydatidiform moles: ancillary techniques (p57 immunohistochemistry and molecular genotyping) improve morphologic diagnosis.葡萄胎的诊断可重复性:辅助技术(p57 免疫组化和分子基因分型)可提高形态学诊断。
Am J Surg Pathol. 2012 Mar;36(3):443-53. doi: 10.1097/PAS.0b013e31823b13fe.
2
Recognising gestational trophoblastic disease.识别妊娠滋养细胞疾病。
Best Pract Res Clin Obstet Gynaecol. 2009 Aug;23(4):565-73. doi: 10.1016/j.bpobgyn.2009.03.001. Epub 2009 Apr 17.
3
The accuracy of first trimester ultrasound in the diagnosis of hydatidiform mole.
孕早期超声诊断葡萄胎的准确性。
Ultrasound Obstet Gynecol. 2007 Jan;29(1):70-75. doi: 10.1002/uog.3875.
4
Gestational trophoblastic disease: pictorial review.妊娠滋养细胞疾病:影像综述
Ultrasound Q. 2005 Dec;21(4):245-53. doi: 10.1097/01.ruq.0000191658.95192.89.
5
Routine pre-evacuation ultrasound diagnosis of hydatidiform mole: experience of more than 1000 cases from a regional referral center.葡萄胎清宫前的常规超声诊断:来自地区转诊中心1000多例病例的经验
Ultrasound Obstet Gynecol. 2006 Jan;27(1):56-60. doi: 10.1002/uog.2592.
6
The diagnostic implications of routine ultrasound examination in histologically confirmed early molar pregnancies.常规超声检查对组织学确诊的早期葡萄胎妊娠的诊断意义。
Ultrasound Obstet Gynecol. 2001 Dec;18(6):662-5. doi: 10.1046/j.0960-7692.2001.00589.x.
7
The diagnosis of molar pregnancy by sonography and gross morphology.通过超声检查和大体形态学诊断葡萄胎妊娠。
Acta Obstet Gynecol Scand. 1999 Jan;78(1):6-9.