Suppr超能文献

穿透性动脉粥样硬化溃疡继发主动脉食管瘘。

Aorto-esophageal fistula secondary to penetrating atherosclerotic ulcer.

作者信息

Gupta Ranjana, Mittal Puneet, Mittal Gaurav

机构信息

Department of Radiodiagnosis, Punjab Institute of Medical Sciences, Jalandhar, Punjab, India.

出版信息

J Emerg Trauma Shock. 2012 Jul;5(3):262-4. doi: 10.4103/0974-2700.99704.

Abstract

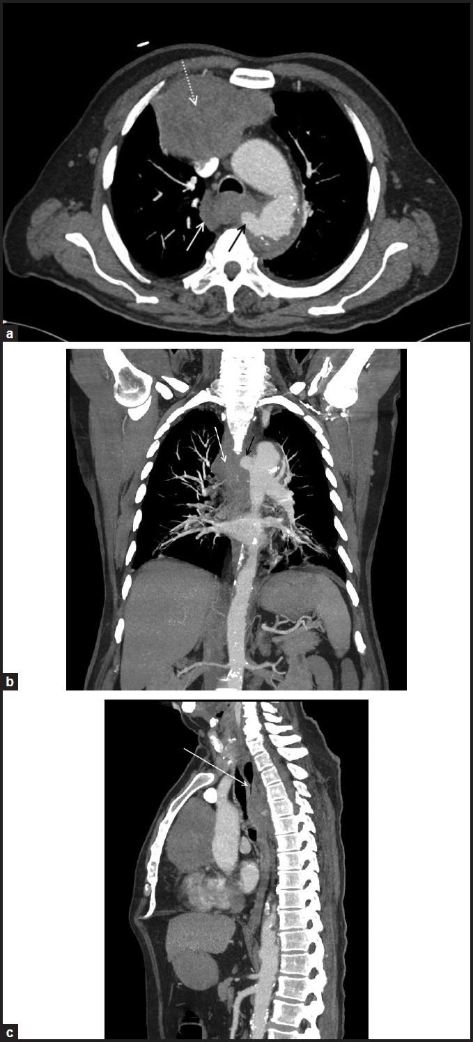
Aorto-esophageal fistula (AEF) is a rare and life threatening condition, which can be rapidly fatal. More than half of such cases are secondary to aortic aneurysm rupture. There are only two previous reports describing AEF caused by penetrating atherosclerotic ulcer. We present multidetector computed tomography findings in a case of AEF secondary to penetrating atherosclerotic ulcer.

摘要

主动脉食管瘘(AEF)是一种罕见且危及生命的疾病,可迅速致命。超过半数的此类病例继发于主动脉瘤破裂。此前仅有两份报告描述了由穿透性动脉粥样硬化溃疡引起的AEF。我们报告了一例继发于穿透性动脉粥样硬化溃疡的AEF的多排螺旋计算机断层扫描结果。

https://cdn.ncbi.nlm.nih.gov/pmc/blobs/4e7d/3440896/c05adeb8dbf2/JETS-5-262-g001.jpg

文献AI研究员

20分钟写一篇综述,助力文献阅读效率提升50倍。

立即体验

用中文搜PubMed

大模型驱动的PubMed中文搜索引擎

马上搜索

文档翻译

学术文献翻译模型,支持多种主流文档格式。

立即体验