State Key Laboratory of Integrated Management of Pest Insects and Rodents, Institute of Zoology, Chinese Academy of Sciences, Beijing 100101, China.
Parasit Vectors. 2012 Sep 24;5:209. doi: 10.1186/1756-3305-5-209.
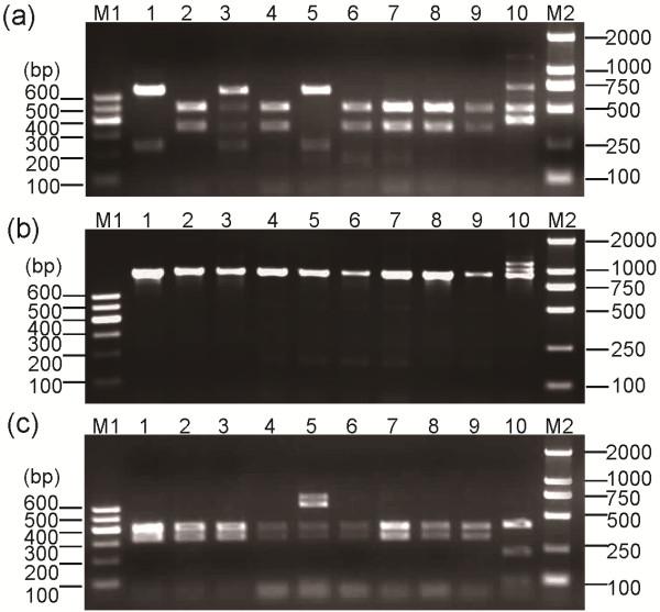
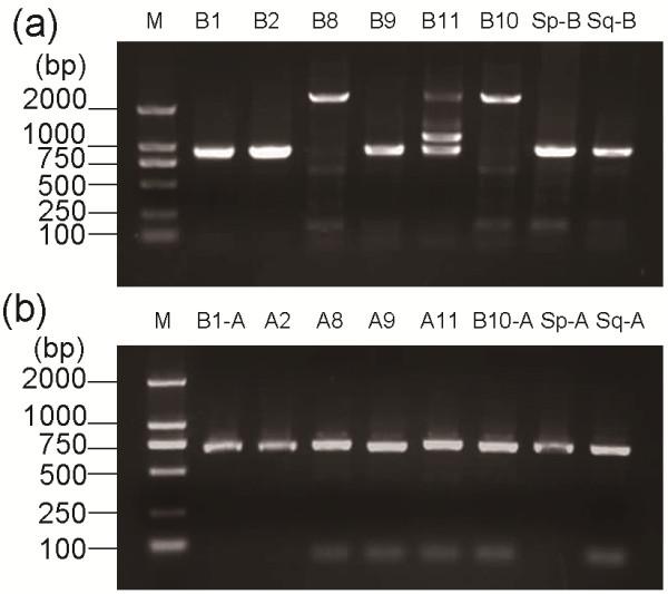
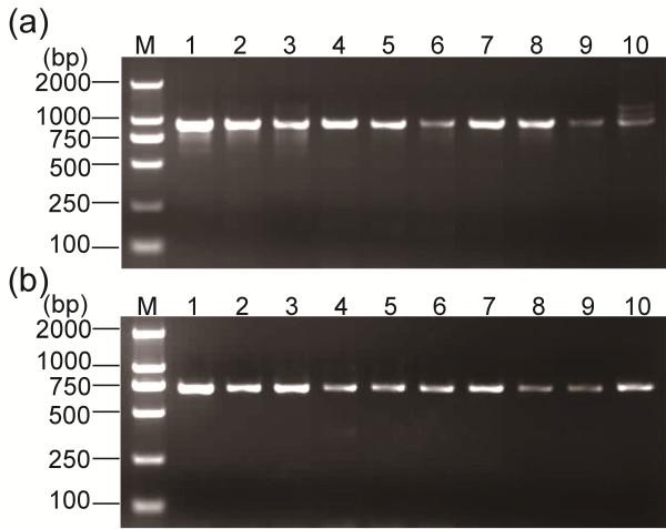
Carboxylesterase overproduction is a frequently observed resistance mechanism of insects to organophosphate insecticides. As a major transmitter of human diseases, mosquitoes in the Culex pipiens complex have evolved 13 carboxylesterase alleles (Ester) that confer organophosphate resistance. Six alleles, Ester(B1), Ester², Ester⁸, Ester⁹, Ester(B10), and Ester¹¹, have been observed in field populations in China, sometimes co-existing in one population. To differentiate the carboxylesterase alleles found in these field populations, PCR-RFLP was designed for use in resistance monitoring.
Based on the DNA sequences of resistant and nonresistant carboxylesterase alleles, Ester B alleles were first amplified with PCR-specific primers and then digested with the restriction enzyme DraI. In this step, Ester² and Ester¹¹ were differentiated from the other Ester alleles. When the other Ester B alleles were digested with the restriction enzyme XbaI, Ester(B1) and the susceptible C. p. pallens Ester were screened out. Ester⁸ and Ester⁹ were differentiated from Ester(B10) and the susceptible C. p. quinquefasciatus esterase allele, respectively, by amplifying and digesting the Ester A alleles with the restriction enzyme ApaLI. The effectiveness of the custom-designed PCR-RFLP was verified in two field mosquito populations.
A PCR-RFLP based approach was developed to differentiate carboxylesterase alleles in Culex pipiens complex mosquitoes. These processes may be useful in monitoring the evolutionary dynamics of known carboxylesterase alleles as well as in the identification of new alleles in field populations.
羧酸酯酶过度表达是昆虫对有机磷杀虫剂产生抗性的常见机制。作为人类疾病的主要传播媒介,库蚊复合体中的蚊子已经进化出 13 种羧酸酯酶等位基因(Ester),从而对有机磷杀虫剂产生抗性。在中国的野外种群中观察到了 6 种等位基因,即 Ester(B1)、Ester²、Ester⁸、Ester⁹、Ester(B10)和 Ester¹¹,有时在一个种群中同时存在。为了区分这些野外种群中发现的羧酸酯酶等位基因,设计了 PCR-RFLP 用于抗性监测。
根据抗性和非抗性羧酸酯酶等位基因的 DNA 序列,首先使用 PCR 特异性引物扩增 Ester B 等位基因,然后用限制性内切酶 DraI 进行消化。在这一步骤中,Ester²和 Ester¹¹与其他 Ester 等位基因区分开来。当用限制性内切酶 XbaI 消化其他 Ester B 等位基因时,筛选出 Ester(B1)和易感的 C. p. pallens Ester。通过用限制性内切酶 ApaLI 扩增和消化 Ester A 等位基因,将 Ester⁸和 Ester⁹与 Ester(B10)和易感的 C. p. quinquefasciatus 酯酶等位基因区分开来。定制的 PCR-RFLP 的有效性在两个野外蚊子种群中得到了验证。
开发了一种基于 PCR-RFLP 的方法来区分库蚊复合体中的羧酸酯酶等位基因。这些过程可能有助于监测已知羧酸酯酶等位基因的进化动态,以及在野外种群中鉴定新的等位基因。