Suppr超能文献

抗氧化维生素C、E和辅酶Q10与地塞米松:在肺挫伤模型中它们作用的比较

Antioxidant vitamins C, E and coenzyme Q10 vs dexamethasone: comparisons of their effects in pulmonary contusion model.

作者信息

Gokce Mertol, Saydam Ozkan, Hanci Volkan, Can Murat, Bahadir Burak

机构信息

Department of Thoracic Surgery, Karaelmas University Medical Faculty, Zonguldak, Turkey.

出版信息

J Cardiothorac Surg. 2012 Sep 26;7:92. doi: 10.1186/1749-8090-7-92.

Abstract

BACKGROUND

The goal of our study is to evaluate the effects of antioxidant vitamins (vitamin C and E), Coenzyme Q10 (CoQ10) and dexamethasone (Dxm) in experimental rat models with pulmonary contusion (PC).

METHODS

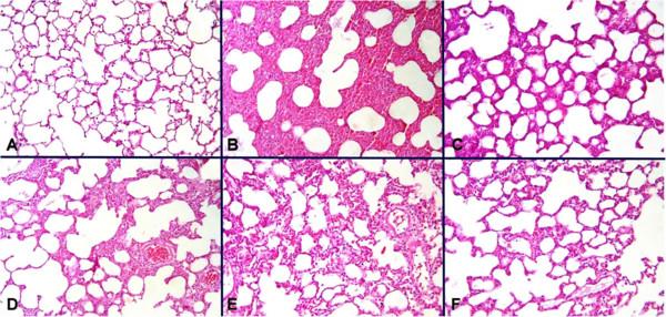
Rats were randomly divided into six groups. Except for the control, all subgroups had a moderate pulmonary contusion. Animals in the group I and group II received intraperitoneal saline, group III received 10mg.kg-1 CoQ10 group IV received 100mg.kg-1 vitamin C, group V received 150 mg.kg-1 vitamin E, and group VI received 10mg.kg-1 Dxm. Blood gas analysis, serum nitric oxide (NO) and malondialdehyde (MDA) levels as well as superoxide dismutase (SOD) activity assays, bronchoalveolar lavage (BAL) fluid and histopathological examination were performed.

RESULTS

Administration of CoQ10 resulted in a significant increase in PaO2 values compared with the group I (p = 0.004). Levels of plasma MDA in group II were significantly higher than those in the group I (p = 0.01). Early administration of vitamin C, CoQ10, and Dxm significantly decreased the levels of MDA (p = 0.01). Lung contusion due to blunt trauma significantly decreased SOD activities in rat lung tissue compared with group I (p = 0.01). SOD levels were significantly elevated in animals treated with CoQ10, Vitamin E, or Dxm compared with group II (p = 0.01).

CONCLUSIONS

In our study, CoQ10, vitamin C, vitamin E and Dxm had a protective effect on the biochemical and histopathological outcome of PC after experimental blunt thorax trauma.

摘要

背景

我们研究的目的是评估抗氧化维生素(维生素C和E)、辅酶Q10(CoQ10)和地塞米松(Dxm)在实验性大鼠肺挫伤(PC)模型中的作用。

方法

将大鼠随机分为六组。除对照组外,所有亚组均有中度肺挫伤。第一组和第二组动物腹腔注射生理盐水,第三组接受10mg.kg-1 CoQ10,第四组接受100mg.kg-1维生素C,第五组接受150mg.kg-1维生素E,第六组接受10mg.kg-1 Dxm。进行血气分析、血清一氧化氮(NO)和丙二醛(MDA)水平以及超氧化物歧化酶(SOD)活性测定、支气管肺泡灌洗(BAL)液检查和组织病理学检查。

结果

与第一组相比,给予CoQ10后PaO2值显著升高(p = 0.004)。第二组血浆MDA水平显著高于第一组(p = 0.01)。早期给予维生素C、CoQ10和Dxm可显著降低MDA水平(p = 0.01)。与第一组相比,钝性创伤导致的肺挫伤显著降低了大鼠肺组织中的SOD活性(p = 0.01)。与第二组相比,用CoQ10、维生素E或Dxm治疗的动物SOD水平显著升高(p = 0.01)。

结论

在我们的研究中,CoQ10、维生素C、维生素E和Dxm对实验性钝性胸部创伤后PC的生化和组织病理学结果具有保护作用。

https://cdn.ncbi.nlm.nih.gov/pmc/blobs/ddfc/3487991/bed2e1bed2b4/1749-8090-7-92-1.jpg

文献AI研究员

20分钟写一篇综述,助力文献阅读效率提升50倍。

立即体验

用中文搜PubMed

大模型驱动的PubMed中文搜索引擎

马上搜索

文档翻译

学术文献翻译模型,支持多种主流文档格式。

立即体验