Vanderbilt Medical Center, Nashville, Tennessee.
Sports Health. 2012 Mar;4(2):121-7. doi: 10.1177/1941738111426115.
Chronic lower leg pain in athletes can be a frustrating problem for patients and a difficult diagnosis for clinicians. Myriad approaches have been suggested to evaluate these conditions. With the continued evolution of diagnostic studies, evidence-based guidance for a standard approach is unfortunately sparse.
PubMed was searched from January 1980 to May 2011 to identify publications regarding chronic lower leg pain in athletes (excluding conditions related to the foot), including differential diagnosis, clinical presentation, physical examination, history, diagnostic workup, and treatment.
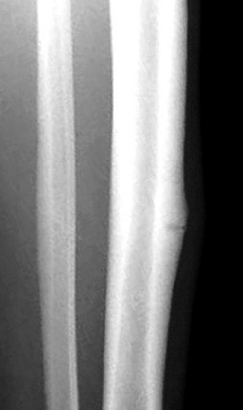
Leg pain in athletes can be caused by many conditions, with the most frequent being medial tibial stress syndrome; chronic exertional compartment syndrome, stress fracture, nerve entrapment, and popliteal artery entrapment syndrome are also considerations. Conservative management is the mainstay of care for the majority of causes of chronic lower leg pain; however, surgical intervention may be necessary.
Chronic lower extremity pain in athletes includes a wide differential and can pose diagnostic dilemmas for clinicians.
运动员慢性小腿疼痛是患者的一大困扰,也是临床医生面临的难题。有很多方法可用于评估这些病症,但是随着诊断研究的不断发展,基于证据的标准评估方法却非常少见。
从 1980 年 1 月至 2011 年 5 月,通过 PubMed 检索了有关运动员慢性小腿疼痛(不包括足部相关疾病)的文献,包括鉴别诊断、临床表现、体格检查、病史、诊断方法和治疗。
运动员小腿疼痛的病因很多,最常见的是胫骨内侧应力综合征;慢性运动性肌肉骨骼损伤、应力性骨折、神经卡压和腘动脉卡压综合征也需要考虑。大多数慢性小腿疼痛的主要治疗方法是保守治疗;但是,可能需要手术干预。
运动员慢性下肢疼痛的病因广泛,可能给临床医生的诊断带来困难。