• 文献检索
  • 文档翻译
  • 深度研究
  • 学术资讯
  • Suppr Zotero 插件Zotero 插件
  • 邀请有礼
  • 套餐&价格
  • 历史记录
应用&插件
Suppr Zotero 插件Zotero 插件浏览器插件Mac 客户端Windows 客户端微信小程序
定价
高级版会员购买积分包购买API积分包
服务
文献检索文档翻译深度研究API 文档MCP 服务
关于我们
关于 Suppr公司介绍联系我们用户协议隐私条款
关注我们

Suppr 超能文献

核心技术专利:CN118964589B侵权必究
粤ICP备2023148730 号-1Suppr @ 2026

文献检索

告别复杂PubMed语法,用中文像聊天一样搜索,搜遍4000万医学文献。AI智能推荐,让科研检索更轻松。

立即免费搜索

文件翻译

保留排版,准确专业,支持PDF/Word/PPT等文件格式,支持 12+语言互译。

免费翻译文档

深度研究

AI帮你快速写综述,25分钟生成高质量综述,智能提取关键信息,辅助科研写作。

立即免费体验

细胞类型和表位标记对 G 蛋白偶联受体异源表达的影响:血管紧张素 II 型受体的系统研究。

Impact of cell type and epitope tagging on heterologous expression of G protein-coupled receptor: a systematic study on angiotensin type II receptor.

机构信息

School of Biomedical Sciences, The Chinese University of Hong Kong, Shatin, New Territories, Hong Kong, China.

出版信息

PLoS One. 2012;7(10):e47016. doi: 10.1371/journal.pone.0047016. Epub 2012 Oct 8.

DOI:10.1371/journal.pone.0047016
PMID:23056563
原文链接:https://pmc.ncbi.nlm.nih.gov/articles/PMC3466278/
Abstract

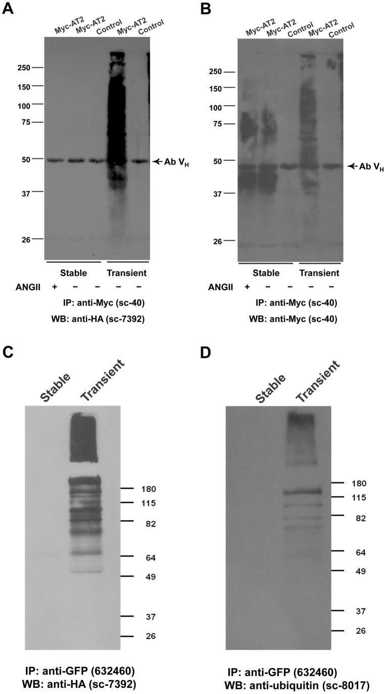
Despite heterologous expression of epitope-tagged GPCR is widely adopted for functional characterization, there is lacking of systematic analysis of the impact of expression host and epitope tag on GPCR expression. Angiotensin type II (AT2) receptor displays agonist-dependent and -independent activities, coupling to a spectrum of signaling molecules. However, consensus has not been reached on the subcellular distributions, signaling cascades and receptor-mediated actions. To examine the contributions of host cell and epitope tag on receptor expression and activity, epitope-tagged AT2 receptor variants were transiently or stably expressed in HEK293, CHO-K1 and PC12 cells. The epitope-tagged AT2 receptor variants were detected both on the cell membrane and in the perinuclear region. In transiently transfected HEK293 cells, Myc-AT2 existed predominantly as monomer. Additionally, a ladder of ubiquitinated AT2 receptor proteins was detected. By contrast, stably expressed epitope-tagged AT2 receptor variants existed as both monomer and high molecular weight complexes, and the latter was enriched in cell surface. Glycosylation promoted cell surface expression of Myc-AT2 but had no effect on AT2-GFP in HEK293 cells. In cells that stably expressed Myc-AT2, serum starvation induced apoptosis in CHO-K1 cells but not in HEK293 or PC12 cells. Instead, HEK293 and PC12 cells stably expressing Myc-AT2 exhibited partial cell cycle arrest with cells accumulating at G1 and S phases, respectively. Taken together, these results suggest that expression levels, subcellular distributions and ligand-independent constitutive activities of AT2 receptor were cell type-dependent while posttranslational processing of nascent AT2 receptor protein was modulated by epitope tag and mode of expression.

摘要

尽管异源表达表位标记的 GPCR 被广泛用于功能表征,但对于表达宿主和表位标记对 GPCR 表达的影响缺乏系统分析。血管紧张素 II(AT2)受体表现出激动剂依赖性和非依赖性活性,与一系列信号分子偶联。然而,对于 AT2 受体的亚细胞分布、信号级联和受体介导的作用,尚未达成共识。为了研究宿主细胞和表位标记对受体表达和活性的贡献,瞬时或稳定表达了表位标记的 AT2 受体变体在 HEK293、CHO-K1 和 PC12 细胞中。在瞬时转染的 HEK293 细胞中,Myc-AT2 主要以单体形式存在。此外,还检测到了泛素化的 AT2 受体蛋白的阶梯。相比之下,稳定表达的表位标记的 AT2 受体变体既存在单体又存在高分子量复合物,后者在细胞表面富集。糖基化促进了 Myc-AT2 的细胞表面表达,但对 HEK293 细胞中的 AT2-GFP 没有影响。在稳定表达 Myc-AT2 的细胞中,血清饥饿诱导 CHO-K1 细胞凋亡,但不诱导 HEK293 或 PC12 细胞凋亡。相反,稳定表达 Myc-AT2 的 HEK293 和 PC12 细胞表现出部分细胞周期阻滞,分别有细胞在 G1 和 S 期积累。总之,这些结果表明,AT2 受体的表达水平、亚细胞分布和配体非依赖性组成性活性依赖于细胞类型,而新生 AT2 受体蛋白的翻译后加工受表位标记和表达模式的调节。

https://cdn.ncbi.nlm.nih.gov/pmc/blobs/8057/3466278/4fd9adf0e82f/pone.0047016.g005.jpg
https://cdn.ncbi.nlm.nih.gov/pmc/blobs/8057/3466278/e76e96c57fd3/pone.0047016.g001.jpg
https://cdn.ncbi.nlm.nih.gov/pmc/blobs/8057/3466278/ded1213fc3e4/pone.0047016.g002.jpg
https://cdn.ncbi.nlm.nih.gov/pmc/blobs/8057/3466278/9a3a2a8f309e/pone.0047016.g003.jpg
https://cdn.ncbi.nlm.nih.gov/pmc/blobs/8057/3466278/a6f7845bcdef/pone.0047016.g004.jpg
https://cdn.ncbi.nlm.nih.gov/pmc/blobs/8057/3466278/4fd9adf0e82f/pone.0047016.g005.jpg
https://cdn.ncbi.nlm.nih.gov/pmc/blobs/8057/3466278/e76e96c57fd3/pone.0047016.g001.jpg
https://cdn.ncbi.nlm.nih.gov/pmc/blobs/8057/3466278/ded1213fc3e4/pone.0047016.g002.jpg
https://cdn.ncbi.nlm.nih.gov/pmc/blobs/8057/3466278/9a3a2a8f309e/pone.0047016.g003.jpg
https://cdn.ncbi.nlm.nih.gov/pmc/blobs/8057/3466278/a6f7845bcdef/pone.0047016.g004.jpg
https://cdn.ncbi.nlm.nih.gov/pmc/blobs/8057/3466278/4fd9adf0e82f/pone.0047016.g005.jpg

相似文献

1
Impact of cell type and epitope tagging on heterologous expression of G protein-coupled receptor: a systematic study on angiotensin type II receptor.细胞类型和表位标记对 G 蛋白偶联受体异源表达的影响:血管紧张素 II 型受体的系统研究。
PLoS One. 2012;7(10):e47016. doi: 10.1371/journal.pone.0047016. Epub 2012 Oct 8.
2
Type 1 angiotensin receptor (AT1-R)-mediated decrease in type 2 angiotensin receptor mRNA level is dependent on Gq and extracellular signal-regulated kinase 1//2 in AT1-R-transfected PC12 cells.1型血管紧张素受体(AT1-R)介导的2型血管紧张素受体mRNA水平降低依赖于转染了AT1-R的PC12细胞中的Gq和细胞外信号调节激酶1/2。
J Neuroendocrinol. 2008 Mar;20(3):299-308. doi: 10.1111/j.1365-2826.2008.01646.x. Epub 2008 Jan 15.
3
The angiotensin II type 2 receptor causes constitutive growth of cardiomyocytes and does not antagonize angiotensin II type 1 receptor-mediated hypertrophy.血管紧张素II 2型受体可引起心肌细胞的组成性生长,并且不拮抗血管紧张素II 1型受体介导的肥大。
Hypertension. 2005 Dec;46(6):1347-54. doi: 10.1161/01.HYP.0000193504.51489.cf. Epub 2005 Nov 14.
4
Angiotensin AT and AT receptor heteromer expression in the hemilesioned rat model of Parkinson's disease that increases with levodopa-induced dyskinesia.帕金森病半侧损伤大鼠模型中血管紧张素 AT 和 AT 受体异源二聚体的表达增加,与左旋多巴诱导的运动障碍有关。
J Neuroinflammation. 2020 Aug 17;17(1):243. doi: 10.1186/s12974-020-01908-z.
5
Effect of angiotensin type 2 receptor over-expression on the rat mesangial cell fibrotic phenotype: effect of gender.血管紧张素 II 型受体过表达对大鼠系膜细胞纤维化表型的影响:性别差异的影响。
J Renin Angiotensin Aldosterone Syst. 2012 Jun;13(2):221-31. doi: 10.1177/1470320311432185. Epub 2012 Jan 27.
6
Role of Phe308 in the seventh transmembrane domain of the AT2 receptor in ligand binding and signaling.苯丙氨酸308在AT2受体第七跨膜结构域中在配体结合和信号传导方面的作用。
Biochem Biophys Res Commun. 2004 Jul 9;319(4):1138-43. doi: 10.1016/j.bbrc.2004.05.092.
7
Angiotensin II activates nuclear transcription factor-kappaB through AT1 and AT2 receptors.血管紧张素II通过1型和2型血管紧张素受体激活核转录因子κB。
Kidney Int. 2002 Jun;61(6):1986-95. doi: 10.1046/j.1523-1755.2002.00365.x.
8
Angiotensin II type 1 and type 2 receptors bind angiotensin II through different types of epitope recognition.血管紧张素II 1型和2型受体通过不同类型的表位识别来结合血管紧张素II。
J Hypertens. 1999 Mar;17(3):397-404. doi: 10.1097/00004872-199917030-00013.
9
Molecular cloning of a novel angiotensin II receptor isoform involved in phosphotyrosine phosphatase inhibition.参与抑制磷酸酪氨酸磷酸酶的新型血管紧张素II受体亚型的分子克隆
J Biol Chem. 1993 Nov 25;268(33):24543-6.
10
Ligand binding and functional properties of human angiotensin AT1 receptors in transiently and stably expressed CHO-K1 cells.人血管紧张素AT1受体在瞬时和稳定表达的CHO-K1细胞中的配体结合及功能特性
Eur J Pharmacol. 2005 Apr 18;513(1-2):35-45. doi: 10.1016/j.ejphar.2005.02.029. Epub 2005 Apr 12.

引用本文的文献

1
Lysophosphatidic Acid Receptor 3 (LPA3): Signaling and Phosphorylation Sites.溶血磷脂酸受体 3(LPA3):信号转导和磷酸化位点。
Int J Mol Sci. 2024 Jun 12;25(12):6491. doi: 10.3390/ijms25126491.
2
The luminescent HiBiT peptide enables selective quantitation of G protein-coupled receptor ligand engagement and internalization in living cells.该发光 HiBiT 肽能够在活细胞中选择性定量测定 G 蛋白偶联受体配体结合和内化。
J Biol Chem. 2020 Apr 10;295(15):5124-5135. doi: 10.1074/jbc.RA119.011952. Epub 2020 Feb 27.
3
Expression and purification of recombinant G protein-coupled receptors: A review.

本文引用的文献

1
Di-acidic motifs in the membrane-distal C termini modulate the transport of angiotensin II receptors from the endoplasmic reticulum to the cell surface.膜远端 C 末端的双酸性基序调节血管紧张素 II 受体从内质网到细胞表面的运输。
J Biol Chem. 2011 Jun 10;286(23):20525-35. doi: 10.1074/jbc.M111.222034. Epub 2011 Apr 20.
2
Angiotensin II type 2 receptor signaling attenuates aortic aneurysm in mice through ERK antagonism.血管紧张素 II 型受体信号通过抑制 ERK 减轻小鼠的主动脉瘤。
Science. 2011 Apr 15;332(6027):361-5. doi: 10.1126/science.1192152.
3
The renin-angiotensin system and cancer: old dog, new tricks.
重组G蛋白偶联受体的表达与纯化:综述
Protein Expr Purif. 2020 Mar;167:105524. doi: 10.1016/j.pep.2019.105524. Epub 2019 Oct 31.
4
Dynamic lateral organization of opioid receptors (kappa, mu and mu ) in the plasma membrane at the nanoscale level.阿片受体(κ、μ和μ)在质膜中纳米尺度水平的动态侧向组织。
Traffic. 2018 May 28;19(9):690-709. doi: 10.1111/tra.12582.
5
Variable Effects of C-Terminal Fusions on FLS2 Function: Not All Epitope Tags Are Created Equal.C 端融合对 FLS2 功能的可变影响:并非所有表位标签都是平等创建的。
Plant Physiol. 2018 Jun;177(2):522-531. doi: 10.1104/pp.17.01700. Epub 2018 Apr 23.
6
Generation of G protein-coupled receptor antibodies differentially sensitive to conformational states.对构象状态具有不同敏感性的G蛋白偶联受体抗体的产生。
PLoS One. 2017 Nov 1;12(11):e0187306. doi: 10.1371/journal.pone.0187306. eCollection 2017.
7
The delta opioid receptor tool box.δ阿片受体工具集。
Neuroscience. 2016 Dec 3;338:145-159. doi: 10.1016/j.neuroscience.2016.06.028. Epub 2016 Jun 24.
8
Overexpression of angiotensin II type 2 receptor promotes apoptosis and impairs insulin secretion in rat insulinoma cells.血管紧张素II 2型受体的过表达促进大鼠胰岛素瘤细胞凋亡并损害胰岛素分泌。
Mol Cell Biochem. 2015 Feb;400(1-2):233-44. doi: 10.1007/s11010-014-2280-3. Epub 2014 Nov 28.
9
Melanocortin 3 receptor has a 5' exon that directs translation of apically localized protein from the second in-frame ATG.黑皮质素3受体有一个5'外显子,该外显子指导从第二个符合读框的甲硫氨酸起始密码子开始翻译定位于顶端的蛋白质。
Mol Endocrinol. 2014 Sep;28(9):1547-57. doi: 10.1210/me.2014-1105. Epub 2014 Jul 22.
肾素-血管紧张素系统与癌症:老调重弹。
Nat Rev Cancer. 2010 Nov;10(11):745-59. doi: 10.1038/nrc2945. Epub 2010 Oct 22.
4
Angiotensin-II-induced apoptosis requires regulation of nucleolin and Bcl-xL by SHP-2 in primary lung endothelial cells.血管紧张素 II 诱导的细胞凋亡需要 SHP-2 调节原代肺内皮细胞中的核仁蛋白和 Bcl-xL。
J Cell Sci. 2010 May 15;123(Pt 10):1634-43. doi: 10.1242/jcs.063545. Epub 2010 Apr 20.
5
Localization of type-2 angiotensin II receptor in adrenal gland.2 型血管紧张素 II 受体在肾上腺中的定位。
J Histochem Cytochem. 2010 Jul;58(7):585-93. doi: 10.1369/jhc.2010.955575. Epub 2010 Mar 15.
6
Cellular assays as portals to seven-transmembrane receptor-based drug discovery.细胞分析作为基于七跨膜受体的药物发现的切入点。
Nat Rev Drug Discov. 2009 Aug;8(8):617-26. doi: 10.1038/nrd2838. Epub 2009 Jul 17.
7
Identification and characterization of a novel CXC chemokine in xenograft tumor induced by mas-overexpressing cells.在mas过表达细胞诱导的异种移植肿瘤中一种新型CXC趋化因子的鉴定与表征
Int J Cancer. 2009 Sep 15;125(6):1316-27. doi: 10.1002/ijc.24440.
8
How reliable are G-protein-coupled receptor antibodies?G蛋白偶联受体抗体的可靠性如何?
Naunyn Schmiedebergs Arch Pharmacol. 2009 Apr;379(4):385-8. doi: 10.1007/s00210-009-0395-y. Epub 2009 Jan 27.
9
Angiotensin II AT2 receptor oligomers mediate G-protein dysfunction in an animal model of Alzheimer disease.血管紧张素II AT2受体寡聚体在阿尔茨海默病动物模型中介导G蛋白功能障碍。
J Biol Chem. 2009 Mar 6;284(10):6554-65. doi: 10.1074/jbc.M807746200. Epub 2008 Dec 11.
10
ER stress is the initial response to polyglutamine toxicity in PC12 cells.
Biochem Biophys Res Commun. 2008 Dec 12;377(2):550-555. doi: 10.1016/j.bbrc.2008.10.006. Epub 2008 Oct 12.