Suppr超能文献

散发性腹内硬纤维瘤:一种罕见的以肝脏肿块形式出现的病例。

Sporadic intra-abdominal desmoid: a rare presentation as a hepatic mass.

作者信息

Gupta Shahana, Ray Udipta, Chatterjee Souvik, Kumar Sanjeev, Satapathy Ayusman, Chatterjee Shamita, Choudhury Tamal Kanti

机构信息

Department of Surgery, Medical College, Kolkata, 88, College Street, Kolkata 700073, India.

出版信息

Case Rep Pathol. 2012;2012:245671. doi: 10.1155/2012/245671. Epub 2012 Oct 4.

Abstract

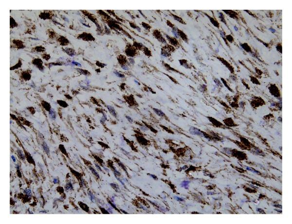
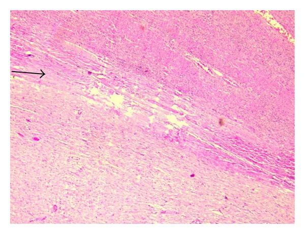
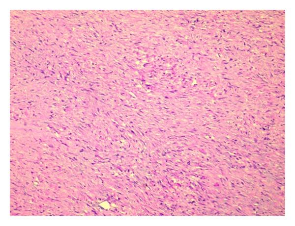
We report an unusual presentation of a sporadic intra-abdominal desmoid tumour, possibly arising from the diaphragm, masquerading as a hepatic mass in a young female without any history of surgery or trauma. Histopathology ruled out a hepatic origin of the tumour as was inferred from pre- and intraoperative evaluation. Immunohistochemistry showed positivity of lesional fibroblastic cells for β-catenin and negativity for CD34, CD117, EMA, SMA, desmin, vimentin, cytokeratin, and ALK1 thereby confirming the diagnosis of a desmoid tumour. There exist only a few reports in the literature on desmoids related to the diaphragm, but only one on a diaphragmatic desmoid that is possibly primary.

摘要

我们报告了一例散发性腹腔内硬纤维瘤的罕见表现,该肿瘤可能起源于膈肌,在一名无手术或外伤史的年轻女性中伪装成肝脏肿块。组织病理学排除了肿瘤起源于肝脏,这一点在术前和术中评估中已得到推断。免疫组织化学显示病变的成纤维细胞β-连环蛋白呈阳性,而CD34、CD117、EMA、SMA、结蛋白、波形蛋白、细胞角蛋白和ALK1呈阴性,从而确诊为硬纤维瘤。文献中关于与膈肌相关的硬纤维瘤的报道很少,而关于可能是原发性的膈肌硬纤维瘤的报道仅有一例。

https://cdn.ncbi.nlm.nih.gov/pmc/blobs/b6ee/3471414/4e4841de5963/CRIM.PATHOLOGY2012-245671.001.jpg

文献AI研究员

20分钟写一篇综述,助力文献阅读效率提升50倍。

立即体验

用中文搜PubMed

大模型驱动的PubMed中文搜索引擎

马上搜索

文档翻译

学术文献翻译模型,支持多种主流文档格式。

立即体验