Suppr超能文献

伴有脓毒症的破裂感染性主动脉瘤的血管内治疗

Endovascular treatment of ruptured infected aortic aneurysm with sepsis.

作者信息

Kim Jeong Goo, Kwon Jong Beom, Park Kuhn, Lee Jongho

机构信息

Department of General Surgery, Daejeon St. Mary's Hospital, The Catholic University of Korea School of Medicine, Daejeon, Korea.

出版信息

J Korean Surg Soc. 2012 Oct;83(4):250-3. doi: 10.4174/jkss.2012.83.4.250. Epub 2012 Sep 25.

Abstract

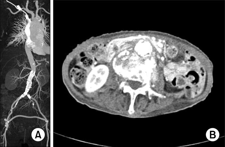
The generally accepted treatment for infected aortic aneurysms involves open surgical resection and debridement, with in situ or extra-anatomical bypass. Occasionally, endovascular management can be substituted for the standard operation dependent on the patient's condition. We report the case of an 81-year-old female with a ruptured infected aortic aneurysm and sepsis, successfully treated endovascularly. She had been on oral antibiotics for one year and is doing well 2 years after discharge.

摘要

感染性主动脉瘤的公认治疗方法包括开放手术切除和清创,并进行原位或解剖外旁路移植。偶尔,根据患者情况,可采用血管腔内治疗替代标准手术。我们报告一例81岁女性患者,患有破裂性感染性主动脉瘤并伴有脓毒症,成功接受了血管腔内治疗。她已口服抗生素一年,出院两年后情况良好。

https://cdn.ncbi.nlm.nih.gov/pmc/blobs/2405/3467393/4cb8f738210a/jkss-83-250-g001.jpg

文献AI研究员

20分钟写一篇综述,助力文献阅读效率提升50倍。

立即体验

用中文搜PubMed

大模型驱动的PubMed中文搜索引擎

马上搜索

文档翻译

学术文献翻译模型,支持多种主流文档格式。

立即体验