Rega Institute for Medical Research, Department of Microbiology and Immunology, University of Leuven, Leuven, Belgium.
J Neuroinflammation. 2012 Oct 25;9:243. doi: 10.1186/1742-2094-9-243.
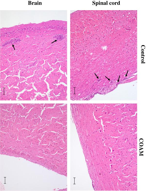
Neutrophil influx is an important sign of hyperacute neuroinflammation, whereas the entry of activated lymphocytes into the brain parenchyma is a hallmark of chronic inflammatory processes, as observed in multiple sclerosis (MS) and its animal models of experimental autoimmune encephalomyelitis (EAE). Clinically approved or experimental therapies for neuroinflammation act by blocking leukocyte penetration of the blood brain barrier. However, in view of unsatisfactory results and severe side effects, complementary therapies are needed. We have examined the effect of chlorite-oxidized oxyamylose (COAM), a potent antiviral polycarboxylic acid on EAE.
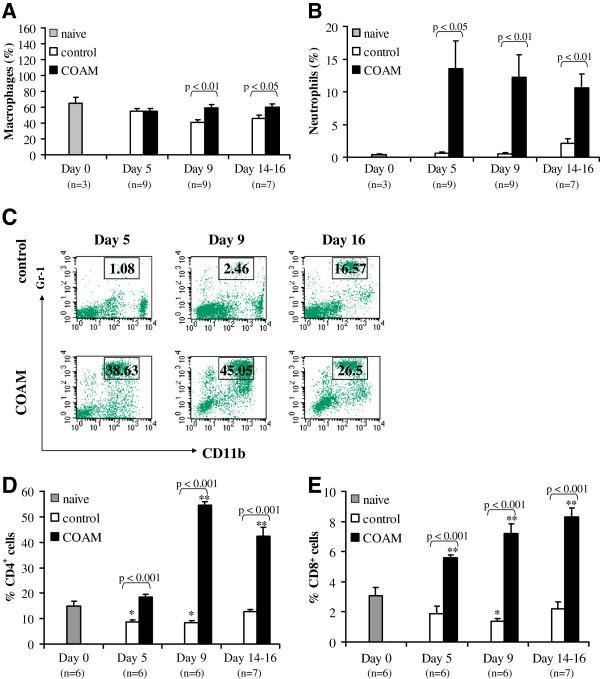
EAE was induced in SJL/J mice by immunization with spinal cord homogenate (SCH) or in IFN-γ-deficient BALB/c (KO) mice with myelin oligodendrocyte glycoprotein peptide (MOG₃₅₋₅₅). Mice were treated intraperitoneally (i.p.) with COAM or saline at different time points after immunization. Clinical disease and histopathology were compared between both groups. IFN expression was analyzed in COAM-treated MEF cell cultures and in sera and peritoneal fluids of COAM-treated animals by quantitative PCR, ELISA and a bioassay on L929 cells. Populations of immune cell subsets in the periphery and the central nervous system (CNS) were quantified at different stages of disease development by flow cytometry and differential cell count analysis. Expression levels of selected chemokine genes in the CNS were determined by quantitative PCR.
We discovered that COAM (2 mg i.p. per mouse on days 0 and 7) protects significantly against hyperacute SCH-induced EAE in SJL/J mice and MOG₃₅₋₅₅-induced EAE in IFN-γ KO mice. COAM deviated leukocyte trafficking from the CNS into the periphery. In the CNS, COAM reduced four-fold the expression levels of the neutrophil CXC chemokines KC/CXCL1 and MIP-2/CXCL2. Whereas the effects of COAM on circulating blood and splenic leukocytes were limited, significant alterations were observed at the COAM injection site.
These results demonstrate novel actions of COAM as an anti-inflammatory agent with beneficial effects on EAE through cell deviation. Sequestration of leukocytes in the non-CNS periphery or draining of leukocytes out of the CNS with the use of the chemokine system may thus complement existing treatment options for acute and chronic neuroinflammatory diseases.
中性粒细胞浸润是神经超急性炎症的重要标志,而活化淋巴细胞进入脑实质则是多发性硬化症(MS)及其实验性自身免疫性脑脊髓炎(EAE)动物模型中慢性炎症过程的标志。临床上批准或实验性神经炎症治疗方法通过阻止白细胞穿透血脑屏障。然而,鉴于结果不理想和严重的副作用,需要补充治疗方法。我们研究了氯氧化氧氨淀粉(COAM)对 EAE 的影响,COAM 是一种有效的抗病毒聚羧酸。
用脊髓匀浆(SCH)免疫 SJL/J 小鼠或用髓鞘少突胶质糖蛋白肽(MOG₃₅₋₅₅)免疫 IFN-γ 缺陷 BALB/c(KO)小鼠诱导 EAE。免疫后不同时间点,用 COAM 或生理盐水经腹腔(i.p.)处理小鼠。比较两组临床疾病和组织病理学。通过定量 PCR、ELISA 和 L929 细胞生物测定分析 COAM 处理的 MEF 细胞培养物以及 COAM 处理动物的血清和腹腔液中的 IFN 表达。通过流式细胞术和差异细胞计数分析,在疾病发展的不同阶段定量外周和中枢神经系统(CNS)中免疫细胞亚群的数量。通过定量 PCR 确定 CNS 中选定趋化因子基因的表达水平。
我们发现,COAM(每只小鼠 2mg,i.p.,在第 0 天和第 7 天)显著保护 SJL/J 小鼠的 SCH 诱导的超急性 EAE 和 IFN-γ KO 小鼠的 MOG₃₅₋₅₅ 诱导的 EAE。COAM 将白细胞从 CNS 转移到外周。在 CNS 中,COAM 将中性粒细胞 CXC 趋化因子 KC/CXCL1 和 MIP-2/CXCL2 的表达水平降低了四倍。虽然 COAM 对循环血液和脾白细胞的作用有限,但在 COAM 注射部位观察到明显的改变。
这些结果表明,COAM 作为一种抗炎剂具有新的作用,通过细胞偏离对 EAE 有有益的影响。使用趋化因子系统将白细胞固定在非 CNS 外周或从 CNS 中引流白细胞可能会补充急性和慢性神经炎症疾病的现有治疗选择。