• 文献检索
  • 文档翻译
  • 深度研究
  • 学术资讯
  • Suppr Zotero 插件Zotero 插件
  • 邀请有礼
  • 套餐&价格
  • 历史记录
应用&插件
Suppr Zotero 插件Zotero 插件浏览器插件Mac 客户端Windows 客户端微信小程序
定价
高级版会员购买积分包购买API积分包
服务
文献检索文档翻译深度研究API 文档MCP 服务
关于我们
关于 Suppr公司介绍联系我们用户协议隐私条款
关注我们

Suppr 超能文献

核心技术专利:CN118964589B侵权必究
粤ICP备2023148730 号-1Suppr @ 2026

文献检索

告别复杂PubMed语法,用中文像聊天一样搜索,搜遍4000万医学文献。AI智能推荐,让科研检索更轻松。

立即免费搜索

文件翻译

保留排版,准确专业,支持PDF/Word/PPT等文件格式,支持 12+语言互译。

免费翻译文档

深度研究

AI帮你快速写综述,25分钟生成高质量综述,智能提取关键信息,辅助科研写作。

立即免费体验

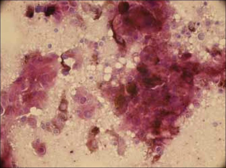
Metastatic malignant melanoma intraoperative imprint cytology of brain tumor.

作者信息

Azarpira Negar, Asadi Najmeh, Torabineghad Simin, Taghipour Musa

机构信息

Departments of Pathology, Shiraz Medical School, Shiraz University of Medical Sciences, Shiraz, Iran.

出版信息

J Cytol. 2012 Jul;29(3):192-3. doi: 10.4103/0970-9371.101170.

DOI:10.4103/0970-9371.101170
PMID:23112461
原文链接:https://pmc.ncbi.nlm.nih.gov/articles/PMC3480769/
Abstract
摘要
https://cdn.ncbi.nlm.nih.gov/pmc/blobs/1559/3480769/5f66296070f9/JCytol-29-192-g001.jpg
https://cdn.ncbi.nlm.nih.gov/pmc/blobs/1559/3480769/5f66296070f9/JCytol-29-192-g001.jpg
https://cdn.ncbi.nlm.nih.gov/pmc/blobs/1559/3480769/5f66296070f9/JCytol-29-192-g001.jpg

相似文献

1
Metastatic malignant melanoma intraoperative imprint cytology of brain tumor.转移性恶性黑色素瘤脑肿瘤术中印片细胞学检查
J Cytol. 2012 Jul;29(3):192-3. doi: 10.4103/0970-9371.101170.
2
Intraoperative touch imprint cytological analysis of sentinel lymph nodes for the presence of metastases in malignant melanoma.前哨淋巴结术中触摸印片细胞学分析在恶性黑色素瘤转移灶检测中的应用
Minerva Med. 2008 Feb;99(1):15-21.
3
Intraoperative evaluation of sentinel lymph nodes for metastatic melanoma by imprint cytology.通过印片细胞学对转移性黑色素瘤前哨淋巴结进行术中评估。
Cancer. 2002 Jun 1;94(11):3016-22. doi: 10.1002/cncr.10512.
4
Imprint cytology in the intraoperative diagnosis of malignant melanoma.
Acta Cytol. 1983 May-Jun;27(3):255-7.
5
Intraoperative evaluation of sentinel lymph nodes for metastatic breast carcinoma by imprint cytology.通过印片细胞学对转移性乳腺癌前哨淋巴结进行术中评估。
Mod Pathol. 2002 Nov;15(11):1140-7. doi: 10.1097/01.MP.0000036385.54165.E1.
6
Usefulness of intraoperative imprint cytology in ovarian germ cell tumors.术中印片细胞学检查在卵巢生殖细胞肿瘤中的应用价值
Acta Cytol. 2013;57(2):171-6. doi: 10.1159/000345942. Epub 2013 Feb 28.
7
Use of imprint cytology for assessment of surgical margins in lumpectomy specimens of breast cancer patients.印片细胞学在乳腺癌患者肿块切除标本手术切缘评估中的应用。
Diagn Cytopathol. 2007 Oct;35(10):656-9. doi: 10.1002/dc.20704.
8
Accuracy of imprint cytology for intraoperative diagnosis of sentinel node metastases in breast cancer.印片细胞学对乳腺癌前哨淋巴结转移术中诊断的准确性。
Ann Surg. 2008 May;247(5):839-42. doi: 10.1097/SLA.0b013e3181675855.
9
Intraoperative analysis of sentinel lymph nodes by imprint cytology for cancer of the breast.通过印片细胞学对乳腺癌前哨淋巴结进行术中分析。
Am J Surg. 2002 Nov;184(5):424-7. doi: 10.1016/s0002-9610(02)01003-6.
10
Effect of Intraoperative Imprint Cytology Followed by Frozen Section on Margin Assessment in Breast-Conserving Surgery.术中印片细胞学检查联合冰冻切片对保乳手术切缘评估的影响。
Ann Surg Oncol. 2021 Mar;28(3):1338-1346. doi: 10.1245/s10434-020-08955-z. Epub 2020 Aug 19.

本文引用的文献

1
Squash preparation: A reliable diagnostic tool in the intraoperative diagnosis of central nervous system tumors.squash 制片:中枢神经系统肿瘤术中诊断的可靠工具。
J Cytol. 2010 Jul;27(3):81-5. doi: 10.4103/0970-9371.71870.
2
Brain metastases.脑转移瘤。
Semin Neurol. 2010 Jul;30(3):217-35. doi: 10.1055/s-0030-1255225. Epub 2010 Jun 24.
3
Incidence proportions of brain metastases in patients diagnosed (1973 to 2001) in the Metropolitan Detroit Cancer Surveillance System.在底特律大都市癌症监测系统中确诊(1973年至2001年)的患者中脑转移瘤的发病比例。
J Clin Oncol. 2004 Jul 15;22(14):2865-72. doi: 10.1200/JCO.2004.12.149.
4
Intraoperative consultation for nervous system lesions.神经系统病变的术中会诊。
Semin Diagn Pathol. 2002 Nov;19(4):192-206.
5
Incidence of brain metastases in a cohort of patients with carcinoma of the breast, colon, kidney, and lung and melanoma.一组乳腺癌、结肠癌、肾癌、肺癌患者及黑色素瘤患者中脑转移瘤的发病率。
Cancer. 2002 May 15;94(10):2698-705. doi: 10.1002/cncr.10541.
6
Melanoma metastatic to the breast: utility of fine needle aspiration and immunohistochemistry.转移性至乳腺的黑色素瘤:细针穿刺抽吸及免疫组织化学的应用价值
Acta Cytol. 2002 Jan-Feb;46(1):13-8. doi: 10.1159/000326709.