• 文献检索
  • 文档翻译
  • 深度研究
  • 学术资讯
  • Suppr Zotero 插件Zotero 插件
  • 邀请有礼
  • 套餐&价格
  • 历史记录
应用&插件
Suppr Zotero 插件Zotero 插件浏览器插件Mac 客户端Windows 客户端微信小程序
定价
高级版会员购买积分包购买API积分包
服务
文献检索文档翻译深度研究API 文档MCP 服务
关于我们
关于 Suppr公司介绍联系我们用户协议隐私条款
关注我们

Suppr 超能文献

核心技术专利:CN118964589B侵权必究
粤ICP备2023148730 号-1Suppr @ 2026

文献检索

告别复杂PubMed语法,用中文像聊天一样搜索,搜遍4000万医学文献。AI智能推荐,让科研检索更轻松。

立即免费搜索

文件翻译

保留排版,准确专业,支持PDF/Word/PPT等文件格式,支持 12+语言互译。

免费翻译文档

深度研究

AI帮你快速写综述,25分钟生成高质量综述,智能提取关键信息,辅助科研写作。

立即免费体验

分泌天冬氨酸蛋白酶切割白色念珠菌 Msb2 激活 Cek1 MAPK 信号通路影响生物膜形成和口咽念珠菌病。

Secreted aspartic protease cleavage of Candida albicans Msb2 activates Cek1 MAPK signaling affecting biofilm formation and oropharyngeal candidiasis.

机构信息

Department of Oral Biology, University at Buffalo, Buffalo, New York, USA.

出版信息

PLoS One. 2012;7(11):e46020. doi: 10.1371/journal.pone.0046020. Epub 2012 Nov 6.

DOI:10.1371/journal.pone.0046020
PMID:23139737
原文链接:https://pmc.ncbi.nlm.nih.gov/articles/PMC3491010/
Abstract

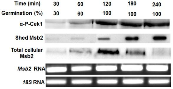
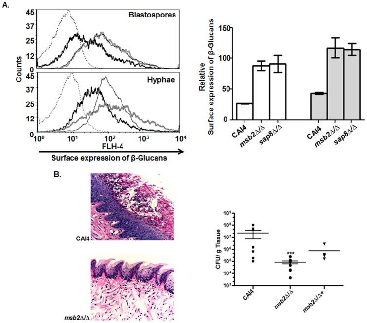
Perception of external stimuli and generation of an appropriate response are crucial for host colonization by pathogens. In pathogenic fungi, mitogen activated protein kinase (MAPK) pathways regulate dimorphism, biofilm/mat formation, and virulence. Signaling mucins, characterized by a heavily glycosylated extracellular domain, a transmembrane domain, and a small cytoplasmic domain, are known to regulate various signaling pathways. In Candida albicans, the mucin Msb2 regulates the Cek1 MAPK pathway. We show here that Msb2 is localized to the yeast cell wall and is further enriched on hyphal surfaces. A msb2Δ/Δ strain formed normal hyphae but had biofilm defects. Cek1 (but not Mkc1) phosphorylation was absent in the msb2Δ/Δ mutant. The extracellular domain of Msb2 was shed in cells exposed to elevated temperature and carbon source limitation, concomitant with germination and Cek1 phosphorylation. Msb2 shedding occurred differentially in cells grown planktonically or on solid surfaces in the presence of cell wall and osmotic stressors. We further show that Msb2 shedding and Cek1 phosphorylation were inhibited by addition of Pepstatin A (PA), a selective inhibitor of aspartic proteases (Saps). Analysis of combinations of Sap protease mutants identified a sap8Δ/Δ mutant with reduced MAPK signaling along with defects in biofilm formation, thereby suggesting that Sap8 potentially serves as a major regulator of Msb2 processing. We further show that loss of either Msb2 (msb2Δ/Δ) or Sap8 (sap8Δ/Δ) resulted in higher C. albicans surface β-glucan exposure and msb2Δ/Δ showed attenuated virulence in a murine model of oral candidiasis. Thus, Sap-mediated proteolytic cleavage of Msb2 is required for activation of the Cek1 MAPK pathway in response to environmental cues including those that induce germination. Inhibition of Msb2 processing at the level of Saps may provide a means of attenuating MAPK signaling and reducing C. albicans virulence.

摘要

对外界刺激的感知和产生适当的反应对于病原体宿主定植至关重要。在致病性真菌中,丝裂原激活蛋白激酶 (MAPK) 途径调节二态性、生物膜/基质形成和毒力。信号黏蛋白以富含糖基的细胞外结构域、跨膜结构域和小细胞质结构域为特征,已知其可以调节各种信号通路。在白色念珠菌中,黏蛋白 Msb2 调节 Cek1 MAPK 途径。我们在此表明 Msb2 定位于酵母细胞壁上,并且在菌丝表面进一步富集。msb2Δ/Δ 菌株形成正常的菌丝体,但生物膜缺陷。msb2Δ/Δ 突变体中不存在 Cek1(但不是 Mkc1)磷酸化。在暴露于高温和碳源限制的细胞中,细胞外结构域的 Msb2 脱落,同时伴随着出芽和 Cek1 磷酸化。在细胞壁和渗透胁迫存在的情况下,在浮游细胞或固体表面上生长时,Msb2 的脱落会以不同的方式发生。我们进一步表明,Msb2 脱落和 Cek1 磷酸化被添加 Pepstatin A (PA) 抑制,PA 是一种天冬氨酸蛋白酶 (Saps) 的选择性抑制剂。分析 Sap 蛋白酶突变体的组合确定了一个 Sap8Δ/Δ 突变体,该突变体具有降低的 MAPK 信号传导以及生物膜形成缺陷,从而表明 Sap8 可能是 Msb2 加工的主要调节剂。我们进一步表明,缺失 Msb2(msb2Δ/Δ)或 Sap8(sap8Δ/Δ)都会导致白色念珠菌表面β-葡聚糖暴露增加,并且 msb2Δ/Δ 在口腔念珠菌病的小鼠模型中显示出减弱的毒力。因此,Sap 介导的 Msb2 蛋白水解切割是响应包括诱导出芽的环境线索激活 Cek1 MAPK 途径所必需的。在 Saps 水平上抑制 Msb2 加工可能提供一种减弱 MAPK 信号传导和降低白色念珠菌毒力的方法。

https://cdn.ncbi.nlm.nih.gov/pmc/blobs/0c80/3491010/84d904945313/pone.0046020.g012.jpg
https://cdn.ncbi.nlm.nih.gov/pmc/blobs/0c80/3491010/75eef591a2e8/pone.0046020.g001.jpg
https://cdn.ncbi.nlm.nih.gov/pmc/blobs/0c80/3491010/bf8a740c8324/pone.0046020.g002.jpg
https://cdn.ncbi.nlm.nih.gov/pmc/blobs/0c80/3491010/a29bae98059b/pone.0046020.g003.jpg
https://cdn.ncbi.nlm.nih.gov/pmc/blobs/0c80/3491010/3c4f75e9e52f/pone.0046020.g004.jpg
https://cdn.ncbi.nlm.nih.gov/pmc/blobs/0c80/3491010/f9b14a941b2c/pone.0046020.g005.jpg
https://cdn.ncbi.nlm.nih.gov/pmc/blobs/0c80/3491010/7af172303c39/pone.0046020.g006.jpg
https://cdn.ncbi.nlm.nih.gov/pmc/blobs/0c80/3491010/a746d9ad9524/pone.0046020.g007.jpg
https://cdn.ncbi.nlm.nih.gov/pmc/blobs/0c80/3491010/5103798bfb0c/pone.0046020.g008.jpg
https://cdn.ncbi.nlm.nih.gov/pmc/blobs/0c80/3491010/45a92610ef42/pone.0046020.g009.jpg
https://cdn.ncbi.nlm.nih.gov/pmc/blobs/0c80/3491010/d4bab1f614e1/pone.0046020.g010.jpg
https://cdn.ncbi.nlm.nih.gov/pmc/blobs/0c80/3491010/8e7bb0a3eca8/pone.0046020.g011.jpg
https://cdn.ncbi.nlm.nih.gov/pmc/blobs/0c80/3491010/84d904945313/pone.0046020.g012.jpg
https://cdn.ncbi.nlm.nih.gov/pmc/blobs/0c80/3491010/75eef591a2e8/pone.0046020.g001.jpg
https://cdn.ncbi.nlm.nih.gov/pmc/blobs/0c80/3491010/bf8a740c8324/pone.0046020.g002.jpg
https://cdn.ncbi.nlm.nih.gov/pmc/blobs/0c80/3491010/a29bae98059b/pone.0046020.g003.jpg
https://cdn.ncbi.nlm.nih.gov/pmc/blobs/0c80/3491010/3c4f75e9e52f/pone.0046020.g004.jpg
https://cdn.ncbi.nlm.nih.gov/pmc/blobs/0c80/3491010/f9b14a941b2c/pone.0046020.g005.jpg
https://cdn.ncbi.nlm.nih.gov/pmc/blobs/0c80/3491010/7af172303c39/pone.0046020.g006.jpg
https://cdn.ncbi.nlm.nih.gov/pmc/blobs/0c80/3491010/a746d9ad9524/pone.0046020.g007.jpg
https://cdn.ncbi.nlm.nih.gov/pmc/blobs/0c80/3491010/5103798bfb0c/pone.0046020.g008.jpg
https://cdn.ncbi.nlm.nih.gov/pmc/blobs/0c80/3491010/45a92610ef42/pone.0046020.g009.jpg
https://cdn.ncbi.nlm.nih.gov/pmc/blobs/0c80/3491010/d4bab1f614e1/pone.0046020.g010.jpg
https://cdn.ncbi.nlm.nih.gov/pmc/blobs/0c80/3491010/8e7bb0a3eca8/pone.0046020.g011.jpg
https://cdn.ncbi.nlm.nih.gov/pmc/blobs/0c80/3491010/84d904945313/pone.0046020.g012.jpg

相似文献

1
Secreted aspartic protease cleavage of Candida albicans Msb2 activates Cek1 MAPK signaling affecting biofilm formation and oropharyngeal candidiasis.分泌天冬氨酸蛋白酶切割白色念珠菌 Msb2 激活 Cek1 MAPK 信号通路影响生物膜形成和口咽念珠菌病。
PLoS One. 2012;7(11):e46020. doi: 10.1371/journal.pone.0046020. Epub 2012 Nov 6.
2
Msb2 signaling mucin controls activation of Cek1 mitogen-activated protein kinase in Candida albicans.Msb2信号黏蛋白控制白色念珠菌中Cek1丝裂原活化蛋白激酶的激活。
Eukaryot Cell. 2009 Aug;8(8):1235-49. doi: 10.1128/EC.00081-09. Epub 2009 Jun 19.
3
Candida albicans Cek1 mitogen-activated protein kinase signaling enhances fungicidal activity of salivary histatin 5.白色念珠菌Cek1丝裂原活化蛋白激酶信号传导增强唾液组蛋白5的杀真菌活性。
Antimicrob Agents Chemother. 2015;59(6):3460-8. doi: 10.1128/AAC.00214-15. Epub 2015 Mar 30.
4
Lrg1 Regulates β (1,3)-Glucan Masking in Candida albicans through the Cek1 MAP Kinase Pathway.Lrg1 通过 Cek1 MAP 激酶途径调节白念珠菌中的β(1,3)-葡聚糖掩蔽。
mBio. 2019 Sep 17;10(5):e01767-19. doi: 10.1128/mBio.01767-19.
5
The lack of upstream elements of the Cek1 and Hog1 mediated pathways leads to a synthetic lethal phenotype upon osmotic stress in Candida albicans.在白色念珠菌中,Cek1和Hog1介导的信号通路缺乏上游元件会导致在渗透胁迫下出现合成致死表型。
Fungal Genet Biol. 2014 Aug;69:31-42. doi: 10.1016/j.fgb.2014.05.010. Epub 2014 Jun 4.
6
Magnolol as a potent antifungal agent inhibits virulence factors the PKC and Cek1 MAPK signaling pathways.厚朴酚作为一种有效的抗真菌剂,抑制了 PKC 和 Cek1 MAPK 信号通路等毒力因子。
Front Cell Infect Microbiol. 2022 Jul 22;12:935322. doi: 10.3389/fcimb.2022.935322. eCollection 2022.
7
Signaling domains of mucin Msb2 in Candida albicans.白色念珠菌中黏蛋白Msb2的信号结构域。
Eukaryot Cell. 2015 Apr;14(4):359-70. doi: 10.1128/EC.00264-14. Epub 2015 Jan 30.
8
The Cek1‑mediated MAP kinase pathway regulates exposure of α‑1,2 and β‑1,2‑mannosides in the cell wall of Candida albicans modulating immune recognition.Cek1介导的丝裂原活化蛋白激酶途径调节白色念珠菌细胞壁中α-1,2和β-1,2-甘露糖苷的暴露,从而调节免疫识别。
Virulence. 2016 Jul 3;7(5):558-77. doi: 10.1080/21505594.2016.1163458. Epub 2016 May 18.
9
Exposure of Candida albicans β (1,3)-glucan is promoted by activation of the Cek1 pathway.白念珠菌β(1,3)-葡聚糖的暴露是由 Cek1 途径的激活所促进的。
PLoS Genet. 2019 Jan 31;15(1):e1007892. doi: 10.1371/journal.pgen.1007892. eCollection 2019 Jan.
10
Mitogen-activated protein kinase-defective Candida albicans is avirulent in a novel model of localized murine candidiasis.丝裂原活化蛋白激酶缺陷型白色念珠菌在一种新型局部小鼠念珠菌病模型中无致病性。
FEMS Microbiol Lett. 1998 Sep 1;166(1):135-9. doi: 10.1111/j.1574-6968.1998.tb13194.x.

引用本文的文献

1
Impact of Clove Oil on Biofilm Formation in and Its Effects on Mice with Candida Vaginitis.丁香油对白色念珠菌性阴道炎生物膜形成的影响及其对小鼠的作用
Mycobiology. 2025 Aug 7;53(5):661-675. doi: 10.1080/12298093.2025.2537477. eCollection 2025.
2
Functional Characterization of , a Gene Coding an Aspartic Acid Protease in .[物种名称]中一个编码天冬氨酸蛋白酶的基因的功能特性分析。 需注意,你提供的原文中“Functional Characterization of, a Gene Coding an Aspartic Acid Protease in.”存在信息不完整的情况,这里补充了“[物种名称]”以便译文更通顺完整。你可根据实际情况进行调整。
J Fungi (Basel). 2024 Dec 17;10(12):879. doi: 10.3390/jof10120879.
3
Role of in Filamentous Growth and Pathogenicity of .

本文引用的文献

1
Candida albicans possesses Sap7 as a pepstatin A-insensitive secreted aspartic protease.白色念珠菌具有 Sap7 作为一种对胃抑素 A 不敏感的分泌天冬氨酸蛋白酶。
PLoS One. 2012;7(2):e32513. doi: 10.1371/journal.pone.0032513. Epub 2012 Feb 27.
2
Msb2 shedding protects Candida albicans against antimicrobial peptides.MSB2 脱落可保护白色念珠菌免受抗菌肽的侵害。
PLoS Pathog. 2012 Feb;8(2):e1002501. doi: 10.1371/journal.ppat.1002501. Epub 2012 Feb 2.
3
In vitro Candida albicans biofilm induced proteinase activity and SAP8 expression correlates with in vivo denture stomatitis severity.
[具体物质]在[具体真菌名称]丝状生长和致病性中的作用
J Fungi (Basel). 2024 Nov 25;10(12):818. doi: 10.3390/jof10120818.
4
A cryptic promoter in the exon of HKR1 drives expression of a truncated form of Hkr1 in Saccharomyces cerevisiae.HKR1 外显子中的一个隐秘启动子驱动酿酒酵母中 Hkr1 截断形式的表达。
PLoS One. 2024 Nov 21;19(11):e0314016. doi: 10.1371/journal.pone.0314016. eCollection 2024.
5
Conserved signaling modules regulate filamentous growth in fungi: a model for eukaryotic cell differentiation.保守信号模块调控真菌丝状生长:真核细胞分化模型。
Genetics. 2024 Oct 7;228(2). doi: 10.1093/genetics/iyae122.
6
Multi-Omics Profiling of Grown on Solid Versus Liquid Media.在固体与液体培养基上生长的多组学分析。
Microorganisms. 2023 Nov 22;11(12):2831. doi: 10.3390/microorganisms11122831.
7
Ecological inducers of the yeast filamentous growth pathway reveal environment-dependent roles for pathway components.酵母丝状生长途径的生态诱导因子揭示了途径成分的环境依赖性作用。
mSphere. 2023 Oct 24;8(5):e0028423. doi: 10.1128/msphere.00284-23. Epub 2023 Sep 21.
8
Molecular Mapping of Antifungal Mechanisms Accessing Biomaterials and New Agents to Target Oral Candidiasis.抗真菌机制的分子图谱研究:生物材料与靶向口腔念珠菌新药物的探索。
Int J Mol Sci. 2022 Jul 7;23(14):7520. doi: 10.3390/ijms23147520.
9
Cell Wall Integrity and Its Industrial Applications in Filamentous Fungi.丝状真菌中的细胞壁完整性及其工业应用
J Fungi (Basel). 2022 Apr 23;8(5):435. doi: 10.3390/jof8050435.
10
Envisaging Antifungal Potential of Histatin 5: A Physiological Salivary Peptide.设想组蛋白5的抗真菌潜力:一种生理性唾液肽。
J Fungi (Basel). 2021 Dec 12;7(12):1070. doi: 10.3390/jof7121070.
体外白念珠菌生物膜诱导蛋白酶活性和 SAP8 表达与体内义齿性口炎严重程度相关。
Mycopathologia. 2012 Jul;174(1):11-19. doi: 10.1007/s11046-012-9522-2.
4
Histatin 5 uptake by Candida albicans utilizes polyamine transporters Dur3 and Dur31 proteins.组蛋白 5 被白念珠菌摄取利用多胺转运蛋白 Dur3 和 Dur31 蛋白。
J Biol Chem. 2011 Dec 23;286(51):43748-43758. doi: 10.1074/jbc.M111.311175. Epub 2011 Oct 27.
5
Alternative mating type configurations (a/α versus a/a or α/α) of Candida albicans result in alternative biofilms regulated by different pathways.白色念珠菌的交配型构型(a/α 对 a/a 或 α/α)导致不同途径调控的不同生物膜。
PLoS Biol. 2011 Aug;9(8):e1001117. doi: 10.1371/journal.pbio.1001117. Epub 2011 Aug 2.
6
Comprehensive characterization of secreted aspartic proteases encoded by a virulence gene family in Candida albicans.全面表征白色念珠菌毒力基因家族编码的分泌天冬氨酸蛋白酶。
J Biochem. 2011 Oct;150(4):431-8. doi: 10.1093/jb/mvr073. Epub 2011 Jun 5.
7
Effects of fluconazole on the secretome, the wall proteome, and wall integrity of the clinical fungus Candida albicans.氟康唑对临床真菌白色念珠菌的分泌蛋白质组、细胞壁蛋白质组及细胞壁完整性的影响。
Eukaryot Cell. 2011 Aug;10(8):1071-81. doi: 10.1128/EC.05011-11. Epub 2011 May 27.
8
Hyphal induction in the human fungal pathogen Candida albicans reveals a characteristic wall protein profile.在人类真菌病原体白色念珠菌中诱导菌丝形成揭示了一种特征性的细胞壁蛋白谱。
Microbiology (Reading). 2011 Aug;157(Pt 8):2297-2307. doi: 10.1099/mic.0.049395-0. Epub 2011 May 20.
9
The membrane mucin Msb2 regulates invasive growth and plant infection in Fusarium oxysporum.膜粘蛋白 Msb2 调控尖孢镰刀菌的侵袭性生长和植物感染。
Plant Cell. 2011 Mar;23(3):1171-85. doi: 10.1105/tpc.110.075093. Epub 2011 Mar 25.
10
Damage to the glycoshield activates PMT-directed O-mannosylation via the Msb2-Cek1 pathway in Candida albicans.糖基保护层的损伤通过 Msb2-Cek1 途径激活 PMT 定向的 O-甘露糖基化,在白色念珠菌中。
Mol Microbiol. 2011 May;80(3):715-25. doi: 10.1111/j.1365-2958.2011.07604.x. Epub 2011 Mar 16.