Suppr超能文献

兔作为人类子宫粘连实验模型的评估。

Evaluation of the rabbit as an experimental model for human uterine synechia.

作者信息

Khrouf Mohamed, Morel Olivier, Hafiz Ali, Chavatte-Palmer Pascale, Fernandez Hervé

机构信息

Department of Obstetrics, Gynecology and Human Reproduction, Aziza Othmana Hospital, Tunis, Tunisia.

出版信息

J Hum Reprod Sci. 2012 May;5(2):175-80. doi: 10.4103/0974-1208.101017.

Abstract

CONTEXT

Pathogenesis of uterine synechia remains unsolved, the causal relationship between synechia and infertility is not clearly established.

AIMS

To evaluate the rabbit as an experimental model for Asherman's syndrome using the endometrial curettage as trigger mechanism then to evaluate its impact on fertility.

SETTINGS AND DESIGN

Experimental study

MATERIALS AND METHODS

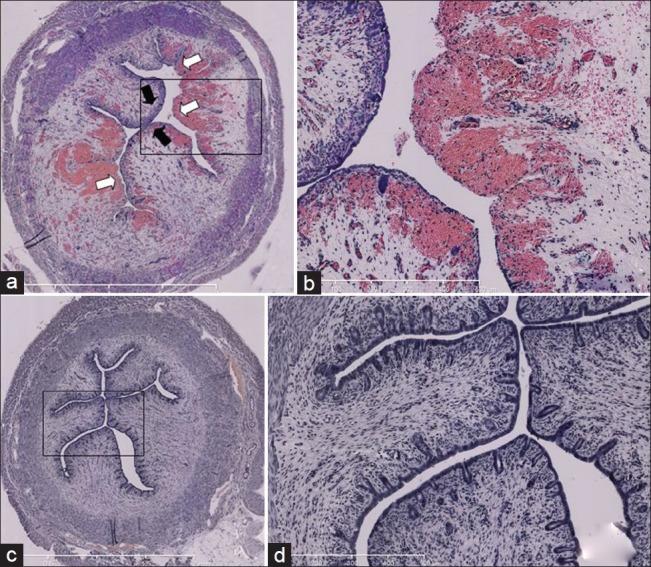
13 female rabbits. All submitted traumatic endometrial curettage. Animals of Group 1 (n = 7) were sacrificed at various times following surgery (day 7, 15 and 30), animals of Group 2 (n = 6) were bred and sacrificed during pregnancy. Main outcome were synechia occurring, number of implanted fetus, lumen surface/ global horn perimeter ratio (LS-GHP ratio) and epithelium thickness.

STATISTICAL ANALYSIS

Means were compared using Student 't' test (P < 0.05 was considered significant). Number of implantation sites of two horns were compared with the Wilcoxon test.

RESULTS

No synechia have been observed. Examinations at Day 7, 15 and 30 demonstrate a complete regeneration of endometrium. We observed a significant diminished LS-GHP ratio at day 7 (0.042 ± 0.004 vs 0.074 ± 0.002 mm; P = 0.013) with a higher simple columnar epithelium compared to control (16.6 ± 3.39 vs 10.98 ± 1.7; P = 0.001). We observed a diminished ovum implantation in traumatized horns, even if it was not statistically significant.

CONCLUSION

Even if no intrauterine adhesion were observed, this model represents a pathogenesis condition in the rabbit similar to intrauterine adhesions observed in the human with negative impact on implantation.

摘要

背景

子宫粘连的发病机制尚未解决,粘连与不孕之间的因果关系尚未明确确立。

目的

以刮宫作为触发机制,评估兔作为阿谢曼综合征的实验模型,然后评估其对生育能力的影响。

设置与设计

实验研究

材料与方法

13只雌性兔。均接受创伤性子宫内膜刮宫术。第1组(n = 7)的动物在手术后不同时间(第7天、15天和30天)处死,第2组(n = 6)的动物在怀孕期进行配种并处死。主要观察指标为粘连的发生情况、植入胎儿的数量、管腔表面/总角周长比(LS-GHP比)和上皮厚度。

统计学分析

采用学生t检验比较均值(P < 0.05被认为具有显著性)。采用威尔科克森检验比较两个角的着床部位数量。

结果

未观察到粘连。在第7天、15天和30天的检查显示子宫内膜完全再生。我们观察到在第7天LS-GHP比显著降低(0.042 ± 0.004对0.074 ± 0.002 mm;P = 0.013),与对照组相比,单层柱状上皮更高(16.6 ± 3.39对10.98 ± 1.7;P = 0.001)。我们观察到受创伤角的卵子植入减少,即使无统计学意义。

结论

即使未观察到宫内粘连,该模型代表了兔体内类似于人类观察到的宫内粘连的发病情况,对植入有负面影响。

https://cdn.ncbi.nlm.nih.gov/pmc/blobs/9f0c/3493832/8938975bfd66/JHRS-5-175-g001.jpg

文献AI研究员

20分钟写一篇综述,助力文献阅读效率提升50倍。

立即体验

用中文搜PubMed

大模型驱动的PubMed中文搜索引擎

马上搜索

文档翻译

学术文献翻译模型,支持多种主流文档格式。

立即体验