Suppr超能文献

Ⅰ型神经纤维瘤病(冯雷克林霍增氏病):1例家族病例报告及文献复习

Neurofibromatosis type I (von Recklinghausen's disease): A family case report and literature review.

作者信息

Ghalayani Parichehr, Saberi Zahra, Sardari Farimah

机构信息

Torabinejad Dental Research Center and Department of Oral and Maxillofacial Medicine, Isfahan University of Medical Sciences, Isfahan, Iran.

出版信息

Dent Res J (Isfahan). 2012 Jul;9(4):483-8.

Abstract

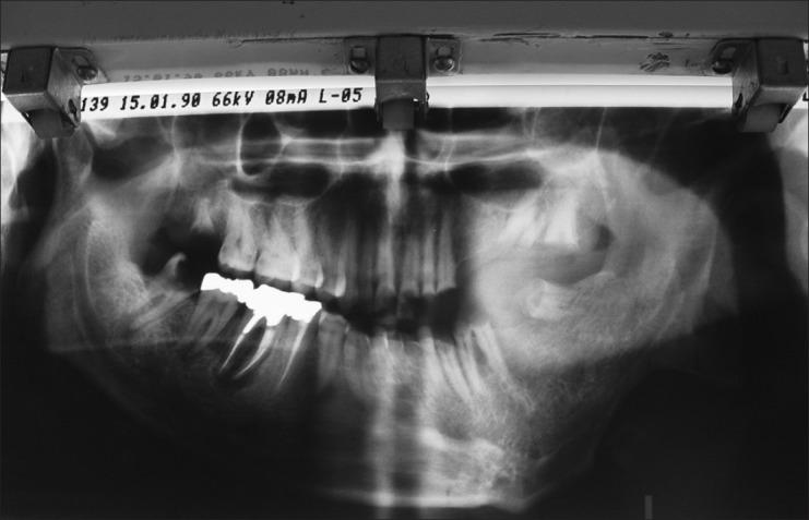
The term neurofibromatosis (NF) is used for a group of genetic disorders that primarily affect the cell growth of neural tissues. Neurofibromatosis type 1 (NF1), also known as von Recklinghausen's disease, is the most common type of NF, and accounts for about 90% of all cases. It is one of the most frequent human genetic diseases, with a prevalence of one case in 3,000 births. The expressivity of NF1 is extremely variable, with manifestations ranging from mild lesions to several complications and functional impairment. Oral manifestations can be found in almost 72% of the NF1 patients. The aim of this article is to report the NF1 in a family with different manifestations and to review the literature.

摘要

神经纤维瘤病(NF)一词用于指代一组主要影响神经组织细胞生长的遗传性疾病。1型神经纤维瘤病(NF1),也称为冯·雷克林豪森病,是最常见的NF类型,约占所有病例的90%。它是最常见的人类遗传病之一,发病率为每3000例出生中有1例。NF1的表现极为多样,从轻微病变到多种并发症和功能障碍都有。几乎72%的NF1患者会出现口腔表现。本文旨在报告一个具有不同表现的NF1家系并对文献进行综述。

https://cdn.ncbi.nlm.nih.gov/pmc/blobs/c8b4/3491339/0b5427157b80/DRJ-9-483-g001.jpg

文献AI研究员

20分钟写一篇综述,助力文献阅读效率提升50倍。

立即体验

用中文搜PubMed

大模型驱动的PubMed中文搜索引擎

马上搜索

文档翻译

学术文献翻译模型,支持多种主流文档格式。

立即体验