Suppr超能文献

能够增强其融合伙伴的溶解度是麦芽糖结合蛋白的固有特性,但它们的折叠要么是自发的,要么是伴侣介导的。

The ability to enhance the solubility of its fusion partners is an intrinsic property of maltose-binding protein but their folding is either spontaneous or chaperone-mediated.

机构信息

Protein Engineering Section, Macromolecular Crystallography Laboratory, Center for Cancer Research, Frederick National Laboratory for Cancer Research, Frederick, Maryland, United States of America.

出版信息

PLoS One. 2012;7(11):e49589. doi: 10.1371/journal.pone.0049589. Epub 2012 Nov 16.

Abstract

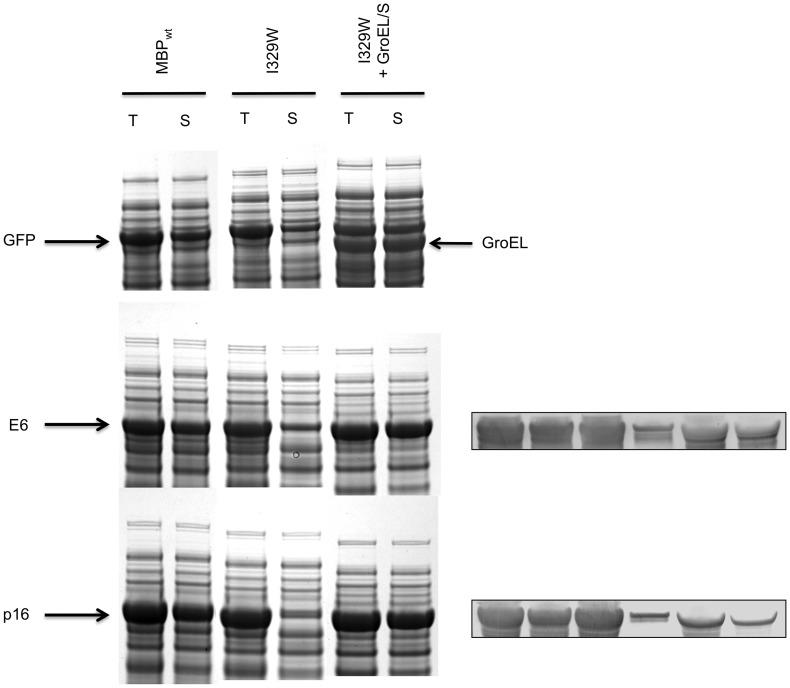
Escherichia coli maltose binding protein (MBP) is commonly used to promote the solubility of its fusion partners. To investigate the mechanism of solubility enhancement by MBP, we compared the properties of MBP fusion proteins refolded in vitro with those of the corresponding fusion proteins purified under native conditions. We fused five aggregation-prone passenger proteins to 3 different N-terminal tags: His₆-MBP, His₆-GST and His₆. After purifying the 15 fusion proteins under denaturing conditions and refolding them by rapid dilution, we recovered far more of the soluble MBP fusion proteins than their GST- or His-tagged counterparts. Hence, we can reproduce the solubilizing activity of MBP in a simple in vitro system, indicating that no additional factors are required to mediate this effect. We assayed both the soluble fusion proteins and their TEV protease digestion products (i.e., with the N-terminal tag removed) for biological activity. Little or no activity was detected for some fusion proteins whereas others were quite active. When the MBP fusions proteins were purified from E. coli under native conditions they were all substantially active. These results indicate that the ability of MBP to promote the solubility of its fusion partners in vitro sometimes, but not always, results in their proper folding. We show that the folding of some passenger proteins is mediated by endogenous chaperones in vivo. Hence, MBP serves as a passive participant in the folding process; passenger proteins either fold spontaneously or with the assistance of chaperones.

摘要

大肠杆菌麦芽糖结合蛋白(MBP)常用于促进其融合伙伴的可溶性。为了研究 MBP 增强可溶性的机制,我们比较了在体外复性的 MBP 融合蛋白与在天然条件下纯化的相应融合蛋白的性质。我们将五个易聚集的载体蛋白融合到 3 种不同的 N 端标签上:His₆-MBP、His₆-GST 和 His₆。在变性条件下纯化 15 个融合蛋白,并通过快速稀释进行复性后,我们回收了更多的可溶性 MBP 融合蛋白,而不是其 GST 或 His 标记的对应物。因此,我们可以在简单的体外系统中重现 MBP 的溶解活性,表明不需要额外的因素来介导这种效应。我们检测了可溶性融合蛋白及其 TEV 蛋白酶消化产物(即去除 N 端标签)的生物活性。一些融合蛋白几乎没有或没有活性,而其他融合蛋白则非常活跃。当 MBP 融合蛋白在天然条件下从大肠杆菌中纯化时,它们都具有相当大的活性。这些结果表明,MBP 在体外促进其融合伙伴可溶性的能力有时但并非总是导致它们的正确折叠。我们表明,一些载体蛋白的折叠是由体内的内源性伴侣介导的。因此,MBP 作为折叠过程中的被动参与者;载体蛋白要么自发折叠,要么在伴侣的协助下折叠。

https://cdn.ncbi.nlm.nih.gov/pmc/blobs/cc1b/3500312/e776b3937b7b/pone.0049589.g001.jpg

文献AI研究员

20分钟写一篇综述,助力文献阅读效率提升50倍。

立即体验

用中文搜PubMed

大模型驱动的PubMed中文搜索引擎

马上搜索

文档翻译

学术文献翻译模型,支持多种主流文档格式。

立即体验