Department of Microbiology and Cell Biology, Indian Institute of Science, Bangalore, 560012, India.
Virol J. 2012 Dec 5;9:302. doi: 10.1186/1743-422X-9-302.
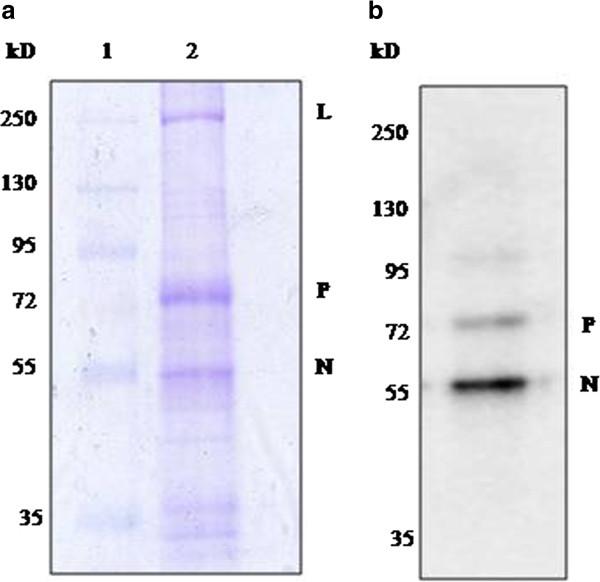
Peste-des-petits ruminants virus (PPRV) is a non segmented negative strand RNA virus of the genus Morbillivirus within Paramyxoviridae family. Negative strand RNA viruses are known to carry nucleocapsid (N) protein, phospho (P) protein and RNA polymerase (L protein) packaged within the virion which possess all activities required for transcription, post-transcriptional modification of mRNA and replication. In order to understand the mechanism of transcription and replication of the virus, an in vitro transcription reconstitution system is required. In the present work, an in vitro transcription system has been developed with ribonucleoprotein (RNP) complex purified from virus infected cells as well as partially purified recombinant polymerase (L-P) complex from insect cells along with N-RNA (genomic RNA encapsidated by N protein) template isolated from virus infected cells.
RNP complex isolated from virus infected cells and recombinant L-P complex purified from insect cells was used to reconstitute transcription on N-RNA template. The requirement for this transcription reconstitution has been defined. Transcription of viral genes in the in vitro system was confirmed by PCR amplification of cDNAs corresponding to individual transcripts using gene specific primers. In order to measure the relative expression level of viral transcripts, real time PCR analysis was carried out. qPCR analysis of the transcription products made in vitro showed a gradient of polarity of transcription from 3' end to 5' end of the genome similar to that exhibited by the virus in infected cells.
This report describes for the first time, the development of an in vitro transcription reconstitution system for PPRV with RNP complex purified from infected cells and recombinant L-P complex expressed in insect cells. Both the complexes were able to synthesize all the mRNA species in vitro, exhibiting a gradient of polarity in transcription.
小反刍兽疫病毒(PPRV)是副黏病毒科麻疹病毒属的一种非节段负链 RNA 病毒。已知负链 RNA 病毒携带核衣壳(N)蛋白、磷(P)蛋白和 RNA 聚合酶(L)蛋白,这些蛋白包装在病毒粒子中,具有转录、mRNA 转录后修饰和复制所需的所有活性。为了了解病毒的转录和复制机制,需要建立体外转录重组系统。本研究以病毒感染细胞中纯化的核糖核蛋白(RNP)复合物以及从昆虫细胞中部分纯化的重组聚合酶(L-P)复合物,以及从病毒感染细胞中分离的 N-RNA(由 N 蛋白包裹的基因组 RNA)模板,建立了体外转录系统。
从病毒感染细胞中分离的 RNP 复合物和从昆虫细胞中纯化的重组 L-P 复合物用于在 N-RNA 模板上进行转录重组。定义了该转录重组的要求。使用基因特异性引物对 cDNA 进行 PCR 扩增,证实了体外系统中转录病毒基因的存在。为了测量病毒转录本的相对表达水平,进行了实时 PCR 分析。体外转录产物的 qPCR 分析显示,转录极性从基因组的 3' 端到 5' 端呈梯度分布,与感染细胞中病毒的表现相似。
本研究首次描述了从小反刍兽疫病毒感染细胞中纯化的 RNP 复合物和在昆虫细胞中表达的重组 L-P 复合物建立 PPRV 体外转录重组系统的方法。这两种复合物都能够在体外合成所有的 mRNA 种类,表现出转录极性的梯度。