Suppr超能文献

蝶骨巨细胞修复性肉芽肿:病例报告及文献复习

Giant cell reparative granuloma of the sphenoid: Case report and review of the literature.

作者信息

Jamil Osama A, Lechpammer Mirna, Prasad Sashank, Litvack Zachary, Dunn Ian F

机构信息

Department of Neurosurgery, Brigham and Women's Hospital, Harvard Medical School, Boston.

出版信息

Surg Neurol Int. 2012;3:140. doi: 10.4103/2152-7806.103878. Epub 2012 Nov 27.

Abstract

BACKGROUND

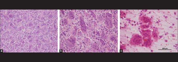
Giant cell reparative granulomas (GCRGs) are rare lesions in the cranial bones. We present a case of this rare lesion emanating from the clivus and replacing the sphenoid sinus, a highly unusual location for this entity.

CASE DESCRIPTION

The case and clinical course of a 29-year-old female who presented with a large sphenoid mass are described here. The patient presented with symptoms of severe headache and diplopia; imaging demonstrated a large sphenoid mass which was completely resected via an endoscopic endonasal approach. It was based on the clivus and was shown to be a GCRG.

CONCLUSION

GCRGs are benign granulomatous lesions which should be considered in the differential in the setting of a sphenoid mass.

摘要

背景

巨细胞修复性肉芽肿(GCRGs)是颅骨中罕见的病变。我们报告了一例起源于斜坡并取代蝶窦的这种罕见病变,这一部位对于该病变来说极为罕见。

病例描述

本文描述了一名29岁女性出现巨大蝶窦肿物的病例及临床过程。患者表现为严重头痛和复视症状;影像学检查显示一个巨大的蝶窦肿物,通过鼻内镜经鼻入路将其完全切除。该肿物起源于斜坡,病理显示为巨细胞修复性肉芽肿。

结论

巨细胞修复性肉芽肿是良性肉芽肿性病变,在蝶窦肿物的鉴别诊断中应予以考虑。

https://cdn.ncbi.nlm.nih.gov/pmc/blobs/640a/3515947/f13cca28bc02/SNI-3-140-g001.jpg

文献AI研究员

20分钟写一篇综述,助力文献阅读效率提升50倍。

立即体验

用中文搜PubMed

大模型驱动的PubMed中文搜索引擎

马上搜索

文档翻译

学术文献翻译模型,支持多种主流文档格式。

立即体验