Suppr超能文献

一名患有埃布斯坦畸形合并双心室心肌致密化不全的患者出现预激综合征——一种罕见的表现。

A patient of Ebstein's anomaly associated with biventricular noncompaction presented with Wolf Parkinson White syndrome - A rare presentation.

作者信息

Patra Soumya, Singla Vivek, Kharge Jayashree, Ravindranath Khandenahally S, Manjunath Cholenahally N

机构信息

Department of Cardiology, Sri Jayadeva Institute of Cardiovascular Sciences and Research, Bangalore, Karnataka, India.

出版信息

J Cardiovasc Dis Res. 2012 Oct;3(4):323-5. doi: 10.4103/0975-3583.102721.

Abstract

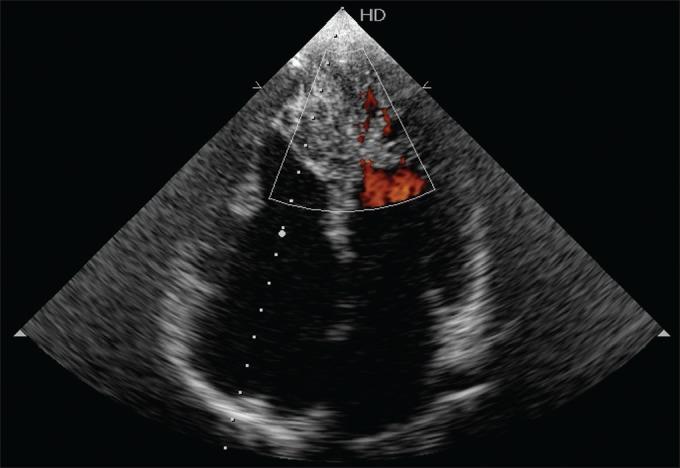
A 34 year-old male patient presented with recurrent attack of palpitation and chest pain due to Wolf Parkinson White syndrome (WPWS). Two dimensional echocardiography demonstrated features of Ebstein's anomaly along with biventricular non compaction. Color flow Doppler studies confirmed the presence of blood flow within the trabeculations. Biventricular myocardial non-compaction associated with Ebstein's anomaly who presented with WPWS is a very rare association. So far, Medline search revealed only three reported cases in the literatures. The patient was treated with radiofrequency ablation of right sided posteroseptal accessory pathway of WPWS and was asymptomatic in further follow-up.

摘要

一名34岁男性患者因预激综合征(WPWS)出现反复发作的心悸和胸痛。二维超声心动图显示埃布斯坦畸形特征以及双心室心肌致密化不全。彩色多普勒血流显像研究证实小梁内存在血流。伴有埃布斯坦畸形且出现WPWS的双心室心肌致密化不全是一种非常罕见的关联。到目前为止,医学文献在线数据库搜索显示文献中仅报道了3例。该患者接受了WPWS右侧后间隔旁路的射频消融治疗,后续随访中无症状。

https://cdn.ncbi.nlm.nih.gov/pmc/blobs/a87b/3516015/8444e4293b00/JCDR-3-323-g001.jpg

文献AI研究员

20分钟写一篇综述,助力文献阅读效率提升50倍。

立即体验

用中文搜PubMed

大模型驱动的PubMed中文搜索引擎

马上搜索

文档翻译

学术文献翻译模型,支持多种主流文档格式。

立即体验