Suppr超能文献

胃腺癌异时性直肠转移:一例报告

Metachronous rectum metastases from gastric adenocarcinoma: a case report.

作者信息

Tural Deniz, Selçukbiricik Fatih, Erçalışkan Abdülkadir, Inanç Berin, Günver Feray, Büyükünal Evin

机构信息

Division of Medical Oncology, Department of Internal Medicine, Cerrahpaşa Medical Faculty, İstanbul University, 34098 İstanbul, Turkey.

出版信息

Case Rep Med. 2012;2012:726841. doi: 10.1155/2012/726841. Epub 2012 Nov 25.

Abstract

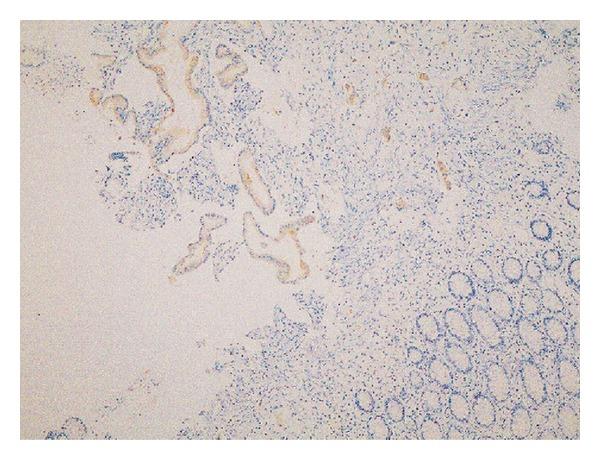
Introduction. Hepatic metastases of gastric adenocarcinomas are frequently observed due to the drainage into portal vein. Intestinal metastases disseminate from gastrocolic and mesenteric ligaments but they are seen very rarely and in most cases detected in postmortem studies. Case Report. A 74-year-old female patient with no known history of disease. Her complaints on application were epigastric pain, burning, and constipation. Gastroscopy showed a submucosal mass in the greater curvature of fundus and in colonoscopy, a mass with polypoid appearance that narrows the lumen at the rectum was detected. No far metastases or pathology were detected. Pathology report from gastric biopsy material demonstrated well-differentiated adenocarcinoma. Cytokeratin 7 (CK7) was found to be extensively strongly positive, Cytokeratin 20 (CK20) was negative in the immunohistochemical staining of the biopsy obtained from rectosigmoid area. Conclusion. Gastric cancer is among the frequent cancers today, most of which are adenocarcinomas. Although most of the metastases are observed in the liver, lungs, lymph nodes, and peritoneum, it should be remembered that intestinal metastases may be seen without the presence of any other metastatic focus. Our case is the first in literature reporting a rectum metastasis without any other organ metastasis.

摘要

引言。胃腺癌的肝转移因经门静脉引流而常见。肠转移从胃结肠韧带和肠系膜韧带播散,但极为罕见,大多在尸检研究中发现。病例报告。一名74岁女性患者,既往无疾病史。就诊时主诉上腹部疼痛、烧灼感和便秘。胃镜显示胃底大弯处有一个黏膜下肿块,结肠镜检查发现直肠有一个息肉样肿块使管腔狭窄。未发现远处转移或病理改变。胃活检材料的病理报告显示为高分化腺癌。在直肠乙状结肠区域活检的免疫组化染色中,细胞角蛋白7(CK7)广泛呈强阳性,细胞角蛋白20(CK20)呈阴性。结论。胃癌是当今常见的癌症之一,大多数为腺癌。虽然大多数转移见于肝脏、肺、淋巴结和腹膜,但应记住,在无任何其他转移灶的情况下也可能出现肠转移。我们的病例是文献中首例报告的无任何其他器官转移的直肠转移。

https://cdn.ncbi.nlm.nih.gov/pmc/blobs/75c0/3521634/2b1421e2f130/CRIM2012-726841.001.jpg

文献AI研究员

20分钟写一篇综述,助力文献阅读效率提升50倍。

立即体验

用中文搜PubMed

大模型驱动的PubMed中文搜索引擎

马上搜索

文档翻译

学术文献翻译模型,支持多种主流文档格式。

立即体验