Suppr超能文献

抑制物ipl1-2 在 Glc7 磷酸酶复合物、Cdc48 AAA ATP 酶、TORC1 和动粒的组分中。

Suppressors of ipl1-2 in components of a Glc7 phosphatase complex, Cdc48 AAA ATPase, TORC1, and the kinetochore.

机构信息

Department of Biochemistry and Molecular Biology, Louisiana State University Health Sciences Center, Shreveport, Louisiana 71130, USA.

出版信息

G3 (Bethesda). 2012 Dec;2(12):1687-701. doi: 10.1534/g3.112.003814. Epub 2012 Dec 1.

Abstract

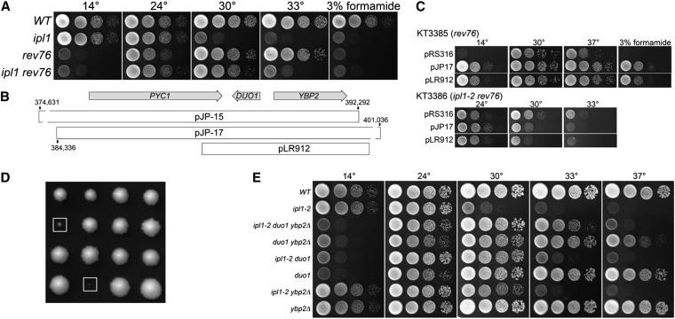
Ipl1/Aurora B is the catalytic subunit of a protein kinase complex required for chromosome segregation and nuclear division. Before anaphase, Ipl1 is required to establish proper kinetochore-microtubule associations and to regulate the spindle assembly checkpoint (SAC). The phosphatase Glc7/PP1 opposes Ipl1 for these activities. To investigate Ipl1 and Glc7 regulation in more detail, we isolated and characterized mutations in the yeast Saccharomyces cerevisiae that raise the restrictive temperature of the ipl-2 mutant. These suppressors include three intragenic, second-site revertants in IPL1; 17 mutations in Glc7 phosphatase components (GLC7, SDS22, YPI1); two mutations in SHP1, encoding a regulator of the AAA ATPase Cdc48; and a mutation in TCO89, encoding a subunit of the TOR Complex 1. Two revertants contain missense mutations in microtubule binding components of the kinetochore. rev76 contains the missense mutation duo1-S115F, which alters an essential component of the DAM1/DASH complex. The mutant is cold sensitive and arrests in G2/M due to activation of the SAC. rev8 contains the missense mutation ndc80-K204E. K204 of Ndc80 corresponds to K166 of human Ndc80 and the human Ndc80 K166E variant was previously shown to be defective for microtubule binding in vitro. In a wild-type IPL1 background, ndc80-K204E cells grow slowly and the SAC is activated. The slow growth and cell cycle delay of ndc80-K204E cells are partially alleviated by the ipl1-2 mutation. These data provide biological confirmation of a biochemically based model for the effect of phosphorylation on Ndc80 function.

摘要

Ipl1/Aurora B 是一种蛋白激酶复合物的催化亚基,该复合物对于染色体分离和核分裂是必需的。在有丝分裂后期之前,Ipl1 需要建立适当的着丝粒微管连接,并调节纺锤体组装检查点(SAC)。磷酸酶 Glc7/PP1 针对这些活性与 Ipl1 拮抗。为了更详细地研究 Ipl1 和 Glc7 的调节,我们分离并鉴定了酵母酿酒酵母中提高 ipl-2 突变体限制温度的突变。这些抑制剂包括 IPL1 中的三个基因内、第二位点回复突变;Glc7 磷酸酶成分(GLC7、SDS22、YPI1)中的 17 个突变;编码 AAA ATPase Cdc48 调节剂的 SHP1 中的两个突变;以及编码 TOR Complex 1 亚基的 TCO89 中的一个突变。两个回复突变包含着丝粒微管结合成分的错义突变。rev76 包含错义突变 duo1-S115F,该突变改变了 DAM1/DASH 复合物的一个必需成分。该突变体是冷敏感的,并由于 SAC 的激活而在 G2/M 期停滞。rev8 包含错义突变 ndc80-K204E。Ndc80 的 K204 对应于人类 Ndc80 的 K166,并且先前已经显示人类 Ndc80 K166E 变体在体外对于微管结合是有缺陷的。在野生型 IPL1 背景下,ndc80-K204E 细胞生长缓慢,SAC 被激活。ipl1-2 突变部分缓解了 ndc80-K204E 细胞的生长缓慢和细胞周期延迟。这些数据为基于生物化学的 Ndc80 功能磷酸化效应模型提供了生物学证实。

https://cdn.ncbi.nlm.nih.gov/pmc/blobs/59ad/3516489/e7443271d0d3/1687f1.jpg

文献AI研究员

20分钟写一篇综述,助力文献阅读效率提升50倍。

立即体验

用中文搜PubMed

大模型驱动的PubMed中文搜索引擎

马上搜索

文档翻译

学术文献翻译模型,支持多种主流文档格式。

立即体验