The Key Laboratory of Gene Engineering of Education Ministry, Zhongshan University, Guangzhou, The People's Republic of China.
PLoS One. 2012;7(12):e51849. doi: 10.1371/journal.pone.0051849. Epub 2012 Dec 17.
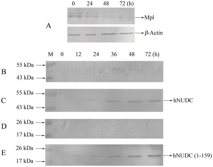
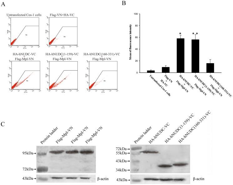
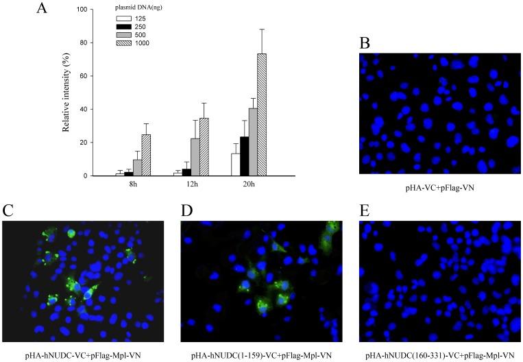
We previously demonstrated that endogenous hNUDC and Mpl co-localized in the perinuclear and cytoplasmic regions of megakaryocyte cells by indirect immunofluorescence. We further reported that hNUDC accumulated in the Golgi when NIH 3T3 cells were transfected with an hNUDC expression vector alone. However, co-transfection with hNUDC and Mpl expression vectors caused both proteins to co-localize predominantly in the cytosol. These observations led us to hypothesize that a complex containing hNUDC and Mpl may alter hNUDC subcellular location and induce its secretion. In the present study, we test this hypothesis by employing bimolecular fluorescence complementation (BiFC) to detect and visualize the complex formation of hNUDC/Mpl in living cells. We further examined in detail the subcellular locations of the hNUDC/Mpl complex by co-transfection of BiFC chimeras with known subcellular markers. The distribution of hNUDC/Mpl in the endoplasmic reticulum (ER), Golgi and cell surface was determined. Furthermore, the N-terminal 159 amino acids of hNUDC, but not C-terminal half, bound to Mpl in vivo and exhibited a similar localization pattern to that of full-length hNUDC in Cos-1 cells. Adenovirus-mediated overexpression of hNUDC or its N-terminal 159 residues in a human megakaryocyte cell line (Dami) resulted in increased levels of hNUDC or hNUDC(1-159) secretion. In contrast, depletion of Mpl by transfecting Dami cells with adenovirus bearing Mpl-targeting siRNA significantly blocked hNUDC secretion. Thus, we provide the first evidence that the N-terminal region of hNUDC contains all of the necessary information to complex with Mpl and traffic through the secretory pathway.
我们之前通过间接免疫荧光证实内源性 hNUDC 和 Mpl 在巨核细胞的核周和细胞质区域共定位。我们进一步报道,当 NIH 3T3 细胞单独转染 hNUDC 表达载体时,hNUDC 在高尔基体中积累。然而,当共转染 hNUDC 和 Mpl 表达载体时,这两种蛋白主要共定位于细胞质中。这些观察结果使我们假设包含 hNUDC 和 Mpl 的复合物可能改变 hNUDC 的亚细胞定位并诱导其分泌。在本研究中,我们通过双分子荧光互补(BiFC)检测和可视化活细胞中 hNUDC/Mpl 复合物的形成来检验这一假说。我们进一步通过共转染已知亚细胞标记的 BiFC 嵌合体详细研究了 hNUDC/Mpl 复合物的亚细胞定位。确定了 hNUDC/Mpl 在内质网(ER)、高尔基体和细胞表面的分布。此外,hNUDC 的 N 端 159 个氨基酸而非 C 端半段在体内与 Mpl 结合,并在 Cos-1 细胞中表现出与全长 hNUDC 相似的定位模式。在人类巨核细胞系(Dami)中,通过腺病毒介导过表达 hNUDC 或其 N 端 159 个残基导致 hNUDC 或 hNUDC(1-159)的分泌水平增加。相反,通过用携带 Mpl 靶向 siRNA 的腺病毒转染 Dami 细胞耗尽 Mpl 显著阻断 hNUDC 的分泌。因此,我们首次提供证据表明 hNUDC 的 N 端区域包含与 Mpl 形成复合物并通过分泌途径运输所需的全部信息。