Suppr超能文献

Doege-Potter综合征在一名患有恶性胸膜外孤立性纤维瘤的患者中表现为低胰岛素血症性低血糖:病例报告

Doege-Potter syndrome presenting with hypoinsulinemic hypoglycemia in a patient with a malignant extrapleural solitary fibrous tumor: a case report.

作者信息

Schutt Robert C, Gordon Trish A, Bhabhra Ruchi, Cathro Helen P, Cook Stephen L, McCartney Christopher R, Weiss Geoffrey R

机构信息

Department of Internal Medicine, University of Virginia, PO Box 800696, Charlottesville, VA, 22908, USA.

出版信息

J Med Case Rep. 2013 Jan 9;7:11. doi: 10.1186/1752-1947-7-11.

Abstract

INTRODUCTION

Doege-Potter syndrome is a paraneoplastic syndrome characterized by non-islet cell tumor hypoglycemia secondary to a solitary fibrous tumor. This tumor causes hypoglycemia by the secretion of a prohormone form of insulin-like growth factor II. We describe the diagnosis and management of Doege-Potter syndrome and the use of transarterial chemoembolization in a patient with a malignant extrapleural solitary fibrous tumor.

CASE PRESENTATION

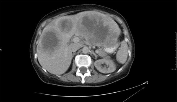
Our patient was a 64-year-old Caucasian woman who initially presented with urinary incontinence and was found to have a 14.5×9.0×9.0cm retroperitoneal solitary fibrous tumor compressing her bladder. Her tumor was surgically resected but recurred with multiple hepatic metastatic lesions. The hepatic metastases progressed despite systemic chemotherapy and treatment with doxorubicin transarterial chemoembolization. Her course was complicated by the development of recurrent fasting hypoglycemia, most likely secondary to Doege-Potter syndrome. Her hypoglycemia was managed with corticosteroid therapy and frequent scheduled nutrient intake overnight.

CONCLUSIONS

The rarity of hepatic solitary fibrous tumors and consequent lack of controlled trials make this report significant in that it describes the diagnostic approach to Doege-Potter syndrome, describes our experience with the use of doxorubicin transarterial chemoembolization, and presents management options for tumor-associated hypoglycemia in the case of extensive disease not amenable to surgical resection.

摘要

引言

多伊格 - 波特综合征是一种副肿瘤综合征,其特征为继发于孤立性纤维瘤的非胰岛细胞瘤性低血糖症。该肿瘤通过分泌胰岛素样生长因子II的前激素形式导致低血糖。我们描述了多伊格 - 波特综合征的诊断和管理,以及经动脉化疗栓塞术在一名患有恶性胸膜外孤立性纤维瘤患者中的应用。

病例介绍

我们的患者是一名64岁的白种女性,最初表现为尿失禁,经检查发现有一个14.5×9.0×9.0厘米的腹膜后孤立性纤维瘤压迫她的膀胱。她的肿瘤接受了手术切除,但出现了多处肝转移灶复发。尽管进行了全身化疗和阿霉素经动脉化疗栓塞治疗,肝转移仍有进展。她的病程因反复出现空腹低血糖而变得复杂,最有可能继发于多伊格 - 波特综合征。她的低血糖通过皮质类固醇治疗和夜间频繁定时摄入营养物质进行管理。

结论

肝孤立性纤维瘤罕见,因此缺乏对照试验,本报告具有重要意义,因为它描述了多伊格 - 波特综合征的诊断方法,介绍了我们使用阿霉素经动脉化疗栓塞术的经验,并提出了对于无法进行手术切除的广泛性疾病中肿瘤相关性低血糖的管理选择。

https://cdn.ncbi.nlm.nih.gov/pmc/blobs/4576/3546898/1483a3db5864/1752-1947-7-11-1.jpg

文献AI研究员

20分钟写一篇综述,助力文献阅读效率提升50倍。

立即体验

用中文搜PubMed

大模型驱动的PubMed中文搜索引擎

马上搜索

文档翻译

学术文献翻译模型,支持多种主流文档格式。

立即体验