Suppr超能文献

Musashi-1 在后转录水平增强再生胃黏膜中含磷酸酪氨酸结合域的 m-Numb 蛋白表达。

Musashi-1 post-transcriptionally enhances phosphotyrosine-binding domain-containing m-Numb protein expression in regenerating gastric mucosa.

机构信息

Division of Gastroenterology and Hepatology, Department of Internal Medicine, School of Medicine, Keio University, Tokyo, Japan.

出版信息

PLoS One. 2013;8(1):e53540. doi: 10.1371/journal.pone.0053540. Epub 2013 Jan 4.

Abstract

OBJECTIVE

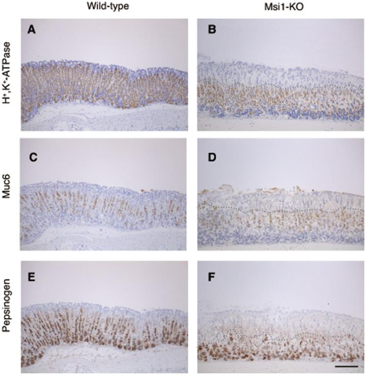
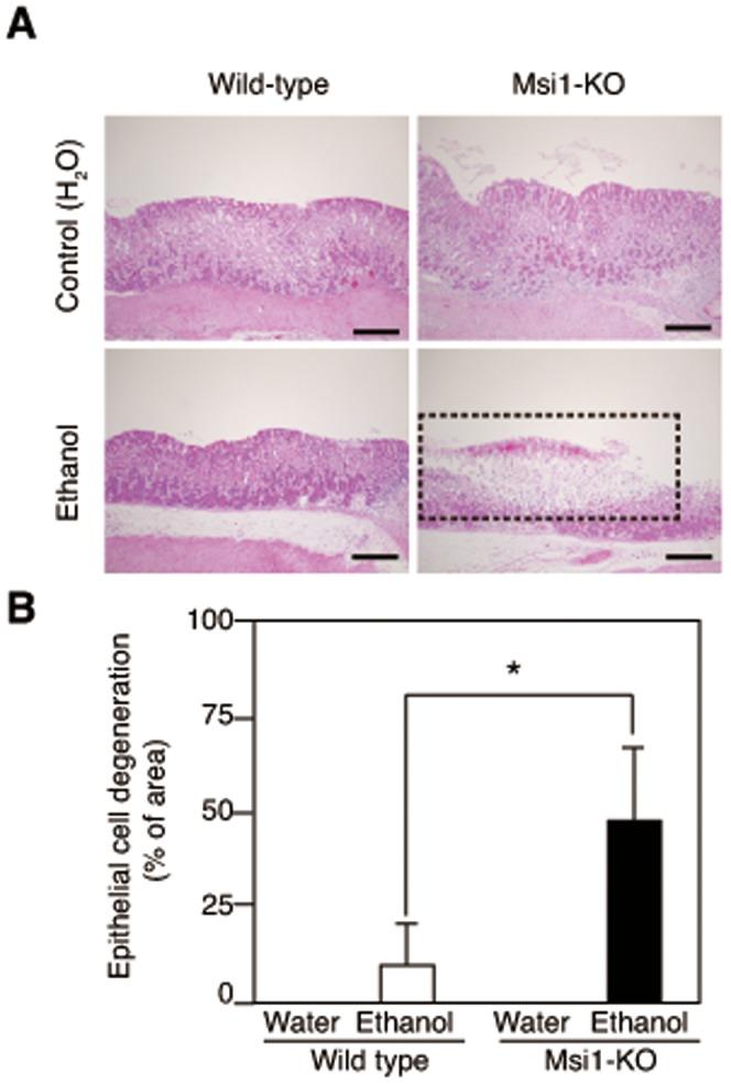
Upregulation of the RNA-binding protein Musashi-1 (Msi1) has been shown to occur in rat gastric corpus mucosa after ethanol-induced mucosal injury. However, there is no direct evidence linking Msi1 with gastric regeneration. We examined the process of tissue repair after acute gastric mucosal injury with Msi1-knock-out (KO) mice to clarify the role of Msi1 and Msi1-dependent regulation of m-Numb expression in regenerating gastric mucosa.

METHODS

Acute gastric injury was induced in Msi1-KO and wild-type ICR mice by administering absolute ethanol. Expression of the splicing variants of m-Numb mRNA and protein in the gastric mucosa were analyzed by quantitative RT-PCR and western blotting, respectively.

RESULTS

We demonstrated that phosphotyrosine-binding domain-containing m-Numb expression was significantly upregulated at both the mRNA and protein levels in wild-type mice at 3 h after ethanol-induced acute gastric injury. In contrast, in Msi1-KO mice, the m-Numb protein was expressed weakly, and was associated with delayed regeneration of the injured gastric mucosal epithelium. In the Msi1-KO mouse, the ratio of m-Numb mRNA to total m-Numb mRNA in the heavy polysome fractions was lower than that in the wild-type mouse. Further, we showed that m-Numb-enhancement in gastric mucous cells induced the expression of prostate stem cell antigen and metallothionein-2. Under the m-Numb enhancing condition, the gastric cells exhibited enhanced cell proliferation and were significantly more resistant to H(2)O(2)-induced cell death than control cells.

CONCLUSIONS

Msi1-dependent post-transcriptional enhancement of m-Numb is crucial in gastric epithelial regeneration.

摘要

目的

研究表明,乙醇诱导的胃黏膜损伤后,大鼠胃体黏膜中 RNA 结合蛋白 Musashi-1(Msi1)的表达上调。然而,目前尚无直接证据表明 Msi1 与胃再生有关。我们用 Msi1 敲除(KO)小鼠检测急性胃黏膜损伤后的组织修复过程,以阐明 Msi1 的作用以及 Msi1 对再生胃黏膜中 m-Numb 表达的依赖性调节作用。

方法

通过给予绝对乙醇诱导 Msi1-KO 和野生型 ICR 小鼠急性胃损伤。通过定量 RT-PCR 和 Western blot 分别分析胃黏膜中 m-Numb mRNA 和蛋白的剪接变体表达。

结果

我们证明了在乙醇诱导的急性胃损伤后 3 小时,野生型小鼠胃黏膜中磷酸酪氨酸结合域 m-Numb 的表达在 mRNA 和蛋白水平上均显著上调。相比之下,在 Msi1-KO 小鼠中,m-Numb 蛋白表达较弱,与损伤胃黏膜上皮的延迟再生有关。在 Msi1-KO 小鼠中,重多核糖体组分中 m-Numb mRNA 与总 m-Numb mRNA 的比例低于野生型小鼠。此外,我们表明 m-Numb 在胃黏膜细胞中的增强诱导了前列腺干细胞抗原和金属硫蛋白-2 的表达。在 m-Numb 增强的条件下,胃细胞表现出增强的细胞增殖,并且对 H₂O₂诱导的细胞死亡的抵抗力明显高于对照细胞。

结论

Msi1 依赖性 m-Numb 的转录后增强在胃上皮细胞再生中至关重要。

https://cdn.ncbi.nlm.nih.gov/pmc/blobs/27fa/3537613/bd186b44d9de/pone.0053540.g001.jpg

文献检索

告别复杂PubMed语法,用中文像聊天一样搜索,搜遍4000万医学文献。AI智能推荐,让科研检索更轻松。

立即免费搜索

文件翻译

保留排版,准确专业,支持PDF/Word/PPT等文件格式,支持 12+语言互译。

免费翻译文档

深度研究

AI帮你快速写综述,25分钟生成高质量综述,智能提取关键信息,辅助科研写作。

立即免费体验