Suppr超能文献

钙甲藻(旋沟藻目,甲藻纲)的超微结构,重点是液泡内的结晶状颗粒。

Ultrastructure of calcareous dinophytes (Thoracosphaeraceae, Peridiniales) with a focus on vacuolar crystal-like particles.

机构信息

Department Biologie, Systematische Botanik und Mykologie, Ludwig-Maximilians-Universität München, München, Germany.

出版信息

PLoS One. 2013;8(1):e54038. doi: 10.1371/journal.pone.0054038. Epub 2013 Jan 8.

Abstract

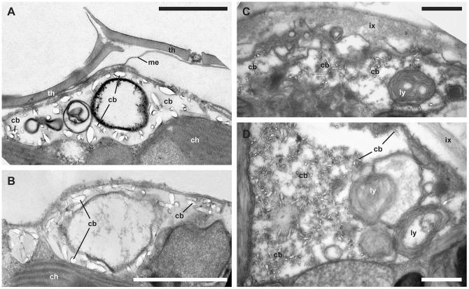
Biomineralization in calcareous dinophytes (Thoracosphaeracaea, Peridiniales) takes place in coccoid cells and is presently poorly understood. Vacuolar crystal-like particles as well as collection sites within the prospective calcareous shell may play a crucial role during this process at the ultrastructural level. Using transmission electron microscopy, we investigated the ultrastructure of coccoid cells at an early developmental stage in fourteen calcareous dinophyte strains (corresponding to at least ten species of Calciodinellum, Calcigonellum, Leonella, Pernambugia, Scrippsiella, and Thoracosphaera). The shell of the coccoid cells consisted either of one (Leonella, Thoracosphaera) or two matrices (Scrippsiella and its relatives) of unknown element composition, whereas calcite is deposited in the only or the outer layer, respectively. We observed crystal-like particles in cytoplasmic vacuoles in cells of nine of the strains investigated and assume that they are widespread among calcareous dinophytes. However, similar structures are also found outside the Thoracosphaeraceae, and we postulate an evolutionarily old physiological pathway (possibly involved in detoxification) that later was specialized for calcification. We aim to contribute to a deeper knowledge of the biomineralization process in calcareous dinophytes.

摘要

钙质甲藻(旋沟藻目,甲藻纲)中的生物矿化作用发生在球形细胞中,目前对此知之甚少。液泡中的结晶状颗粒以及潜在的钙质壳内的收集点可能在超微结构水平上在此过程中发挥关键作用。使用透射电子显微镜,我们研究了 14 株钙质甲藻菌株(至少对应 10 种 Calcidi-nellum、Calcigonellum、Leonella、Pernambugia、Scrippsiella 和 Thoracosphaera)早期发育阶段球形细胞的超微结构。球形细胞的壳由未知元素组成的一层(Leonella、Thoracosphaera)或两层基质(Scrippsiella 及其相关种)组成,而方解石分别沉积在唯一层或外层。我们观察到在 9 株被研究的菌株的细胞质液泡中存在结晶状颗粒,我们假设它们在钙质甲藻中广泛存在。然而,类似的结构也存在于旋沟藻科之外,我们推测这是一种古老的进化生理途径(可能参与解毒),后来专门用于钙化。我们旨在为钙质甲藻生物矿化过程提供更深入的了解。

https://cdn.ncbi.nlm.nih.gov/pmc/blobs/cb90/3540067/502fc823cde0/pone.0054038.g001.jpg

相似文献

4
TIMING DEEP DIVERGENCE EVENTS IN CALCAREOUS DINOFLAGELLATES(1).
J Phycol. 2008 Apr;44(2):429-38. doi: 10.1111/j.1529-8817.2008.00479.x.
5
Biomineralization pathways in calcifying dinoflagellates: Uptake, storage in MgCaP-rich bodies and formation of the shell.
Acta Biomater. 2020 Jan 15;102:427-439. doi: 10.1016/j.actbio.2019.11.042. Epub 2019 Nov 27.
6
An Updated List of Generic Names in the Thoracosphaeraceae.
Microorganisms. 2013 Nov 1;1(1):122-136. doi: 10.3390/microorganisms1010122.
9
Phylogeny of calcareous dinoflagellates as inferred from ITS and ribosomal sequence data.
Mol Phylogenet Evol. 2005 Sep;36(3):444-55. doi: 10.1016/j.ympev.2005.03.036.
10
Dinastridium verrucosum Baumeister from Bavaria (Germany) is a Borghiellacean Dinophyte (†Suessiales).
Protist. 2020 Aug;171(4):125741. doi: 10.1016/j.protis.2020.125741. Epub 2020 Jun 3.

引用本文的文献

本文引用的文献

2
Evolutionary origins of animal skeletal biomineralization.
Cells Tissues Organs. 2011;194(2-4):98-102. doi: 10.1159/000324245. Epub 2011 May 27.
3
Ultrastructure and LSU rDNA-based phylogeny of Peridinium lomnickii and description of Chimonodinium gen. nov. (Dinophyceae).
Protist. 2011 Oct;162(4):590-615. doi: 10.1016/j.protis.2011.03.003. Epub 2011 May 28.
4
Ultrastructure and large subunit rDNA-based phylogeny of Sphaerodinium cracoviense, an unusual freshwater dinoflagellate with a novel type of eyespot.
J Eukaryot Microbiol. 2010 Nov-Dec;57(6):568-85. doi: 10.1111/j.1550-7408.2010.00512.x. Epub 2010 Oct 12.
5
Pelagodinium gen. nov. and P. béii comb. nov., a dinoflagellate symbiont of planktonic foraminifera.
Protist. 2010 Jul;161(3):385-99. doi: 10.1016/j.protis.2010.01.002. Epub 2010 Feb 11.
6
Foraminifera promote calcification by elevating their intracellular pH.
Proc Natl Acad Sci U S A. 2009 Sep 8;106(36):15374-8. doi: 10.1073/pnas.0904306106. Epub 2009 Aug 25.
7
Biomineralization by photosynthetic organisms: evidence of coevolution of the organisms and their environment?
Geobiology. 2009 Mar;7(2):140-54. doi: 10.1111/j.1472-4669.2008.00181.x. Epub 2009 Dec 18.
8
Phylogeny of calcareous dinoflagellates as inferred from ITS and ribosomal sequence data.
Mol Phylogenet Evol. 2005 Sep;36(3):444-55. doi: 10.1016/j.ympev.2005.03.036.
9
The use of lead citrate at high pH as an electron-opaque stain in electron microscopy.
J Cell Biol. 1963 Apr;17(1):208-12. doi: 10.1083/jcb.17.1.208.
10
Reflective properties of different eyespot types in dinoflagellates.
Protist. 1999 Oct;150(3):311-23. doi: 10.1016/S1434-4610(99)70032-5.

文献AI研究员

20分钟写一篇综述,助力文献阅读效率提升50倍。

立即体验

用中文搜PubMed

大模型驱动的PubMed中文搜索引擎

马上搜索

文档翻译

学术文献翻译模型,支持多种主流文档格式。

立即体验