Suppr超能文献

床旁超声在心脏停搏伴无脉电活动患者中检测急性肺栓塞:一例报告

Detection of Acute Pulmonary Embolism by Bedside Ultrasound in a Patient Presenting in PEA Arrest: A Case Report.

作者信息

Chung-Esaki Hangyul, Knight Roneesha, Noble Jeanne, Wang Ralph, Coralic Zlatan

机构信息

Department of Emergency Medicine, University of California San Francisco, Room M24, 505 Parnassus Avenue, San Francisco, CA 94143, USA.

出版信息

Case Rep Emerg Med. 2012;2012:794019. doi: 10.1155/2012/794019. Epub 2012 May 31.

Abstract

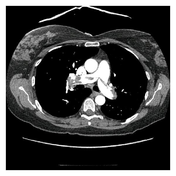
Optimal management of the critically ill patient in shock requires rapid identification of its etiology. We describe a successful application of an emergency physician performed bedside ultrasound in a patient presenting with shock and subsequent cardiac arrest. Pulmonary embolus was diagnosed using bedside echocardiogram and confirmed with CTA of the thorax. Further validation and real-time implementation of this low-cost modality could facilitate the decision to implement thrombolytics for unstable patients with massive pulmonary embolism who cannot undergo formal radiographic evaluation.

摘要

对休克危重症患者进行最佳管理需要快速确定其病因。我们描述了一名急诊医生在一名出现休克并随后发生心脏骤停的患者中成功应用床旁超声的案例。通过床旁超声心动图诊断为肺栓塞,并经胸部CTA证实。这种低成本模式的进一步验证和实时应用,可为无法接受正式影像学评估的大面积肺栓塞不稳定患者实施溶栓治疗的决策提供便利。

https://cdn.ncbi.nlm.nih.gov/pmc/blobs/68a4/3542936/c994045d5c8e/CRIM.EM2012-794019.001.jpg

文献检索

告别复杂PubMed语法,用中文像聊天一样搜索,搜遍4000万医学文献。AI智能推荐,让科研检索更轻松。

立即免费搜索

文件翻译

保留排版,准确专业,支持PDF/Word/PPT等文件格式,支持 12+语言互译。

免费翻译文档

深度研究

AI帮你快速写综述,25分钟生成高质量综述,智能提取关键信息,辅助科研写作。

立即免费体验