Suppr超能文献

食管穿孔:无症状食管炎患者经食管超声心动图检查的罕见并发症。

Esophageal perforation: a rare complication of transesophageal echocardiography in a patient with asymptomatic esophagitis.

作者信息

Ahmed Kabir, Lal Yasir, Condron Steven

机构信息

Division of Internal Medicine, Sanford School of Medicine, University of South Dakota, S. Dak., USA.

出版信息

Case Rep Gastroenterol. 2012 Sep;6(3):760-4. doi: 10.1159/000346311. Epub 2012 Dec 20.

Abstract

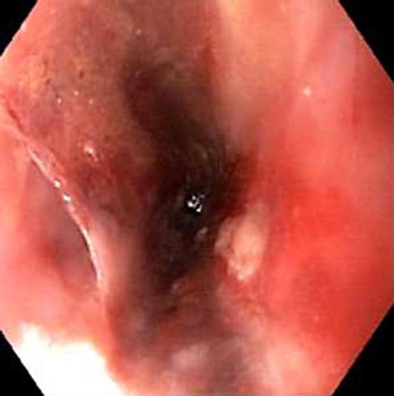
Transesophageal echocardiography (TEE) is a commonly used procedure in patients with suspected endocarditis. A rare but dreadful complication of this procedure is perforation of the esophagus. We report the case of an elderly female with multiple comorbidities, who presented with polyarticular septic arthritis. TEE was performed to rule out endocarditis. Though the standard procedure protocol was followed, she developed esophageal perforation. It was managed with esophageal stenting but she developed multiorgan failure and did not survive. This case highlights the potential of severe morbidity and mortality associated with TEE. Appropriate screening must be done and high-risk individuals must be identified before such procedures are attempted.

摘要

经食管超声心动图(TEE)是疑似心内膜炎患者常用的检查方法。该检查罕见但严重的并发症是食管穿孔。我们报告了一例患有多种合并症的老年女性病例,她因多关节感染性关节炎就诊。进行TEE以排除心内膜炎。尽管遵循了标准的操作流程,但她仍发生了食管穿孔。采用食管支架置入术进行治疗,但她出现了多器官功能衰竭,最终未能存活。该病例凸显了TEE相关的严重发病和死亡风险。在尝试此类检查之前,必须进行适当的筛查并识别高危个体。

https://cdn.ncbi.nlm.nih.gov/pmc/blobs/9ef4/3551419/8c7c400128fc/crg-0006-0760-g01.jpg

文献AI研究员

20分钟写一篇综述,助力文献阅读效率提升50倍。

立即体验

用中文搜PubMed

大模型驱动的PubMed中文搜索引擎

马上搜索

文档翻译

学术文献翻译模型,支持多种主流文档格式。

立即体验