Suppr超能文献

原发性系统性淀粉样变性的皮肤表现。

Skin involvement in primary systemic amyloidosis.

机构信息

Department of Internal Medicine, Postgraduate Institute of Medical Education and Research, Chandigarh, India.

出版信息

Mediterr J Hematol Infect Dis. 2013;5(1):e2013005. doi: 10.4084/MJHID.2013.005. Epub 2013 Jan 2.

Abstract

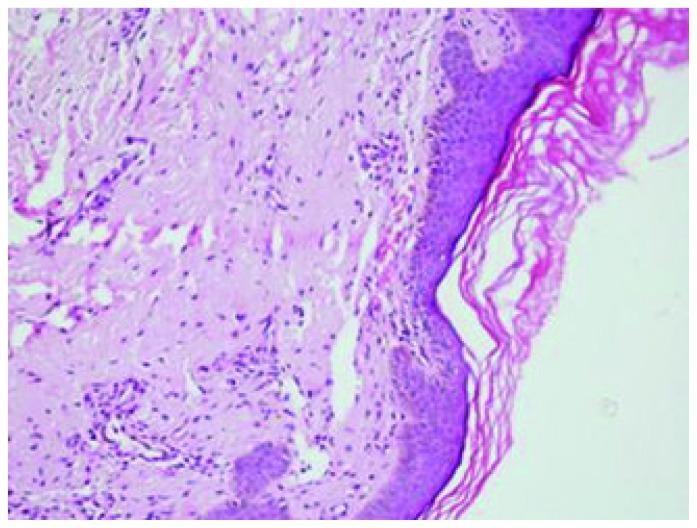
Primary systemic amyloidosis is a rare disease. It primarily involves kidney, heart, peripheral nerves and liver. Intracutaneous hemorrhage manifesting in the form of petechiae, purpura and ecchymoses due to infiltration of blood vessel walls by amyloid deposits are the most common skin lesions. We report a case of primary systemic amyloidosis with multiple, non-itchy, papular lesions in lower eyelids and lower chest wall bilaterally. Diagnosis was confirmed in this case by biopsy of skin lesions using congo red staining. Papular eruptions as seen in index patient are relatively uncommon form of skin manifestations.

摘要

原发性系统性淀粉样变是一种罕见的疾病。它主要累及肾脏、心脏、周围神经和肝脏。由于血管壁被淀粉样沉积物浸润,导致皮肤出现瘀点、瘀斑和血肿,这是最常见的皮肤病变。我们报告了一例原发性系统性淀粉样变患者,其双侧下眼睑和下胸部壁有多个、非瘙痒性、丘疹样病变。通过刚果红染色对皮肤病变进行活检,在本例中确诊了诊断。丘疹性发疹在该患者中所见的形式相对较为罕见的皮肤表现形式。

https://cdn.ncbi.nlm.nih.gov/pmc/blobs/5acb/3552729/68e8e4811b06/mjhid-5-1-e2013005f1.jpg

相似文献

1
Skin involvement in primary systemic amyloidosis.
Mediterr J Hematol Infect Dis. 2013;5(1):e2013005. doi: 10.4084/MJHID.2013.005. Epub 2013 Jan 2.
2
Primary systemic amyloidosis associated with multiple myeloma.
An Bras Dermatol. 2012 Jan-Feb;87(1):119-22. doi: 10.1590/s0365-05962012000100015.
3
[Primary systemic amyloidosis].
Vojnosanit Pregl. 2007 Dec;64(12):859-62. doi: 10.2298/vsp0712859t.
5
Bilateral periorbital ecchymoses. An often missed sign of amyloid purpura.
Hamostaseologie. 2014;34(3):249-52. doi: 10.5482/HAMO-14-03-0018. Epub 2014 Jun 30.
6
Systemic amyloidosis presenting as mucocutaneous bullous lesions.
Hematol Oncol Stem Cell Ther. 2009;2(3):418-21. doi: 10.1016/s1658-3876(09)50011-8.
7
Morphologic differences in the pattern of liver infiltration between systemic AL and AA amyloidosis.
Hum Pathol. 1988 Jun;19(6):732-5. doi: 10.1016/s0046-8177(88)80181-3.
8
Lichen amyloidosis in an unusual location.
Singapore Med J. 2007 Jun;48(6):e165-7.
9
Establishing the fluorescent amyloid ligand h-FTAA for studying human tissues with systemic and localized amyloid.
Amyloid. 2016 Jun;23(2):98-108. doi: 10.3109/13506129.2016.1158159. Epub 2016 Mar 17.
10
Idiopathic systemic amyloidosis primarily affecting the lungs with fatal pulmonary haemorrhage due to vascular involvement.
Pathol Oncol Res. 2009 Mar;15(1):133-6. doi: 10.1007/s12253-008-9066-4. Epub 2008 Jun 14.

引用本文的文献

2
Cutaneous manifestations of acute kidney injury.
Clin Kidney J. 2021 Dec 9;15(5):855-864. doi: 10.1093/ckj/sfab255. eCollection 2022 May.
3
When an uncommon condyloma revealed a multiple myeloma: Case report.
Ann Med Surg (Lond). 2021 Sep 25;70:102892. doi: 10.1016/j.amsu.2021.102892. eCollection 2021 Oct.
4
Mixed and Biofilms in Morgellons Disease Dermatological Specimens.
Healthcare (Basel). 2019 May 17;7(2):70. doi: 10.3390/healthcare7020070.
5
Case report: One case of primary AL amyloidosis repeatedly misdiagnosed as scleroderma.
Medicine (Baltimore). 2017 Dec;96(50):e8771. doi: 10.1097/MD.0000000000008771.
6
Periocular dermatoses.
Int J Womens Dermatol. 2017 Sep 18;3(4):206-218. doi: 10.1016/j.ijwd.2017.08.001. eCollection 2017 Dec.
7
Case for diagnosis. Systemic light chain amyloidosis with cutaneous involvement.
An Bras Dermatol. 2017 Sep-Oct;92(5):731-732. doi: 10.1590/abd1806-4841.20176958.
9
Amyloidosis: A story of how inframammary erosions eclipsed inconspicuous periorbital ecchymoses.
Int J Womens Dermatol. 2016 Mar 2;2(1):18-22. doi: 10.1016/j.ijwd.2015.11.001. eCollection 2016 Mar.
10
Primary Systemic Amyloidosis with Unusual Dermatological Manifestations: A Rare Case Report.
Indian J Dermatol. 2016 Mar-Apr;61(2):216-8. doi: 10.4103/0019-5154.177767.

本文引用的文献

1
Bilateral Pleural Effusions due to Pulmonary Amyloidosis as the Presenting Manifestation of Multiple Myeloma.
Mediterr J Hematol Infect Dis. 2012;4(1):e2012010. doi: 10.4084/MJHID.2012.010. Epub 2012 Jan 25.
2
Cutaneous amyloidosis: a concept review.
Am J Dermatopathol. 2012 Feb;34(1):1-14; quiz 15-7. doi: 10.1097/DAD.0b013e31823465c7.
3
Cutaneous amyloidoses and systemic amyloidoses with cutaneous involvement.
Eur J Dermatol. 2010 Mar-Apr;20(2):152-60. doi: 10.1684/ejd.2010.0842. Epub 2010 Jan 14.
4
Nail dystrophy in primary systemic amyloidosis.
J Eur Acad Dermatol Venereol. 2008 Jan;22(1):107-9. doi: 10.1111/j.1468-3083.2007.02269.x.
7
Subcutaneous fat tissue for diagnosis and studies of systemic amyloidosis.
Acta Histochem. 2006;108(3):209-13. doi: 10.1016/j.acthis.2006.03.011. Epub 2006 May 22.
10
The systemic amyloidoses.
N Engl J Med. 1997 Sep 25;337(13):898-909. doi: 10.1056/NEJM199709253371306.

文献AI研究员

20分钟写一篇综述,助力文献阅读效率提升50倍。

立即体验

用中文搜PubMed

大模型驱动的PubMed中文搜索引擎

马上搜索

文档翻译

学术文献翻译模型,支持多种主流文档格式。

立即体验