• 文献检索
  • 文档翻译
  • 深度研究
  • 学术资讯
  • Suppr Zotero 插件Zotero 插件
  • 邀请有礼
  • 套餐&价格
  • 历史记录
应用&插件
Suppr Zotero 插件Zotero 插件浏览器插件Mac 客户端Windows 客户端微信小程序
定价
高级版会员购买积分包购买API积分包
服务
文献检索文档翻译深度研究API 文档MCP 服务
关于我们
关于 Suppr公司介绍联系我们用户协议隐私条款
关注我们

Suppr 超能文献

核心技术专利:CN118964589B侵权必究
粤ICP备2023148730 号-1Suppr @ 2026

文献检索

告别复杂PubMed语法,用中文像聊天一样搜索,搜遍4000万医学文献。AI智能推荐,让科研检索更轻松。

立即免费搜索

文件翻译

保留排版,准确专业,支持PDF/Word/PPT等文件格式,支持 12+语言互译。

免费翻译文档

深度研究

AI帮你快速写综述,25分钟生成高质量综述,智能提取关键信息,辅助科研写作。

立即免费体验

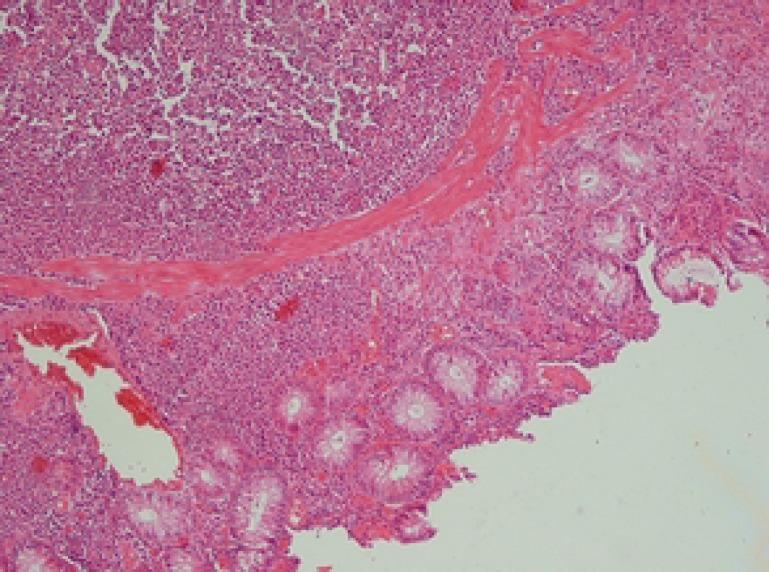
患有施姆克免疫性骨发育不良的儿童的非霍奇金淋巴瘤。

Non-hodgkin lymphoma in a child with schimke immuno-osseous dysplasia.

作者信息

Basiratnia Mitra, Baradaran-Heravi Alireza, Yavarian Majid, Geramizadeh Bita, Karimi Mehran

机构信息

Shiraz Nephrology-Urology Research Center, Shiraz University of Medical Sciences, Shiraz, Iran.

出版信息

Iran J Med Sci. 2011 Sep;36(3):222-5.

PMID:23359635
原文链接:https://pmc.ncbi.nlm.nih.gov/articles/PMC3556764/
Abstract

Schimke immuno-osseous dysplasia is a rare autosomal recessive multisystem disorder characterized by steroid-resistant nephrotic syndrome, immunodeficiency, and spondyloepiphyseal dysplasia. Mutations in SWI/SNF2 related, matrix associated, actin dependent regulator of chromatin, subfamily a-like 1 (SMARCAL1) gene are responsible for the disease. The present report describes, for the first time, a Schimke immuno-osseous dysplasia child with SMARCAL1 missense mutation (R561H) and manifestations of intussusception secondary to Epstein-Barr virus-negative non-Hodgkin lymphoma, who expired due to septicemia following chemotherapy. The report emphasizes the necessity of more limited immunosuppressive protocols in Schimke immuno-osseous dysplasia patients with lymphoproliferative disorders.

摘要

施姆克免疫性骨发育不良是一种罕见的常染色体隐性多系统疾病,其特征为类固醇抵抗性肾病综合征、免疫缺陷和脊椎骨骺发育不良。SWI/SNF2相关、基质相关、肌动蛋白依赖性染色质调节因子a样1(SMARCAL1)基因突变是导致该疾病的原因。本报告首次描述了一名患有SMARCAL1错义突变(R561H)的施姆克免疫性骨发育不良儿童,该儿童继发于爱泼斯坦-巴尔病毒阴性非霍奇金淋巴瘤的肠套叠,在化疗后因败血症死亡。该报告强调了对患有淋巴增殖性疾病的施姆克免疫性骨发育不良患者采用更有限的免疫抑制方案的必要性。

https://cdn.ncbi.nlm.nih.gov/pmc/blobs/5192/3556764/be41d410f31f/IJMS-36-222-g004.jpg
https://cdn.ncbi.nlm.nih.gov/pmc/blobs/5192/3556764/e9ae85e9ec33/IJMS-36-222-g001.jpg
https://cdn.ncbi.nlm.nih.gov/pmc/blobs/5192/3556764/4c19eeee315f/IJMS-36-222-g002.jpg
https://cdn.ncbi.nlm.nih.gov/pmc/blobs/5192/3556764/c4063579627d/IJMS-36-222-g003.jpg
https://cdn.ncbi.nlm.nih.gov/pmc/blobs/5192/3556764/be41d410f31f/IJMS-36-222-g004.jpg
https://cdn.ncbi.nlm.nih.gov/pmc/blobs/5192/3556764/e9ae85e9ec33/IJMS-36-222-g001.jpg
https://cdn.ncbi.nlm.nih.gov/pmc/blobs/5192/3556764/4c19eeee315f/IJMS-36-222-g002.jpg
https://cdn.ncbi.nlm.nih.gov/pmc/blobs/5192/3556764/c4063579627d/IJMS-36-222-g003.jpg
https://cdn.ncbi.nlm.nih.gov/pmc/blobs/5192/3556764/be41d410f31f/IJMS-36-222-g004.jpg

相似文献

1
Non-hodgkin lymphoma in a child with schimke immuno-osseous dysplasia.患有施姆克免疫性骨发育不良的儿童的非霍奇金淋巴瘤。
Iran J Med Sci. 2011 Sep;36(3):222-5.
2
Fatal lymphoproliferative disorder in a child with Schimke immuno-osseous dysplasia.
Am J Med Genet A. 2004 Dec 1;131(2):194-9. doi: 10.1002/ajmg.a.30356.
3
Importance of neurologic and cutaneous signs in the diagnosis of Schimke immuno-osseous dysplasia.神经和皮肤体征在施姆克免疫性骨发育不良诊断中的重要性。
Turk J Pediatr. 2015 Sep-Oct;57(5):509-13.
4
Schimke Immunoosseous Dysplasia associated with undifferentiated carcinoma and a novel SMARCAL1 mutation in a child.希姆克免疫骨发育不良伴未分化癌及儿童新型 SMARCAL1 突变
Pediatr Blood Cancer. 2013 Sep;60(9):E88-90. doi: 10.1002/pbc.24542. Epub 2013 Apr 29.
5
Schimke versus non-Schimke chronic kidney disease: an anthropometric approach.施姆克型与非施姆克型慢性肾脏病:一种人体测量学方法
Pediatrics. 2006 Aug;118(2):e400-7. doi: 10.1542/peds.2005-2614. Epub 2006 Jun 30.
6
Mutant chromatin remodeling protein SMARCAL1 causes Schimke immuno-osseous dysplasia.突变的染色质重塑蛋白SMARCAL1导致希姆克免疫性骨发育不良。
Nat Genet. 2002 Feb;30(2):215-20. doi: 10.1038/ng821. Epub 2002 Jan 22.
7
Schimke immuno-osseous dysplasia.
Saudi Med J. 2007 Mar;28(3):457-60.
8
Schimke immunoosseous dysplasia: defining skeletal features.希姆克免疫骨发育不良:骨骼特征定义。
Eur J Pediatr. 2010 Jul;169(7):801-11. doi: 10.1007/s00431-009-1115-9. Epub 2009 Dec 15.
9
Neurologic phenotype of Schimke immuno-osseous dysplasia and neurodevelopmental expression of SMARCAL1.施姆克免疫性骨发育不良的神经学表型及SMARCAL1的神经发育表达
J Neuropathol Exp Neurol. 2008 Jun;67(6):565-77. doi: 10.1097/NEN.0b013e3181772777.
10
Insights into the renal pathogenesis in Schimke immuno-osseous dysplasia: A renal histological characterization and expression analysis.希姆克免疫性骨发育不良的肾脏发病机制研究:肾脏组织学特征及表达分析
J Histochem Cytochem. 2015 Jan;63(1):32-44. doi: 10.1369/0022155414558335. Epub 2014 Oct 15.

引用本文的文献

1
Expanding the Clinical Features of Schimke Immuno-osseous Dysplasia: a New Patient with a Novel Variant and Novel Clinical Findings.扩大施姆克免疫性骨发育不良的临床特征:一名具有新变异和新临床发现的新患者
J Clin Res Pediatr Endocrinol. 2025 May 27;17(2):126-135. doi: 10.4274/jcrpe.galenos.2024.2024-1-17. Epub 2024 Aug 8.
2
Expanding Phenotype of Schimke Immuno-Osseous Dysplasia: Congenital Anomalies of the Kidneys and of the Urinary Tract and Alteration of NK Cells.Schimke 免疫骨发育不良表型扩展:肾脏和泌尿道先天异常及 NK 细胞改变。
Int J Mol Sci. 2020 Nov 15;21(22):8604. doi: 10.3390/ijms21228604.
3

本文引用的文献

1
HARPing on about the DNA damage response during replication.反复提及复制过程中的DNA损伤反应。
Genes Dev. 2009 Oct 15;23(20):2359-65. doi: 10.1101/gad.1860609.
2
HARP is an ATP-driven annealing helicase.HARP是一种由三磷酸腺苷驱动的退火解旋酶。
Science. 2008 Oct 31;322(5902):748-50. doi: 10.1126/science.1161233.
3
Schimke immuno-osseous dysplasia: SMARCAL1 loss-of-function and phenotypic correlation.施姆克免疫性骨发育不良:SMARCAL1功能丧失与表型相关性
A Systematic Review on Predisposition to Lymphoid (B and T cell) Neoplasias in Patients With Primary Immunodeficiencies and Immune Dysregulatory Disorders (Inborn Errors of Immunity).
原发性免疫缺陷和免疫调节紊乱(先天性免疫缺陷)患者发生淋巴(B 和 T 细胞)肿瘤易感性的系统评价。
Front Immunol. 2019 Apr 16;10:777. doi: 10.3389/fimmu.2019.00777. eCollection 2019.
4
Early Onset Cerebral Infarction in Schimke Immuno-Osseous Dysplasia.施姆克免疫性骨发育不良中的早发性脑梗死
Iran J Child Neurol. 2018 Summer;12(3):126-132.
5
SMARCAL1 deficiency predisposes to non-Hodgkin lymphoma and hypersensitivity to genotoxic agents in vivo.SMARCAL1 缺陷易导致非霍奇金淋巴瘤,并使机体对体内遗传毒性药物敏感。
Am J Med Genet A. 2012 Sep;158A(9):2204-13. doi: 10.1002/ajmg.a.35532. Epub 2012 Aug 7.
J Med Genet. 2009 Jan;46(1):49-59. doi: 10.1136/jmg.2008.060095. Epub 2008 Sep 19.
4
Improved outcome with immunosuppressive monotherapy after renal transplantation in Schimke-immuno-osseous dysplasia.施密克免疫性骨发育不良患者肾移植后免疫抑制单药治疗改善预后。
Pediatr Transplant. 2009 Jun;13(4):482-9. doi: 10.1111/j.1399-3046.2008.01013.x. Epub 2008 Sep 10.
5
The non-Hodgkin lymphomas: a review of the epidemiologic literature.非霍奇金淋巴瘤:流行病学文献综述
Int J Cancer. 2007;120 Suppl 12:1-39. doi: 10.1002/ijc.22719.
6
Altered immunity as a risk factor for non-Hodgkin lymphoma.免疫改变作为非霍奇金淋巴瘤的一个危险因素。
Cancer Epidemiol Biomarkers Prev. 2007 Mar;16(3):405-8. doi: 10.1158/1055-9965.EPI-06-1070. Epub 2007 Mar 2.
7
Schimke immuno-osseous dysplasia.
Saudi Med J. 2007 Mar;28(3):457-60.
8
The epidemiology of non-Hodgkin lymphoma.非霍奇金淋巴瘤的流行病学
Pathology. 2005 Dec;37(6):409-19. doi: 10.1080/00313020500370192.
9
X-ray structures of the Sulfolobus solfataricus SWI2/SNF2 ATPase core and its complex with DNA.嗜热栖热菌SWI2/SNF2 ATP酶核心及其与DNA复合物的X射线结构。
Cell. 2005 May 6;121(3):363-73. doi: 10.1016/j.cell.2005.03.026.
10
Fatal lymphoproliferative disorder in a child with Schimke immuno-osseous dysplasia.
Am J Med Genet A. 2004 Dec 1;131(2):194-9. doi: 10.1002/ajmg.a.30356.