Suppr超能文献

伴有抗酸杆菌阳性的丘疹坏死性结核疹

Papulonecrotic Tuberculid with Positive Acid-fast Bacilli.

作者信息

Jun Ren, Xiao-Kun Liu, Chao Pan, Xin-Sheng Li, Xiao-Hui Wang, Xin Yan, Mei-Hua Chen, Kang Zeng

机构信息

Department of Dermatology, Nanfang Hospital of Southern Medical University, Guangzhou, Guangdong 510515, China ; Department of Dermatology, Zhongshan Hospital of Xiamen University, Xiamen, Fujian 361004, China.

出版信息

Indian J Dermatol. 2013 Jan;58(1):85. doi: 10.4103/0019-5154.105324.

Abstract

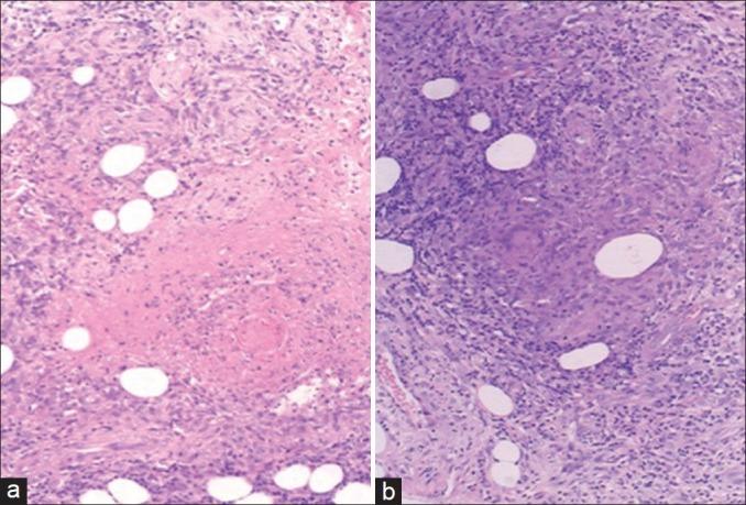
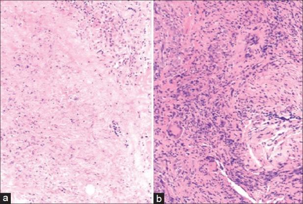
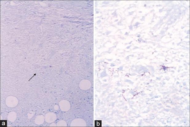
Two patients suffered from 'boils' on their arms and/or thighs for several months. A diagnosis of papulonecrotic tuberculid (PNT) was made based on clinical, laboratory parameters, histopathology, and a prompt response to multi-drug anti-tuberculosis treatment. We checked the pathological sections carefully and finally found a small amount of positive acid-fast bacilli. We analyzed the clinical and histopathological features of PNT in order to offer reference of preventing and controlling the disease.

摘要

两名患者手臂和/或大腿出现“疖子”数月。根据临床、实验室指标、组织病理学以及对多药抗结核治疗的迅速反应,诊断为丘疹坏死性结核疹(PNT)。我们仔细检查病理切片,最终发现少量抗酸杆菌阳性。我们分析了PNT的临床和组织病理学特征,以便为该病的防治提供参考。

https://cdn.ncbi.nlm.nih.gov/pmc/blobs/2b62/3555389/9bdde47d4f67/IJD-58-85b-g001.jpg

文献AI研究员

20分钟写一篇综述,助力文献阅读效率提升50倍。

立即体验

用中文搜PubMed

大模型驱动的PubMed中文搜索引擎

马上搜索

文档翻译

学术文献翻译模型,支持多种主流文档格式。

立即体验