Suppr超能文献

妊娠期双侧多灶性肾嗜酸细胞瘤

Bilateral multifocal renal oncocytoma in pregnancy.

作者信息

Wentzel Schalk W, Vermeulen Lodewikus P

机构信息

Department of Urology, Universitas Academic Hospital and Faculty of Health Sciences, University of the Free State, Bloemfontein, South Africa.

出版信息

Rare Tumors. 2012 Oct 10;4(4):e54. doi: 10.4081/rt.2012.e54. Epub 2012 Nov 2.

Abstract

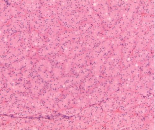
Renal oncocytomas are the most common benign solid renal tumor, accounting for 3-7% of renal neoplasms. Oncocytomas are multifocal in 2-12% and bilateral in 4-14% of cases. Multifocal bilateral oncocytomas represent only 1.4% of renal cases. We present an extraordinary case of a patient with multifocal bilateral renal oncocytomas during pregnancy. An electronic literature search revealed fewer than 30 reports of on cases of bilateral multifocal renal oncocytomas, none of them occurring in pregnancy. The management of this patient differed from the recommended guidelines for renal masses suspected to be malignant because elective caesarean section and nephrectomy in the second trimester was refused.

摘要

肾嗜酸细胞瘤是最常见的肾脏良性实性肿瘤,占肾肿瘤的3%至7%。2%至12%的病例中嗜酸细胞瘤为多灶性,4%至14%的病例为双侧性。多灶性双侧嗜酸细胞瘤仅占肾病例的1.4%。我们报告一例妊娠期多灶性双侧肾嗜酸细胞瘤的特殊病例。电子文献检索显示,双侧多灶性肾嗜酸细胞瘤病例报告少于30例,且均未发生在妊娠期。该患者的治疗与疑似恶性肾肿块的推荐指南不同,因为患者拒绝了孕中期选择性剖宫产和肾切除术。

https://cdn.ncbi.nlm.nih.gov/pmc/blobs/79f3/3557568/f9403b666d66/rt-2012-4-e54-g001.jpg

文献AI研究员

20分钟写一篇综述,助力文献阅读效率提升50倍。

立即体验

用中文搜PubMed

大模型驱动的PubMed中文搜索引擎

马上搜索

文档翻译

学术文献翻译模型,支持多种主流文档格式。

立即体验