Suppr超能文献

AF-6 是 PINK1/parkin 通路的正调节剂,在帕金森病中缺乏。

AF-6 is a positive modulator of the PINK1/parkin pathway and is deficient in Parkinson's disease.

机构信息

Department of Pharmacology, The Rappaport Faculty of Medicine and Research Institute, Technion-Israel Institute of Technology, Bat-Galim, Haifa, Israel.

出版信息

Hum Mol Genet. 2013 May 15;22(10):2083-96. doi: 10.1093/hmg/ddt058. Epub 2013 Feb 7.

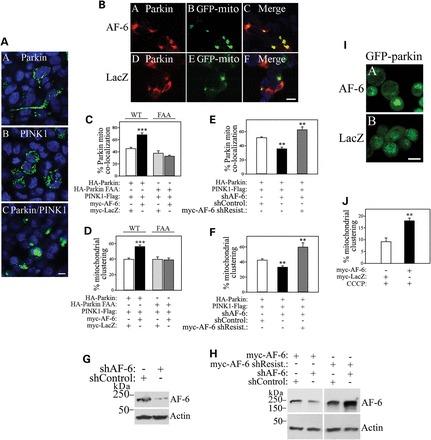
Abstract

Parkin E3 ubiquitin-ligase activity and its role in mitochondria homeostasis are thought to play a role in Parkinson's disease (PD). We now report that AF-6 is a novel parkin interacting protein that modulates parkin ubiquitin-ligase activity and mitochondrial roles. Parkin interacts with the AF-6 PDZ region through its C-terminus. This leads to ubiquitination of cytosolic AF-6 and its degradation by the proteasome. On the other hand, endogenous AF-6 robustly increases parkin translocation and ubiquitin-ligase activity at the mitochondria. Mitochondrial AF-6 is not a parkin substrate, but rather co-localizes with parkin and enhances mitochondria degradation through PINK1/parkin-mediated mitophagy. On the other hand, several parkin and PINK1 juvenile disease-mutants are insensitive to AF-6 effects. AF-6 is present in Lewy bodies and its soluble levels are strikingly decreased in the caudate/putamen and substantia nigra of sporadic PD patients, suggesting that decreased AF-6 levels may contribute to the accumulation of dysfunctional mitochondria in the disease. The identification of AF-6 as a positive modulator of parkin translocation to the mitochondria sheds light on the mechanisms involved in PD and underscores AF-6 as a novel target for future therapeutics.

摘要

Parkin 的 E3 泛素连接酶活性及其在维持线粒体平衡中的作用被认为与帕金森病(PD)有关。我们现在报告称,AF-6 是一种新的 parkin 相互作用蛋白,可调节 parkin 的泛素连接酶活性和线粒体功能。Parkin 通过其 C 端与 AF-6 PDZ 区域相互作用。这导致细胞质 AF-6 的泛素化及其被蛋白酶体降解。另一方面,内源性 AF-6 可强烈增加线粒体中 parkin 的易位和泛素连接酶活性。线粒体 AF-6 不是 parkin 的底物,而是与 parkin 共定位,并通过 PINK1/parkin 介导的线粒体自噬增强线粒体降解。另一方面,几种 parkin 和 PINK1 少年病突变体对 AF-6 的作用不敏感。AF-6 存在于路易体中,其可溶性水平在散发性 PD 患者的尾状核/壳核和黑质中明显降低,这表明 AF-6 水平的降低可能导致疾病中线粒体功能障碍的积累。将 AF-6 鉴定为 parkin 易位到线粒体的正调节剂,揭示了 PD 中涉及的机制,并强调了 AF-6 作为未来治疗的新靶标。

https://cdn.ncbi.nlm.nih.gov/pmc/blobs/4fb1/3803144/79b3bfa7292b/ddt05801.jpg

文献AI研究员

20分钟写一篇综述,助力文献阅读效率提升50倍。

立即体验

用中文搜PubMed

大模型驱动的PubMed中文搜索引擎

马上搜索

文档翻译

学术文献翻译模型,支持多种主流文档格式。

立即体验