• 文献检索
  • 文档翻译
  • 深度研究
  • 学术资讯
  • Suppr Zotero 插件Zotero 插件
  • 邀请有礼
  • 套餐&价格
  • 历史记录
应用&插件
Suppr Zotero 插件Zotero 插件浏览器插件Mac 客户端Windows 客户端微信小程序
定价
高级版会员购买积分包购买API积分包
服务
文献检索文档翻译深度研究API 文档MCP 服务
关于我们
关于 Suppr公司介绍联系我们用户协议隐私条款
关注我们

Suppr 超能文献

核心技术专利:CN118964589B侵权必究
粤ICP备2023148730 号-1Suppr @ 2026

文献检索

告别复杂PubMed语法,用中文像聊天一样搜索,搜遍4000万医学文献。AI智能推荐,让科研检索更轻松。

立即免费搜索

文件翻译

保留排版,准确专业,支持PDF/Word/PPT等文件格式,支持 12+语言互译。

免费翻译文档

深度研究

AI帮你快速写综述,25分钟生成高质量综述,智能提取关键信息,辅助科研写作。

立即免费体验

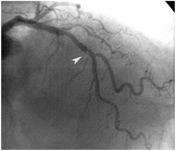
光学相干断层成像术评估经皮冠状动脉介入治疗后混浊的冠状动脉内图像的效用。

Utility of optical coherence tomography to assess a hazy intracoronary image after percutaneous coronary intervention.

机构信息

University Hospital La Paz, Interventional Cardiology Department, Madrid, Spain.

出版信息

Korean Circ J. 2013 Jan;43(1):44-7. doi: 10.4070/kcj.2013.43.1.44. Epub 2013 Jan 31.

DOI:10.4070/kcj.2013.43.1.44
PMID:23407580
原文链接:https://pmc.ncbi.nlm.nih.gov/articles/PMC3569566/
Abstract

Although its use in daily practice is not common, optical coherence tomography (OCT) is a powerful research tool in invasive cardiology. This report describes a hazy angiography image after percutaneous coronary intervention that has been assessed using OCT. Based on the results of the OCT, the patient underwent an elective coronary angioplasty with standard anticoagulation. After implantation of the stent, an intracoronary hazy image was seen on angiography. The use of OCT permitted a correct diagnosis and a successful treatment. This paper provides a discussion of the advantages and disadvantages of OCT, and a comparison with intravascular ultrasound.

摘要

虽然在日常实践中并不常用,但光学相干断层扫描(OCT)是介入心脏病学中强有力的研究工具。本报告描述了经皮冠状动脉介入治疗后使用 OCT 评估的模糊血管造影图像。根据 OCT 的结果,患者接受了标准抗凝的选择性冠状动脉血管成形术。支架植入后,血管造影显示冠状动脉内出现模糊图像。OCT 的使用可以明确诊断并成功治疗。本文讨论了 OCT 的优缺点,并与血管内超声进行了比较。

https://cdn.ncbi.nlm.nih.gov/pmc/blobs/36b4/3569566/23c3785b02e6/kcj-43-44-g004.jpg
https://cdn.ncbi.nlm.nih.gov/pmc/blobs/36b4/3569566/063cfb96a836/kcj-43-44-g001.jpg
https://cdn.ncbi.nlm.nih.gov/pmc/blobs/36b4/3569566/d7590faa39ef/kcj-43-44-g002.jpg
https://cdn.ncbi.nlm.nih.gov/pmc/blobs/36b4/3569566/0d0312a1c088/kcj-43-44-g003.jpg
https://cdn.ncbi.nlm.nih.gov/pmc/blobs/36b4/3569566/23c3785b02e6/kcj-43-44-g004.jpg
https://cdn.ncbi.nlm.nih.gov/pmc/blobs/36b4/3569566/063cfb96a836/kcj-43-44-g001.jpg
https://cdn.ncbi.nlm.nih.gov/pmc/blobs/36b4/3569566/d7590faa39ef/kcj-43-44-g002.jpg
https://cdn.ncbi.nlm.nih.gov/pmc/blobs/36b4/3569566/0d0312a1c088/kcj-43-44-g003.jpg
https://cdn.ncbi.nlm.nih.gov/pmc/blobs/36b4/3569566/23c3785b02e6/kcj-43-44-g004.jpg

相似文献

1
Utility of optical coherence tomography to assess a hazy intracoronary image after percutaneous coronary intervention.光学相干断层成像术评估经皮冠状动脉介入治疗后混浊的冠状动脉内图像的效用。
Korean Circ J. 2013 Jan;43(1):44-7. doi: 10.4070/kcj.2013.43.1.44. Epub 2013 Jan 31.
2
Comparison of Stent Expansion Guided by Optical Coherence Tomography Versus Intravascular Ultrasound: The ILUMIEN II Study (Observational Study of Optical Coherence Tomography [OCT] in Patients Undergoing Fractional Flow Reserve [FFR] and Percutaneous Coronary Intervention).光学相干断层成像指导支架扩张与血管内超声的比较:ILUMIEN II 研究(血流储备分数 [FFR] 和经皮冠状动脉介入治疗患者的光学相干断层成像 [OCT] 观察性研究)。
JACC Cardiovasc Interv. 2015 Nov;8(13):1704-14. doi: 10.1016/j.jcin.2015.07.024.
3
Co-registration of optical coherence tomography and X-ray angiography in percutaneous coronary intervention. the Does Optical Coherence Tomography Optimize Revascularization (DOCTOR) fusion study.光学相干断层扫描与X射线血管造影在经皮冠状动脉介入治疗中的联合配准。光学相干断层扫描优化血运重建(DOCTOR)融合研究。
Int J Cardiol. 2015 Mar 1;182:272-8. doi: 10.1016/j.ijcard.2014.12.088. Epub 2014 Dec 27.
4
Utility of optical coherence tomography and intravascular ultrasound for the evaluation of coronary lesions.光学相干断层扫描和血管内超声在评估冠状动脉病变中的应用价值。
Rev Port Cardiol. 2013 Nov;32(11):925-9. doi: 10.1016/j.repc.2013.06.002. Epub 2013 Nov 21.
5
Comparison between Optical COherence tomography guidance and Angiography guidance in percutaneous coronary intervention (COCOA): Study protocol for a randomized controlled trial.光学相干断层扫描引导与血管造影引导在经皮冠状动脉介入治疗中的比较(COCOA):一项随机对照试验的研究方案
J Cardiol. 2018 Aug;72(2):170-175. doi: 10.1016/j.jjcc.2018.01.005. Epub 2018 Mar 2.
6
The diagnostic value of intracoronary optical coherence tomography.冠状动脉内光学相干断层扫描的诊断价值
Herz. 2011 Aug;36(5):417-29. doi: 10.1007/s00059-011-3487-7.
7
Optical coherence tomography versus intravascular ultrasound in the evaluation of observer variability and reliability in the assessment of stent deployment: the OCTIVUS study.光学相干断层扫描与血管内超声在评估支架植入评估中观察者变异性和可靠性的对比:OCTIVUS研究
Catheter Cardiovasc Interv. 2015 Aug;86(2):229-35. doi: 10.1002/ccd.25854. Epub 2015 Mar 30.
8
Optical coherence tomography imaging during percutaneous coronary intervention impacts physician decision-making: ILUMIEN I study.经皮冠状动脉介入治疗期间的光学相干断层扫描成像影响医生决策:ILUMIEN I研究。
Eur Heart J. 2015 Dec 14;36(47):3346-55. doi: 10.1093/eurheartj/ehv367. Epub 2015 Aug 4.
9
Clinical Outcomes Following Intravascular Imaging-Guided Versus Coronary Angiography-Guided Percutaneous Coronary Intervention With Stent Implantation: A Systematic Review and Bayesian Network Meta-Analysis of 31 Studies and 17,882 Patients.血管内影像引导与冠状动脉造影引导经皮冠状动脉介入治疗伴支架植入的临床结局:31 项研究和 17882 例患者的系统评价和贝叶斯网络荟萃分析。
JACC Cardiovasc Interv. 2017 Dec 26;10(24):2488-2498. doi: 10.1016/j.jcin.2017.08.051. Epub 2017 Nov 15.
10
In Vivo Calcium Detection by Comparing Optical Coherence Tomography, Intravascular Ultrasound, and Angiography.体内钙检测的比较:光学相干断层扫描、血管内超声和血管造影。
JACC Cardiovasc Imaging. 2017 Aug;10(8):869-879. doi: 10.1016/j.jcmg.2017.05.014.

本文引用的文献

1
Detection of very early stent healing after primary angioplasty: an optical coherence tomographic observational study of chromium cobaltum and first-generation drug-eluting stents. The DETECTIVE study.初次血管成形术后极早期支架愈合的检测:铬钴合金第一代药物洗脱支架的光学相干断层成像观察研究。DETECTIVE 研究。
Heart. 2011 Nov;97(22):1841-6. doi: 10.1136/heartjnl-2011-300782. Epub 2011 Aug 31.
2
Spontaneous coronary artery dissection evaluated by optical coherence tomography.光学相干断层成像术评价自发性冠状动脉夹层。
J Cardiovasc Med (Hagerstown). 2011 Oct;12(10):743-4. doi: 10.2459/JCM.0b013e32834a138c.
3
Focus on the research utility of intravascular ultrasound - comparison with other invasive modalities.
关注血管内超声的研究效用——与其他侵入性检查方法的比较。
Cardiovasc Ultrasound. 2011 Jan 30;9(1):2. doi: 10.1186/1476-7120-9-2.
4
The ability of optical coherence tomography to monitor percutaneous coronary intervention: detailed comparison with intravascular ultrasound.光学相干断层扫描监测经皮冠状动脉介入治疗的能力:与血管内超声的详细比较。
J Invasive Cardiol. 2010 Nov;22(11):541-5.
5
Cardiac optical coherence tomography.心脏光学相干断层扫描
Heart. 2008 Sep;94(9):1200-10. doi: 10.1136/hrt.2007.130765.
6
Clinical, procedural, and pharmacologic correlates of acute and subacute stent thrombosis: results of a multicenter case-control study with 145 thrombosis events.急性和亚急性支架血栓形成的临床、操作及药理学相关因素:一项包含145例血栓形成事件的多中心病例对照研究结果
Am Heart J. 2008 Apr;155(4):654-60. doi: 10.1016/j.ahj.2007.11.028. Epub 2008 Feb 21.
7
Assessment of culprit lesion morphology in acute myocardial infarction: ability of optical coherence tomography compared with intravascular ultrasound and coronary angioscopy.急性心肌梗死罪犯病变形态学评估:光学相干断层扫描与血管内超声及冠状动脉血管镜检查相比的能力
J Am Coll Cardiol. 2007 Sep 4;50(10):933-9. doi: 10.1016/j.jacc.2007.04.082. Epub 2007 Aug 20.
8
Diagnostic accuracy of optical coherence tomography and integrated backscatter intravascular ultrasound images for tissue characterization of human coronary plaques.光学相干断层扫描和背向散射积分血管内超声图像用于人体冠状动脉斑块组织特征诊断的准确性
J Am Coll Cardiol. 2006 Jul 4;48(1):81-8. doi: 10.1016/j.jacc.2006.02.062. Epub 2006 Jun 9.
9
Plaque characterization with optical coherence tomography.光学相干断层扫描对斑块的特征分析
J Am Coll Cardiol. 2006 Apr 18;47(8 Suppl):C69-79. doi: 10.1016/j.jacc.2005.10.067.
10
Antithrombotic therapy during percutaneous coronary intervention: the Seventh ACCP Conference on Antithrombotic and Thrombolytic Therapy.经皮冠状动脉介入治疗期间的抗栓治疗:第七届美国胸科医师学会抗栓与溶栓治疗会议
Chest. 2004 Sep;126(3 Suppl):576S-599S. doi: 10.1378/chest.126.3_suppl.576S.