Suppr超能文献

胸主动脉瘤合并右位锁骨下动脉异常的杂交治疗。

Hybrid treatment for thoracic aortic aneurysm combined with aberrant right subclavian artery.

机构信息

Division of Cardiology, Yonsei University College of Medicine, Severance Cardiovascular Hospital, Yonsei University Health System, Seoul, Korea.

出版信息

Korean Circ J. 2013 Jan;43(1):66-9. doi: 10.4070/kcj.2013.43.1.66. Epub 2013 Jan 31.

Abstract

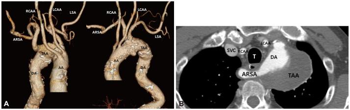
An aberrant right subclavian artery (ARSA) is the most common vascular abnormality of the aortic arch and is associated with development of aneurysms in 3-8% of these anomalies. In this case report, we describe an 84-year-old man with a symptomatic ARSA treated with staged hybrid procedure combining surgical replacement of the ascending aorta and bilateral carotid-to-subclavian artery bypass with implantation of a stent graft in the aortic arch and descending aorta. Our case suggests that a less invasive hybrid therapy can be performed successfully for the treatment of ARSA with aneurysmal change in patients at high surgical risk.

摘要

异常右锁骨下动脉(ARSA)是主动脉弓最常见的血管异常,在这些异常中,有 3-8%会发展为动脉瘤。在本病例报告中,我们描述了一位 84 岁的男性患者,他患有症状性 ARSA,接受了分期杂交手术治疗,该手术结合了升主动脉置换术和双侧颈动脉-锁骨下动脉旁路术,并在主动脉弓和降主动脉中植入了支架移植物。我们的病例表明,对于高手术风险的患者,一种微创的杂交治疗方法可以成功地用于治疗伴有动脉瘤样改变的 ARSA。

https://cdn.ncbi.nlm.nih.gov/pmc/blobs/1422/3569571/71a58fd0a05a/kcj-43-66-g001.jpg

文献AI研究员

20分钟写一篇综述,助力文献阅读效率提升50倍。

立即体验

用中文搜PubMed

大模型驱动的PubMed中文搜索引擎

马上搜索

文档翻译

学术文献翻译模型,支持多种主流文档格式。

立即体验