Suppr超能文献

使用广谱细胞角蛋白(pan-CK)和上皮膜抗原(EMA)进行免疫组织化学检查在胃癌淋巴结转移诊断中的比较,尤其是微转移和孤立肿瘤细胞的诊断。

Comparison of immunohistology using pan-CK and EMA in the diagnosis of lymph node metastasis of gastric cancer, particularly micrometastasis and isolated tumor cells.

作者信息

Yang Yi, Li Junwei, Mao Shanhua, Zhu Hongguang

机构信息

Departments of General Surgery, Shanghai Medical College, Fudan University, Shanghai 200032, P.R. China.

出版信息

Oncol Lett. 2013 Mar;5(3):768-772. doi: 10.3892/ol.2012.1078. Epub 2012 Dec 14.

Abstract

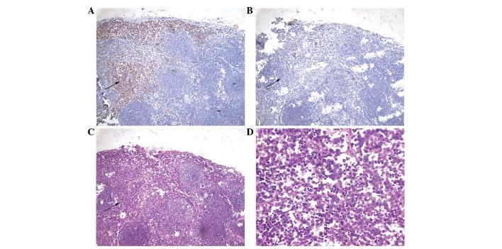
The aim of this study was to identify a suitable method for detecting lymph node metastasis of gastric cancer (GCA) by hematoxylin and eosin (HE) and immunohistochemical (IHC) staining. We investigated lymph node metastasis using pan-cytokeratin (CK) and epithelial membrane antigen (EMA) IHC staining in a total of 1,422 lymph nodes from 100 patients who underwent radical gastrectomy between 2007 and 2009. Of 700 intestinal and 722 diffuse type GCA lymph nodes, the metastasis rates were significantly different when using conventional HE staining only or HE supplemented with IHC (P<0.01). The metastasis rate of the intestinal type was 31.71% using HE staining, 35.71% with HE and pan-CK, 35.57% with HE and EMA and 35.71% with combination examinations of all three. The false-positive rate was zero with pan-CK, 12.67% with EMA and 18.57% with all three. The metastasis rate of the diffuse type was 27.70% using HE staining, 36.01% with HE and pan-CK, 35.04% with HE and EMA and 36.01% with all three. The false-positive rate was zero with pan-CK, 7.58% with EMA and 11.86% with all three. For both types, the true-positive and -negative rates of pan-CK were higher than those of EMA. IHC staining is unnecessary if lymph node metastasis is detected in HE staining. If HE staining does not reveal metastasis, pan-CK staining should be performed for further diagnosis.

摘要

本研究的目的是通过苏木精-伊红(HE)染色和免疫组织化学(IHC)染色确定一种检测胃癌(GCA)淋巴结转移的合适方法。我们对2007年至2009年间接受根治性胃切除术的100例患者的总共1422个淋巴结进行了全细胞角蛋白(CK)和上皮膜抗原(EMA)免疫组化染色,以研究淋巴结转移情况。在700个肠型和722个弥漫型GCA淋巴结中,仅使用传统HE染色或HE染色加免疫组化时,转移率有显著差异(P<0.01)。肠型淋巴结转移率在HE染色时为31.71%,HE加全细胞角蛋白时为35.71%,HE加EMA时为35.57%,三种联合检测时为35.71%。全细胞角蛋白的假阳性率为零,EMA为12.67%,三种联合检测为18.57%。弥漫型淋巴结转移率在HE染色时为27.70%,HE加全细胞角蛋白时为36.01%,HE加EMA时为35.04%,三种联合检测时为36.01%。全细胞角蛋白的假阳性率为零;EMA为7.58%,三种联合检测为11.86%。对于两种类型,全细胞角蛋白的真阳性和真阴性率均高于EMA。如果在HE染色中检测到淋巴结转移,则无需进行免疫组化染色。如果HE染色未显示转移,则应进行全细胞角蛋白染色以进一步诊断。

https://cdn.ncbi.nlm.nih.gov/pmc/blobs/3d70/3576198/e14a2240e7c5/OL-05-03-0768-g00.jpg

相似文献

3
Precise pathologic examination decreases the false-negative rate of sentinel lymph node biopsy in gastric cancer.
Ann Surg Oncol. 2012 Mar;19(3):772-8. doi: 10.1245/s10434-011-2106-4. Epub 2011 Oct 7.
8
Microstaging of breast cancer patients using cytokeratin staining of the sentinel lymph node.
Ann Surg Oncol. 1999 Jan-Feb;6(1):95-101. doi: 10.1007/s10434-999-0095-3.

引用本文的文献

1
A Rare Case of Signet Ring Cell Carcinoma Arising on Duodenal Brunner's Gland Hyperplasia Successfully Treated Via Endoscopic Resection.
Korean J Helicobacter Up Gastrointest Res. 2024 Jun;24(2):182-186. doi: 10.7704/kjhugr.2024.0014. Epub 2024 Jun 10.
2
Iontophoresis-Enhanced Buccal Delivery of Cisplatin-Encapsulated Chitosan Nanoparticles for Treating Oral Cancer in a Mouse Model.
Int J Nanomedicine. 2024 Oct 16;19:10435-10453. doi: 10.2147/IJN.S475742. eCollection 2024.
3
A molecular switch from tumor suppressor to oncogene in ER+ve breast cancer: Role of androgen receptor, JAK-STAT, and lineage plasticity.
Proc Natl Acad Sci U S A. 2024 Oct;121(40):e2406837121. doi: 10.1073/pnas.2406837121. Epub 2024 Sep 23.
6
Gastric Cancer-Derived Extracellular Vesicles (EVs) Promote Angiogenesis via Angiopoietin-2.
Cancers (Basel). 2022 Jun 15;14(12):2953. doi: 10.3390/cancers14122953.
7
Differential Diagnosis between Oral Metastasis of Renal Cell Carcinoma and Salivary Gland Cancer.
Diagnostics (Basel). 2021 Mar 12;11(3):506. doi: 10.3390/diagnostics11030506.
9
Tumor heterogeneity as a rationale for a multi-epitope approach in an autologous renal cell cancer tumor vaccine.
Onco Targets Ther. 2016 Jan 27;9:523-37. doi: 10.2147/OTT.S92182. eCollection 2016.
10
Silica promotes the transdifferentiation of rat circulating fibrocytes in vitro.
Mol Med Rep. 2015 Oct;12(4):5828-36. doi: 10.3892/mmr.2015.4212. Epub 2015 Aug 11.

本文引用的文献

1
The use of Cytokeratin 19 (CK19) immunohistochemistry in lesions of the pancreas, gastrointestinal tract, and liver.
Appl Immunohistochem Mol Morphol. 2010 Jan;18(1):9-15. doi: 10.1097/PAI.0b013e3181ad36ea.
2
HHV8-positive, EBV-positive Hodgkin lymphoma-like large B-cell lymphoma and HHV8-positive intravascular large B-cell lymphoma.
Mod Pathol. 2009 May;22(5):618-26. doi: 10.1038/modpathol.2009.36. Epub 2009 Mar 13.
3
Gastric cancer.
Crit Rev Oncol Hematol. 2009 Aug;71(2):127-64. doi: 10.1016/j.critrevonc.2009.01.004. Epub 2009 Feb 20.
4
Lymph node micrometastasis in node negative early gastric cancer.
Eur J Surg Oncol. 2009 Apr;35(4):409-14. doi: 10.1016/j.ejso.2008.05.004. Epub 2008 Jun 24.
5
MUC1 (EMA) expressing plasma cells in bone marrow infiltrated by plasma cell myeloma.
Histol Histopathol. 2007 Aug;22(8):889-93. doi: 10.14670/HH-22.889.
6
Assessment of lymph node micrometastasis in early gastric cancer in relation to sentinel nodes.
Gastric Cancer. 2006;9(3):197-202. doi: 10.1007/s10120-006-0378-3.
7
Epithelial membrane antigen (EMA) or MUC1 expression in monocytes and monoblasts.
Pathology. 2003 Oct;35(5):422-7. doi: 10.1080/00313020310001602576.
9
Lymph node micrometastases in early gastric cancer and their impact on prognosis.
World J Surg. 2003 May;27(5):558-61. doi: 10.1007/s00268-003-6797-y. Epub 2003 Apr 28.
10
Antigenic profiles of disseminated breast tumour cells and microenvironment in bone marrow.
Eur J Surg Oncol. 2003 Mar;29(2):121-6. doi: 10.1053/ejso.2002.1334.

文献AI研究员

20分钟写一篇综述,助力文献阅读效率提升50倍。

立即体验

用中文搜PubMed

大模型驱动的PubMed中文搜索引擎

马上搜索

文档翻译

学术文献翻译模型,支持多种主流文档格式。

立即体验