Suppr超能文献

具有门体分流的狗的异常基因表达。

Aberrant gene expression in dogs with portosystemic shunts.

机构信息

Department of Clinical Sciences of Companion Animals, Faculty of Veterinary Medicine, Utrecht University, Utrecht, The Netherlands.

出版信息

PLoS One. 2013;8(2):e57662. doi: 10.1371/journal.pone.0057662. Epub 2013 Feb 25.

Abstract

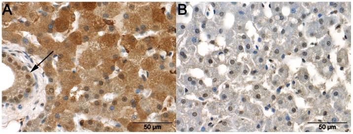
Congenital portosystemic shunts are developmental anomalies of the splanchnic vascular system that cause portal blood to bypass the liver. Large-breed dogs are predisposed for intrahepatic portosystemic shunts (IHPSS) and small-breed dogs for extrahepatic portosystemic shunts (EHPSS). While the phenotype resulting from portal bypass of the liver of the two types of shunt is identical, the genotype and molecular pathways involved are probably different. The aim of this study was to gain insight into the pathways involved in the different types of portosystemic shunting. Microarray analysis of mRNA expression in liver tissue from dogs with EHPSS and IHPSS revealed that the expression of 26 genes was altered in either IHPSS or EHPSS samples compared with that in liver samples from control dogs. Quantitative real-time PCR of these genes in 14 IHPSS, 17 EHPSS, and 8 control liver samples revealed a significant differential expression of ACBP, CCBL1, GPC3, HAMP, PALLD, VCAM1, and WEE1. Immunohistochemistry and Western blotting confirmed an increased expression of VCAM1 in IHPSS but its absence in EHPSS, an increased WEE1 expression in IHPSS but not in EHPSS, and a decreased expression of CCBL1 in both shunt types. Regarding their physiologic functions, these findings may indicate a causative role for VCAM1 in EHPSS [corrected] and WEE1 for IHPSS. CCBL1 could be an interesting candidate to study not yet elucidated aspects in the pathophysiology of hepatic encephalopathy.

摘要

先天性门体分流是内脏血管系统的发育异常,导致门静脉血液绕过肝脏。大型犬易发生肝内门体分流(IHPSS),小型犬易发生肝外门体分流(EHPSS)。虽然两种分流类型导致肝脏门静脉旁路的表型相同,但涉及的基因型和分子途径可能不同。本研究旨在深入了解不同类型门体分流所涉及的途径。对 EHPSS 和 IHPSS 犬肝脏组织的 mRNA 表达进行微阵列分析,结果显示与对照组犬肝脏样本相比,IHPSS 或 EHPSS 样本中有 26 个基因的表达发生改变。对 14 个 IHPSS、17 个 EHPSS 和 8 个对照组肝脏样本中的这些基因进行定量实时 PCR 检测,发现 ACBP、CCBL1、GPC3、HAMP、PALLD、VCAM1 和 WEE1 的表达存在显著差异。免疫组织化学和 Western blot 证实 VCAM1 在 IHPSS 中表达增加,而在 EHPSS 中缺失,WEE1 在 IHPSS 中表达增加而在 EHPSS 中不增加,CCBL1 在两种分流类型中表达降低。就其生理功能而言,这些发现可能表明 VCAM1 在 EHPSS 中起因果作用,WEE1 在 IHPSS 中起因果作用。CCBL1 可能是研究肝性脑病病理生理学中尚未阐明方面的一个有趣候选者。

https://cdn.ncbi.nlm.nih.gov/pmc/blobs/c5d3/3581512/6146418e7792/pone.0057662.g001.jpg

文献检索

告别复杂PubMed语法,用中文像聊天一样搜索,搜遍4000万医学文献。AI智能推荐,让科研检索更轻松。

立即免费搜索

文件翻译

保留排版,准确专业,支持PDF/Word/PPT等文件格式,支持 12+语言互译。

免费翻译文档

深度研究

AI帮你快速写综述,25分钟生成高质量综述,智能提取关键信息,辅助科研写作。

立即免费体验