Suppr超能文献

使用定制模塑适配椅的重度残疾儿童肌肉骨骼畸形的变化

Changes of musculoskeletal deformity in severely disabled children using the custom molded fitting chair.

作者信息

Kim Myeong Ok, Lee Jun Ho, Yu Ju Young, An Pil Suk, Hur Do Hang, Park Eun Seo, Kim Jae Hong

机构信息

Department of Physical & Rehabilitation Medicine, Inha University School of Medicine, Incheon, Korea.

出版信息

Ann Rehabil Med. 2013 Feb;37(1):33-40. doi: 10.5535/arm.2013.37.1.33. Epub 2013 Feb 28.

Abstract

OBJECTIVE

To know the effectiveness of a custom molded fitting chair between pre- and post-chair status through comparison of musculoskeletal indices in severely disabled children.

METHODS

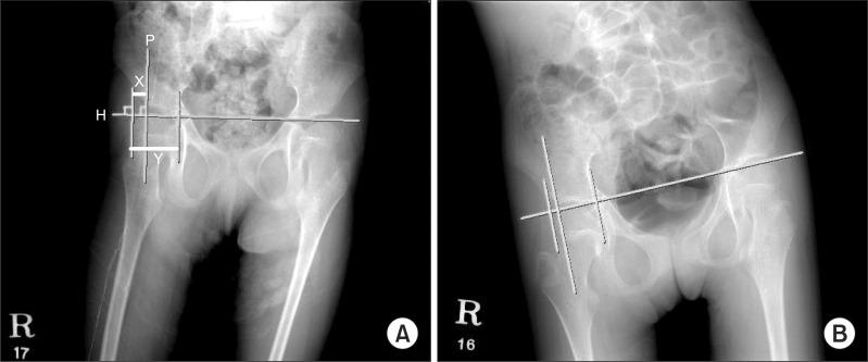
We researched 34 severely disabled patients who had used a custom molded fitting chair continuously for more than a year. There were 27 cerebral palsy patients and 7 patients with other kinds of diseases that affect the brain such as chromosomal disease or metabolic disease. By radiographic studies, Cobb's angle, the femoral neck-shaft angle of the femur, and Reimers migration percentage were measured. The indices are analyzed before and after application.

RESULTS

The average period of application was 24 months. There was a significant reduction in the angles of femur neck-shaft, 163.4 degree before and 158.2 degree after the use of the chair (p<0.05), and 23 of 34 had demonstrated a reduced angle. Cobb's angle and Reimers migration percentage increased but the difference of pre- and post-chair status was not statistically significant. Seventeen of 33 children showed reduced Cobb's angle. Also, 19 of 37 showed a reduced degree of dislocation of the hip joints.

CONCLUSION

In spite of the use of a custom molded fitting chair, a significant improvement did not emerge for musculoskeletal deformity indices in severely disabled children. However, there was no significant aggravation of Cobb's angle or Reimers migration percentage in developing children. Therefore, it is thought be helpful to prevent rapid aggravation of musculoskeletal deformities.

摘要

目的

通过比较重度残疾儿童使用定制塑形适配椅前后的肌肉骨骼指标,了解该椅子的效果。

方法

我们研究了34名连续使用定制塑形适配椅超过一年的重度残疾患者。其中有27名脑瘫患者和7名患有其他影响大脑的疾病(如染色体疾病或代谢疾病)的患者。通过影像学研究,测量了 Cobb角、股骨颈干角和赖默斯移位百分比。对应用前后的指标进行分析。

结果

平均应用时间为24个月。使用椅子后,股骨颈干角有显著减小,使用前为163.4度,使用后为158.2度(p<0.05),34名患者中有23名角度减小。Cobb角和赖默斯移位百分比增加,但使用椅子前后的差异无统计学意义。33名儿童中有17名Cobb角减小。此外,37名中有19名髋关节脱位程度减小。

结论

尽管使用了定制塑形适配椅,但重度残疾儿童的肌肉骨骼畸形指标并未出现显著改善。然而,在发育中的儿童中,Cobb角或赖默斯移位百分比没有显著加重。因此,认为它有助于防止肌肉骨骼畸形的快速加重。

https://cdn.ncbi.nlm.nih.gov/pmc/blobs/0d49/3604232/cd0a2a788938/arm-37-33-g001.jpg

文献检索

告别复杂PubMed语法,用中文像聊天一样搜索,搜遍4000万医学文献。AI智能推荐,让科研检索更轻松。

立即免费搜索

文件翻译

保留排版,准确专业,支持PDF/Word/PPT等文件格式,支持 12+语言互译。

免费翻译文档

深度研究

AI帮你快速写综述,25分钟生成高质量综述,智能提取关键信息,辅助科研写作。

立即免费体验