Suppr超能文献

一名肝细胞癌淋巴结转移患者经短期索拉非尼治疗后获得完全缓解。

Complete response after short-term sorafenib treatment in a patient with lymph node metastasis of hepatocellular carcinoma.

作者信息

Mizukami Hajime, Kagawa Tatehiro, Arase Yoshitaka, Nakahara Fumio, Tsuruya Kota, Anzai Kazuya, Hirose Shunji, Shiraishi Koichi, Shomura Masako, Koizumi Jun, Tobita Kosuke, Mine Tetsuya

机构信息

Department of Gastroenterology, Tokai University School of Medicine, Hachioji, Japan.

出版信息

Case Rep Oncol. 2012 May;5(2):380-4. doi: 10.1159/000341259. Epub 2012 Jul 24.

Abstract

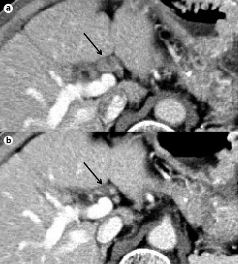
A 60-year-old man received interferon/ribavirin combination therapy for chronic hepatitis C in 2002 and achieved sustained virological response. In 2008, a hepatocellular carcinoma (HCC) with a diameter of 60 mm appeared and surgical resection was performed. In March 2011, the patient was referred to our hospital because of portal lymph node swelling. Abdominal ultrasonography, dynamic CT and dynamic MRI did not show any tumors in the liver, but revealed portal lymph node swelling (18 × 11 mm). Taking the elevation of serum des-γ-carboxy prothrombin and alpha-fetoprotein levels, including the lectin-bound type, into consideration, we made the diagnosis of HCC metastasis to the portal lymph node. We started sorafenib therapy at a dose of 800 mg/day, but discontinued it after 11 days due to grade 3 hand-foot skin reaction and rash. In spite of treatment termination, portal lymph node swelling disappeared and the serum des-γ-carboxy prothrombin and alpha-fetoprotein levels normalized. We considered that our patient achieved complete response to sorafenib according to the Response Evaluation Criteria in Solid Tumors (RECIST). The patient maintains remission up to June 2012, more than 1 year after the discontinuation of sorafenib therapy. Sorafenib could be a good option for unresectable or recurrent HCC.

摘要

一名60岁男性于2002年接受干扰素/利巴韦林联合治疗慢性丙型肝炎,并实现了持续病毒学应答。2008年,出现了直径60毫米的肝细胞癌(HCC)并进行了手术切除。2011年3月,该患者因门静脉淋巴结肿大被转诊至我院。腹部超声、动态CT和动态MRI均未显示肝脏有任何肿瘤,但发现门静脉淋巴结肿大(18×11毫米)。考虑到血清去γ-羧基凝血酶原和甲胎蛋白水平升高,包括凝集素结合型,我们诊断为HCC转移至门静脉淋巴结。我们开始使用索拉非尼治疗,剂量为800毫克/天,但由于3级手足皮肤反应和皮疹,在11天后停药。尽管治疗终止,但门静脉淋巴结肿大消失,血清去γ-羧基凝血酶原和甲胎蛋白水平恢复正常。根据实体瘤疗效评价标准(RECIST),我们认为该患者对索拉非尼实现了完全缓解。该患者在索拉非尼治疗停药后1年多,直至2012年6月一直保持缓解状态。索拉非尼可能是不可切除或复发性HCC的一个良好选择。

https://cdn.ncbi.nlm.nih.gov/pmc/blobs/2707/3409511/314f21d051a2/cro-0005-0380-g01.jpg

文献AI研究员

20分钟写一篇综述,助力文献阅读效率提升50倍。

立即体验

用中文搜PubMed

大模型驱动的PubMed中文搜索引擎

马上搜索

文档翻译

学术文献翻译模型,支持多种主流文档格式。

立即体验