Suppr超能文献

一名儿童单纯疱疹病毒1型感染的不寻常表现。

An unusual presentation of herpes simplex virus type 1 infection in a child.

作者信息

Sakalli Hale, Erinanc Hilal, Dursun Recep, Baskin Esra

机构信息

Department of Pediatric Nephrology, Baskent University Faculty of Medicine, Konya, Turkey.

出版信息

Case Rep Dermatol. 2013 Jan;5(1):52-7. doi: 10.1159/000348239. Epub 2013 Feb 24.

Abstract

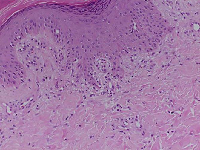
We describe an 11-year-old girl presenting with lichen simplex chronicus (LSC) and acute bilateral carpal tunnel syndrome (CTS) following herpes simplex virus type 1 (HSV-1) infection as evidenced by serological data and by detection of HSV-1 DNA in the blood with the use of PCR. Based on the literature search, this case represents the first childhood case of LSC and acute bilateral CTS following HSV-1 infection. The experience with this patient emphasizes the importance of serological tests and PCR as well as the other laboratory techniques for the accurate diagnosis and management of the disease.

摘要

我们描述了一名11岁女孩,她在感染1型单纯疱疹病毒(HSV-1)后出现慢性单纯性苔藓(LSC)和急性双侧腕管综合征(CTS),血清学数据以及通过PCR检测血液中的HSV-1 DNA证实了这一点。基于文献检索,该病例代表了HSV-1感染后LSC和急性双侧CTS的首例儿童病例。对该患者的诊治经验强调了血清学检测、PCR以及其他实验室技术对于准确诊断和管理该疾病的重要性。

https://cdn.ncbi.nlm.nih.gov/pmc/blobs/d653/3604873/09caf15b1e1d/cde-0005-0052-g01.jpg

文献AI研究员

20分钟写一篇综述,助力文献阅读效率提升50倍。

立即体验

用中文搜PubMed

大模型驱动的PubMed中文搜索引擎

马上搜索

文档翻译

学术文献翻译模型,支持多种主流文档格式。

立即体验