Suppr超能文献

Perforating disseminated necrobiosis lipoidica diabeticorum.

作者信息

Lozanova Paula, Dourmishev Lyubomir, Vassileva Snejina, Miteva Ljubka, Balabanova Maria

机构信息

Department of Dermatology and Venereology, Medical University Sofia, Sofia, Bulgaria.

出版信息

Case Rep Dermatol Med. 2013;2013:370361. doi: 10.1155/2013/370361. Epub 2013 Feb 25.

Abstract

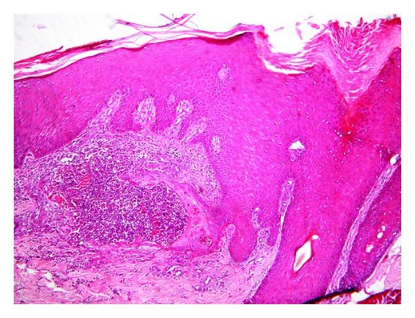
Perforating necrobiosis lipoidica is a very rare clinical variant which consists of degeneration and transepidermal elimination of the collagen with few cases reported in the literature. In two-thirds of the patients it associates with diabetes, with no relation with the glucose control. We present a 42-year-old female patient with a 7-year history of diabetes on insulin therapy, referred to our clinic with a 3-year history of multiple asymptomatic firm plaques disseminated on the upper and lower extremities. The clinical and histological findings proved the diagnosis of perforating necrobiosis lipoidica.

摘要
https://cdn.ncbi.nlm.nih.gov/pmc/blobs/e8b3/3596912/564f5532d08f/CRIM.DM2013-370361.001.jpg

文献AI研究员

20分钟写一篇综述,助力文献阅读效率提升50倍。

立即体验

用中文搜PubMed

大模型驱动的PubMed中文搜索引擎

马上搜索

文档翻译

学术文献翻译模型,支持多种主流文档格式。

立即体验