• 文献检索
  • 文档翻译
  • 深度研究
  • 学术资讯
  • Suppr Zotero 插件Zotero 插件
  • 邀请有礼
  • 套餐&价格
  • 历史记录
应用&插件
Suppr Zotero 插件Zotero 插件浏览器插件Mac 客户端Windows 客户端微信小程序
定价
高级版会员购买积分包购买API积分包
服务
文献检索文档翻译深度研究API 文档MCP 服务
关于我们
关于 Suppr公司介绍联系我们用户协议隐私条款
关注我们

Suppr 超能文献

核心技术专利:CN118964589B侵权必究
粤ICP备2023148730 号-1Suppr @ 2026

文献检索

告别复杂PubMed语法,用中文像聊天一样搜索,搜遍4000万医学文献。AI智能推荐,让科研检索更轻松。

立即免费搜索

文件翻译

保留排版,准确专业,支持PDF/Word/PPT等文件格式,支持 12+语言互译。

免费翻译文档

深度研究

AI帮你快速写综述,25分钟生成高质量综述,智能提取关键信息,辅助科研写作。

立即免费体验

COX-2/PGE2:卡波西肉瘤相关疱疹病毒癌蛋白 v-FLIP 的分子大使。

COX-2/PGE2: molecular ambassadors of Kaposi's sarcoma-associated herpes virus oncoprotein-v-FLIP.

机构信息

Department of Microbiology and Immunology, H.M. Bligh Cancer Research Laboratories, Chicago Medical School, Rosalind Franklin University of Medicine and Science, North Chicago, IL, USA.

出版信息

Oncogenesis. 2012 Apr 2;1(4):e5. doi: 10.1038/oncsis.2012.5.

DOI:10.1038/oncsis.2012.5
PMID:23552603
原文链接:https://pmc.ncbi.nlm.nih.gov/articles/PMC3412643/
Abstract

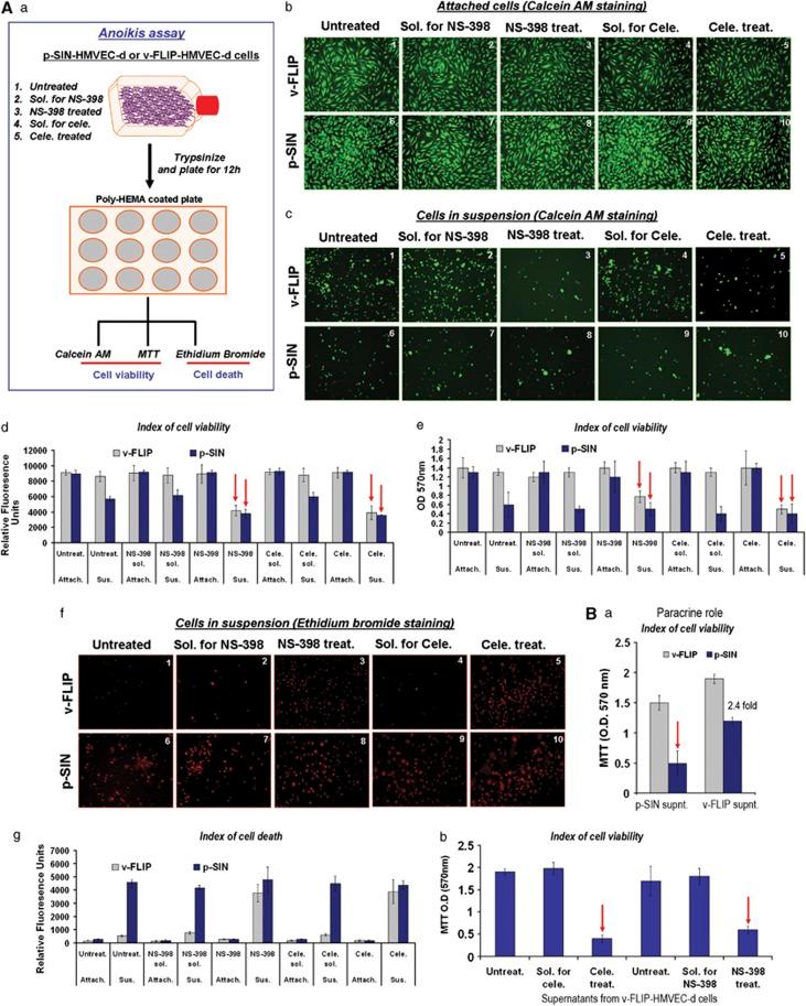
Kaposi's sarcoma herpesvirus (KSHV) latent oncoprotein viral FLICE (FADD-like interferon converting enzyme)-like inhibitory protein (v-FLIP) or K13, a potent activator of NF-κB, has well-established roles in KSHV latency and oncogenesis. KSHV-induced COX-2 represents a novel strategy employed by KSHV to promote latency and inflammation/angiogenesis/invasion. Here, we demonstrate that v-FLIP/K13 promotes tumorigenic effects via the induction of host protein COX-2 and its inflammatory metabolite PGE2 in an NF-κB-dependent manner. In addition to our previous studies demonstrating COX-2/PGE2's role in transcriptional regulation of KSHV latency promoter and latent gene expression, the current study adds to the complexity that though LANA-1 (latency associated nuclear antigen) is utilizing COX-2/PGE2 as critical factors for its transcriptional regulation, it is the v-FLIP/K13 gene in the KSHV latency cluster that maintains continuous COX-2/PGE2 levels in the infected cells. We demonstrate that COX-2 inhibition, via its chemical inhibitors (NS-398 or celecoxib), reduced v-FLIP/K13-mediated NF-κB induction, and extracellular matrix (ECM) interaction-mediated signaling, mitochondrial antioxidant enzyme manganese superoxide dismutase (MnSOD) levels, and subsequently downregulated detachment-induced apoptosis (anoikis) resistance. vFLIP expression mediated the secretion of cytokines, and spindle cell differentiation activated the phosphorylation of p38, RSK, FAK, Src, Akt and Rac1-GTPase. The COX-2 inhibition in v-FLIP/K13-HMVECs reduced inflammation and invasion/metastasis-related genes, along with reduced anchorage-independent colony formation via modulating 'extrinsic' as well as 'intrinsic' cell death pathways. COX-2 blockade in v-FLIP/K13-HMVEC cells drastically augmented cell death induced by removal of essential growth/survival factors secreted in the microenvironment. Transformed cells obtained from anchorage-independent colonies of COX-2 inhibitor-treated v-FLIP/K13-HMVEC cells expressed lower levels of endothelial-mesenchymal transition genes such as slug, snail and twist, and higher expression of the tumor-suppressor gene, E-cadherin. Taken together, our study provides strong evidences that FDA-approved COX-2 inhibitors have great potential in blocking tumorigenic events linked to KSHV's oncogenic protein v-FLIP/K13.

摘要

卡波西肉瘤疱疹病毒(KSHV)潜伏癌蛋白病毒 FLICE(FADD 样干扰素转换酶)样抑制蛋白(v-FLIP)或 K13,是 NF-κB 的一种有效激活剂,在 KSHV 潜伏和致癌作用中具有明确的作用。KSHV 诱导的 COX-2 代表了 KSHV 促进潜伏和炎症/血管生成/侵袭的一种新策略。在这里,我们证明 v-FLIP/K13 通过诱导宿主蛋白 COX-2 及其炎症代谢产物 PGE2 在 NF-κB 依赖性方式促进致瘤作用。除了我们之前的研究表明 COX-2/PGE2 在 KSHV 潜伏启动子和潜伏基因表达的转录调控中的作用外,本研究增加了复杂性,尽管 LANA-1(潜伏相关核抗原)正在利用 COX-2/PGE2 作为其转录调控的关键因素,但在 KSHV 潜伏群中,是 v-FLIP/K13 基因维持感染细胞中 COX-2/PGE2 的持续水平。我们证明,通过其化学抑制剂(NS-398 或塞来昔布)抑制 COX-2,可降低 v-FLIP/K13 介导的 NF-κB 诱导以及细胞外基质(ECM)相互作用介导的信号转导、线粒体抗氧化酶锰超氧化物歧化酶(MnSOD)水平,并随后下调脱落诱导的凋亡(失巢凋亡)抵抗。vFLIP 表达介导细胞因子的分泌,纺锤体细胞分化激活 p38、RSK、FAK、Src、Akt 和 Rac1-GTPase 的磷酸化。COX-2 抑制在 v-FLIP/K13-HMVEC 中降低了炎症和侵袭/转移相关基因的表达,并通过调节“外在”和“内在”细胞死亡途径减少了锚定独立集落的形成。COX-2 抑制剂在 v-FLIP/K13-HMVEC 细胞中的阻断大大增加了去除微环境中分泌的必需生长/存活因子诱导的细胞死亡。从 COX-2 抑制剂处理的 v-FLIP/K13-HMVEC 细胞的锚定独立集落获得的转化细胞表达较低水平的内皮-间充质转化基因,如 slug、snail 和 twist,以及较高水平的肿瘤抑制基因 E-cadherin。总之,我们的研究提供了强有力的证据表明,美国食品和药物管理局批准的 COX-2 抑制剂在阻断与 KSHV 致癌蛋白 v-FLIP/K13 相关的致癌事件方面具有巨大潜力。

https://cdn.ncbi.nlm.nih.gov/pmc/blobs/7ac8/3412643/2ed7bae4b44d/oncsis20125f9.jpg
https://cdn.ncbi.nlm.nih.gov/pmc/blobs/7ac8/3412643/031a71329a6c/oncsis20125f1.jpg
https://cdn.ncbi.nlm.nih.gov/pmc/blobs/7ac8/3412643/b40d1ae9dea1/oncsis20125f2.jpg
https://cdn.ncbi.nlm.nih.gov/pmc/blobs/7ac8/3412643/898827fc7503/oncsis20125f3.jpg
https://cdn.ncbi.nlm.nih.gov/pmc/blobs/7ac8/3412643/a305b45c7b8d/oncsis20125f4.jpg
https://cdn.ncbi.nlm.nih.gov/pmc/blobs/7ac8/3412643/72c02a156483/oncsis20125f5.jpg
https://cdn.ncbi.nlm.nih.gov/pmc/blobs/7ac8/3412643/2b310b8c2143/oncsis20125f6.jpg
https://cdn.ncbi.nlm.nih.gov/pmc/blobs/7ac8/3412643/78e2a22671cd/oncsis20125f7.jpg
https://cdn.ncbi.nlm.nih.gov/pmc/blobs/7ac8/3412643/ef023a2618ed/oncsis20125f8.jpg
https://cdn.ncbi.nlm.nih.gov/pmc/blobs/7ac8/3412643/2ed7bae4b44d/oncsis20125f9.jpg
https://cdn.ncbi.nlm.nih.gov/pmc/blobs/7ac8/3412643/031a71329a6c/oncsis20125f1.jpg
https://cdn.ncbi.nlm.nih.gov/pmc/blobs/7ac8/3412643/b40d1ae9dea1/oncsis20125f2.jpg
https://cdn.ncbi.nlm.nih.gov/pmc/blobs/7ac8/3412643/898827fc7503/oncsis20125f3.jpg
https://cdn.ncbi.nlm.nih.gov/pmc/blobs/7ac8/3412643/a305b45c7b8d/oncsis20125f4.jpg
https://cdn.ncbi.nlm.nih.gov/pmc/blobs/7ac8/3412643/72c02a156483/oncsis20125f5.jpg
https://cdn.ncbi.nlm.nih.gov/pmc/blobs/7ac8/3412643/2b310b8c2143/oncsis20125f6.jpg
https://cdn.ncbi.nlm.nih.gov/pmc/blobs/7ac8/3412643/78e2a22671cd/oncsis20125f7.jpg
https://cdn.ncbi.nlm.nih.gov/pmc/blobs/7ac8/3412643/ef023a2618ed/oncsis20125f8.jpg
https://cdn.ncbi.nlm.nih.gov/pmc/blobs/7ac8/3412643/2ed7bae4b44d/oncsis20125f9.jpg

相似文献

1
COX-2/PGE2: molecular ambassadors of Kaposi's sarcoma-associated herpes virus oncoprotein-v-FLIP.COX-2/PGE2:卡波西肉瘤相关疱疹病毒癌蛋白 v-FLIP 的分子大使。
Oncogenesis. 2012 Apr 2;1(4):e5. doi: 10.1038/oncsis.2012.5.
2
Cyclooxygenase-2-prostaglandin E2-eicosanoid receptor inflammatory axis: a key player in Kaposi's sarcoma-associated herpes virus associated malignancies.环氧化酶-2-前列腺素 E2-类二十烷酸炎症轴:卡波西肉瘤相关疱疹病毒相关恶性肿瘤的关键因素。
Transl Res. 2013 Aug;162(2):77-92. doi: 10.1016/j.trsl.2013.03.004. Epub 2013 Apr 6.
3
Kaposi's sarcoma associated herpes virus (KSHV) induced COX-2: a key factor in latency, inflammation, angiogenesis, cell survival and invasion.卡波西肉瘤相关疱疹病毒(KSHV)诱导的 COX-2:潜伏、炎症、血管生成、细胞存活和侵袭的关键因素。
PLoS Pathog. 2010 Feb 12;6(2):e1000777. doi: 10.1371/journal.ppat.1000777.
4
Nm23-H1 induces apoptosis in primary effusion lymphoma cells via inhibition of NF-κB signaling through interaction with oncogenic latent protein vFLIP K13 of Kaposi's sarcoma-associated herpes virus.Nm23-H1通过与卡波西肉瘤相关疱疹病毒的致癌潜伏蛋白vFLIP K13相互作用抑制NF-κB信号传导,从而诱导原发性渗出性淋巴瘤细胞凋亡。
Cell Oncol (Dordr). 2022 Oct;45(5):967-989. doi: 10.1007/s13402-022-00701-9. Epub 2022 Aug 14.
5
Cyclooxygenase 2 induced by Kaposi's sarcoma-associated herpesvirus early during in vitro infection of target cells plays a role in the maintenance of latent viral gene expression.卡波西肉瘤相关疱疹病毒在体外感染靶细胞早期诱导产生的环氧化酶2在维持病毒潜伏基因表达中起作用。
J Virol. 2006 Jul;80(13):6534-52. doi: 10.1128/JVI.00231-06.
6
ERK1/2 and MEK1/2 induced by Kaposi's sarcoma-associated herpesvirus (human herpesvirus 8) early during infection of target cells are essential for expression of viral genes and for establishment of infection.卡波西肉瘤相关疱疹病毒(人类疱疹病毒8型)在感染靶细胞早期诱导产生的细胞外信号调节激酶1/2(ERK1/2)和丝裂原活化蛋白激酶激酶1/2(MEK1/2)对于病毒基因的表达以及感染的建立至关重要。
J Virol. 2005 Aug;79(16):10308-29. doi: 10.1128/JVI.79.16.10308-10329.2005.
7
Activated Nrf2 Interacts with Kaposi's Sarcoma-Associated Herpesvirus Latency Protein LANA-1 and Host Protein KAP1 To Mediate Global Lytic Gene Repression.激活的Nrf2与卡波西肉瘤相关疱疹病毒潜伏蛋白LANA-1和宿主蛋白KAP1相互作用,介导整体裂解基因抑制。
J Virol. 2015 Aug;89(15):7874-92. doi: 10.1128/JVI.00895-15. Epub 2015 May 20.
8
Concurrent Control of the Kaposi's Sarcoma-Associated Herpesvirus Life Cycle through Chromatin Modulation and Host Hedgehog Signaling: a New Prospect for the Therapeutic Potential of Lipoxin A4.通过染色质调节和宿主 Hedgehog 信号对卡波氏肉瘤相关疱疹病毒生命周期的并发控制:脂氧素 A4 的治疗潜力的新展望。
J Virol. 2020 Apr 16;94(9). doi: 10.1128/JVI.02177-19.
9
Kaposi's sarcoma associated herpes virus-encoded viral FLICE inhibitory protein activates transcription from HIV-1 Long Terminal Repeat via the classical NF-kappaB pathway and functionally cooperates with Tat.卡波西肉瘤相关疱疹病毒编码的病毒FLICE抑制蛋白通过经典的核因子κB途径激活HIV-1长末端重复序列的转录,并与反式激活因子Tat发挥功能协同作用。
Retrovirology. 2005 Feb 15;2:9. doi: 10.1186/1742-4690-2-9.
10
Kaposi's sarcoma-associated herpesvirus-encoded viral FLICE inhibitory protein (vFLIP) K13 suppresses CXCR4 expression by upregulating miR-146a.卡波氏肉瘤相关疱疹病毒编码的病毒 FLICE 抑制蛋白(vFLIP)K13 通过上调 miR-146a 抑制 CXCR4 的表达。
Oncogene. 2010 Mar 25;29(12):1835-44. doi: 10.1038/onc.2009.460. Epub 2009 Dec 21.

引用本文的文献

1
Fungi and cancer: unveiling the complex role of fungal infections in tumor biology and therapeutic resistance.真菌与癌症:揭示真菌感染在肿瘤生物学和治疗耐药性中的复杂作用
Front Cell Infect Microbiol. 2025 Jun 10;15:1596688. doi: 10.3389/fcimb.2025.1596688. eCollection 2025.
2
NLRP3 Inflammasome Activates Endothelial-to-Mesenchymal Transition via Focal Adhesion Kinase Pathway in Bleomycin-Induced Pulmonary Fibrosis.NLRP3 炎性小体通过黏着斑激酶通路在博来霉素诱导的肺纤维化中激活血管内皮细胞向间充质细胞转化。
Int J Mol Sci. 2023 Oct 31;24(21):15813. doi: 10.3390/ijms242115813.
3
Salubrinal Exposes Anticancer Properties in Inflammatory Breast Cancer Cells by Manipulating the Endoplasmic Reticulum Stress Pathway.

本文引用的文献

1
Targeting KSHV/HHV-8 latency with COX-2 selective inhibitor nimesulide: a potential chemotherapeutic modality for primary effusion lymphoma.用 COX-2 选择性抑制剂尼美舒利靶向 KSHV/HHV-8 潜伏期:原发性渗出性淋巴瘤的一种潜在化疗方法。
PLoS One. 2011;6(9):e24379. doi: 10.1371/journal.pone.0024379. Epub 2011 Sep 30.
2
NFAT and CREB regulate Kaposi's sarcoma-associated herpesvirus-induced cyclooxygenase 2 (COX-2).NFAT 和 CREB 调节卡波西肉瘤相关疱疹病毒诱导的环氧化酶 2(COX-2)。
J Virol. 2010 Dec;84(24):12733-53. doi: 10.1128/JVI.01065-10. Epub 2010 Oct 13.
3
Piracy of prostaglandin E2/EP receptor-mediated signaling by Kaposi's sarcoma-associated herpes virus (HHV-8) for latency gene expression: strategy of a successful pathogen.
Salubrinal通过调控内质网应激途径展现出对炎性乳腺癌细胞的抗癌特性。
Front Oncol. 2021 May 20;11:654940. doi: 10.3389/fonc.2021.654940. eCollection 2021.
4
KSHV G-protein coupled receptor vGPCR oncogenic signaling upregulation of Cyclooxygenase-2 expression mediates angiogenesis and tumorigenesis in Kaposi's sarcoma.卡波西肉瘤中 KSHV G 蛋白偶联受体 vGPCR 致癌信号上调环氧化酶-2 的表达介导血管生成和肿瘤发生。
PLoS Pathog. 2020 Oct 15;16(10):e1009006. doi: 10.1371/journal.ppat.1009006. eCollection 2020 Oct.
5
Identification of upstream miRNAs of SNAI2 and their influence on the metastasis of gastrointestinal stromal tumors.SNAI2上游微小RNA的鉴定及其对胃肠道间质瘤转移的影响
Cancer Cell Int. 2019 Nov 12;19:289. doi: 10.1186/s12935-019-1006-8. eCollection 2019.
6
Modulation of Angiogenic Processes by the Human Gammaherpesviruses, Epstein-Barr Virus and Kaposi's Sarcoma-Associated Herpesvirus.人类γ疱疹病毒、爱泼斯坦-巴尔病毒和卡波西肉瘤相关疱疹病毒对血管生成过程的调节
Front Microbiol. 2019 Jul 12;10:1544. doi: 10.3389/fmicb.2019.01544. eCollection 2019.
7
Arachidonic Acid Derived Lipid Mediators Influence Kaposi's Sarcoma-Associated Herpesvirus Infection and Pathogenesis.花生四烯酸衍生的脂质介质影响卡波西肉瘤相关疱疹病毒的感染和发病机制。
Front Microbiol. 2019 Mar 12;10:358. doi: 10.3389/fmicb.2019.00358. eCollection 2019.
8
HACE1, an E3 Ubiquitin Protein Ligase, Mitigates Kaposi's Sarcoma-Associated Herpesvirus Infection-Induced Oxidative Stress by Promoting Nrf2 Activity.HACE1,一种 E3 泛素蛋白连接酶,通过促进 Nrf2 活性来减轻卡波西肉瘤相关疱疹病毒感染引起的氧化应激。
J Virol. 2019 Apr 17;93(9). doi: 10.1128/JVI.01812-18. Print 2019 May 1.
9
Molecular Biology of KSHV in Relation to HIV/AIDS-Associated Oncogenesis.与HIV/AIDS相关肿瘤发生相关的卡波西肉瘤相关疱疹病毒分子生物学
Cancer Treat Res. 2019;177:23-62. doi: 10.1007/978-3-030-03502-0_2.
10
Herpesviruses in the Activated Phosphatidylinositol-3-Kinase-δ Syndrome.活化的磷脂酰肌醇-3-激酶-δ 综合征中的疱疹病毒。
Front Immunol. 2018 Feb 23;9:237. doi: 10.3389/fimmu.2018.00237. eCollection 2018.
卡波西肉瘤相关疱疹病毒(HHV-8)对前列腺素 E2/EP 受体介导的信号转导进行盗版以实现潜伏基因表达:一种成功病原体的策略。
Cancer Res. 2010 May 1;70(9):3697-708. doi: 10.1158/0008-5472.CAN-09-3934. Epub 2010 Apr 13.
4
Kaposi's sarcoma associated herpes virus (KSHV) induced COX-2: a key factor in latency, inflammation, angiogenesis, cell survival and invasion.卡波西肉瘤相关疱疹病毒(KSHV)诱导的 COX-2:潜伏、炎症、血管生成、细胞存活和侵袭的关键因素。
PLoS Pathog. 2010 Feb 12;6(2):e1000777. doi: 10.1371/journal.ppat.1000777.
5
Integrated microarray and multiplex cytokine analyses of Kaposi's Sarcoma Associated Herpesvirus viral FLICE Inhibitory Protein K13 affected genes and cytokines in human blood vascular endothelial cells.卡波西肉瘤相关疱疹病毒病毒FLICE抑制蛋白K13对人血管内皮细胞中受影响基因和细胞因子的综合微阵列与多重细胞因子分析
BMC Med Genomics. 2009 Aug 6;2:50. doi: 10.1186/1755-8794-2-50.
6
Bax activation by the BH3-only protein Puma promotes cell dependence on antiapoptotic Bcl-2 family members.仅含BH3结构域的蛋白Puma激活Bax,增强细胞对抗凋亡Bcl-2家族成员的依赖性。
J Cell Biol. 2009 Apr 20;185(2):279-90. doi: 10.1083/jcb.200809153.
7
Gene regulation and functional alterations induced by Kaposi's sarcoma-associated herpesvirus-encoded ORFK13/vFLIP in endothelial cells.卡波西肉瘤相关疱疹病毒编码的ORFK13/vFLIP在内皮细胞中诱导的基因调控和功能改变。
J Virol. 2009 Mar;83(5):2140-53. doi: 10.1128/JVI.01871-08. Epub 2008 Dec 17.
8
Tumour cell survival signalling by the ERK1/2 pathway.通过ERK1/2途径的肿瘤细胞存活信号传导。
Cell Death Differ. 2009 Mar;16(3):368-77. doi: 10.1038/cdd.2008.148. Epub 2008 Oct 10.
9
vFLIP from KSHV inhibits anoikis of primary endothelial cells.来自卡波西肉瘤相关疱疹病毒的vFLIP抑制原代内皮细胞的失巢凋亡。
J Cell Sci. 2008 Feb 15;121(Pt 4):450-7. doi: 10.1242/jcs.022343. Epub 2008 Jan 22.
10
The BCL-2 protein family: opposing activities that mediate cell death.BCL-2蛋白家族:介导细胞死亡的相反活性
Nat Rev Mol Cell Biol. 2008 Jan;9(1):47-59. doi: 10.1038/nrm2308.