Suppr超能文献

雷公藤红素通过靶向 TMPRSS2/ERG 融合基因表达的前列腺癌中的 AR-ERG-NF-κB 通路抑制肿瘤细胞生长。

Celastrol suppresses tumor cell growth through targeting an AR-ERG-NF-κB pathway in TMPRSS2/ERG fusion gene expressing prostate cancer.

机构信息

Department of Pathology and Immunology, Baylor College of Medicine and Michael E. DeBakey Department of Veterans Affairs Medical Center, Houston, Texas, USA.

出版信息

PLoS One. 2013;8(3):e58391. doi: 10.1371/journal.pone.0058391. Epub 2013 Mar 6.

Abstract

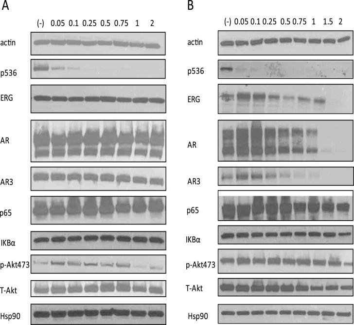
The TMPRSS2/ERG (T/E) fusion gene is present in the majority of all prostate cancers (PCa). We have shown previously that NF-kB signaling is highly activated in these T/E fusion expressing cells via phosphorylation of NF-kB p65 Ser536 (p536). We therefore hypothesize that targeting NF-kB signaling may be an efficacious approach for the subgroup of PCas that carry T/E fusions. Celastrol is a well known NF-kB inhibitor, and thus may inhibit T/E fusion expressing PCa cell growth. We therefore evaluated Celastrol's effects in vitro and in vivo in VCaP cells, which express the T/E fusion gene. VCaP cells were treated with different concentrations of Celastrol and growth inhibition and target expression were evaluated. To test its ability to inhibit growth in vivo, 0.5 mg/kg Celastrol was used to treat mice bearing subcutaneous VCaP xenograft tumors. Our results show Celastrol can significantly inhibit the growth of T/E fusion expressing PCa cells both in vitro and in vivo through targeting three critical signaling pathways: AR, ERG and NF-kB in these cells. When mice received 0.5 mg/kg Celastrol for 4 times/week, significant growth inhibition was seen with no obvious toxicity or significant weight loss. Therefore, Celastrol is a promising candidate drug for T/E fusion expressing PCa. Our findings provide a novel strategy for the targeted therapy which may benefit the more than half of PCa patients who have T/E fusion expressing PCas.

摘要

TMPRSS2/ERG(T/E)融合基因存在于大多数前列腺癌(PCa)中。我们之前已经表明,NF-κB 信号在这些表达 T/E 融合的细胞中通过 NF-κB p65 Ser536(p536)的磷酸化而高度激活。因此,我们假设针对 NF-κB 信号可能是携带 T/E 融合的 PCa 亚组的有效方法。鬼臼素是一种众所周知的 NF-κB 抑制剂,因此可能抑制 T/E 融合表达的 PCa 细胞生长。因此,我们评估了鬼臼素在表达 T/E 融合基因的 VCaP 细胞中的体外和体内作用。用不同浓度的鬼臼素处理 VCaP 细胞,并评估生长抑制和靶基因表达。为了测试其在体内抑制生长的能力,用 0.5mg/kg 的鬼臼素治疗皮下接种 VCaP 异种移植肿瘤的小鼠。我们的结果表明,鬼臼素通过靶向这些细胞中的三个关键信号通路:AR、ERG 和 NF-κB,可显著抑制 T/E 融合表达的 PCa 细胞的体外和体内生长。当小鼠每周接受 0.5mg/kg 的鬼臼素 4 次时,可观察到明显的生长抑制,且无明显毒性或体重明显减轻。因此,鬼臼素是一种有前途的 T/E 融合表达 PCa 的候选药物。我们的研究结果为靶向治疗提供了一种新策略,可能使一半以上的具有 T/E 融合表达的 PCa 患者受益。

https://cdn.ncbi.nlm.nih.gov/pmc/blobs/b69c/3590152/81017808bbb1/pone.0058391.g001.jpg

文献检索

告别复杂PubMed语法,用中文像聊天一样搜索,搜遍4000万医学文献。AI智能推荐,让科研检索更轻松。

立即免费搜索

文件翻译

保留排版,准确专业,支持PDF/Word/PPT等文件格式,支持 12+语言互译。

免费翻译文档

深度研究

AI帮你快速写综述,25分钟生成高质量综述,智能提取关键信息,辅助科研写作。

立即免费体验