Suppr超能文献

舒尼替尼诱发肾病综合征和血栓性微血管病。

Sunitinib induced nephrotic syndrome and thrombotic microangiopathy.

作者信息

Jha P K, Vankalakunti M, Siddini V, Bonu R, Prakash G K, Babu K, Ballal H S

机构信息

Department of Nephrology, Manipal Hospital, Bangalore, India.

出版信息

Indian J Nephrol. 2013 Jan;23(1):67-70. doi: 10.4103/0971-4065.107215.

Abstract

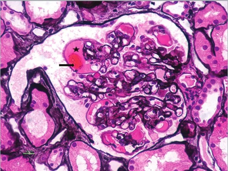
Sunitinib is an oral, multitargeted receptor tyrosine kinase inhibitor of targets such as vascular endothelial growth factor and platelet derived growth factor receptor. It is used for the treatment of metastatic renal cell carcinoma (RCC). Use of sunitinib has been associated with renal dysfunction and nephrotic syndrome. However, simultaneous occurrence of nephrotic syndrome and renal dysfunction in a patient treated with sunitinib is rare. We report a case of metastatic RCC treated with sunitinib for 22 months who presented with nephrotic syndrome and renal dysfunction. Renal biopsy was diagnostic of thrombotic microangiopathy with diffuse effacement of podocytic foot process.

摘要

舒尼替尼是一种口服的多靶点受体酪氨酸激酶抑制剂,作用于血管内皮生长因子和血小板衍生生长因子受体等靶点。它用于治疗转移性肾细胞癌(RCC)。使用舒尼替尼与肾功能不全和肾病综合征有关。然而,在接受舒尼替尼治疗的患者中,肾病综合征和肾功能不全同时出现的情况很少见。我们报告一例接受舒尼替尼治疗22个月的转移性RCC患者,该患者出现了肾病综合征和肾功能不全。肾活检诊断为血栓性微血管病,足细胞足突弥漫性消失。

https://cdn.ncbi.nlm.nih.gov/pmc/blobs/640c/3621245/cc8fcc5b7360/IJN-23-67-g001.jpg

文献AI研究员

20分钟写一篇综述,助力文献阅读效率提升50倍。

立即体验

用中文搜PubMed

大模型驱动的PubMed中文搜索引擎

马上搜索

文档翻译

学术文献翻译模型,支持多种主流文档格式。

立即体验