Suppr超能文献

肝脏弥散加权成像:更新。

Diffusion-weighted imaging of the liver: an update.

机构信息

Department of Radiology, St Mary's Hospital, Imperial College Healthcare NHS Trust, London, UK.

出版信息

Cancer Imaging. 2013 Apr 15;13(2):171-85. doi: 10.1102/1470-7330.2013.0019.

Abstract

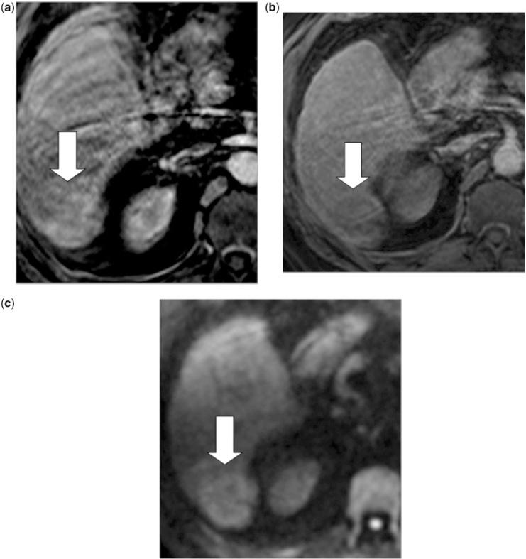
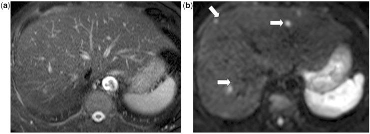
Diffusion-weighted magnetic resonance imaging (DW-MRI) is now widely used as a standard imaging sequence for evaluation of the liver. The technique is easy to implement across different MRI platforms, and results in enhanced disease detection and characterization. With careful implementation, the quantitative apparent diffusion coefficient derived shows good measurement reproducibility, which can be applied for tissue characterization, the assessment of tumour response and disease prognostication. There is now a body of evidence that highlights the relative strengths and limitations of the technique for the assessment of liver diseases. The potential for more sophisticated analysis of DW-MRI data is currently being widely investigated.

摘要

扩散加权磁共振成像(DW-MRI)现在被广泛用作评估肝脏的标准成像序列。该技术易于在不同的 MRI 平台上实施,可提高疾病检测和特征描述的能力。通过仔细实施,所得到的定量表观扩散系数具有良好的可重复性,可用于组织特征描述、肿瘤反应评估和疾病预后预测。现在有大量证据强调了该技术在评估肝脏疾病方面的相对优势和局限性。目前,人们正在广泛研究对 DW-MRI 数据进行更复杂分析的可能性。

https://cdn.ncbi.nlm.nih.gov/pmc/blobs/be5f/3629892/a84e8d2fec52/ci13001901.jpg

文献AI研究员

20分钟写一篇综述,助力文献阅读效率提升50倍。

立即体验

用中文搜PubMed

大模型驱动的PubMed中文搜索引擎

马上搜索

文档翻译

学术文献翻译模型,支持多种主流文档格式。

立即体验