Department of Comparative Biomedicine and Food Science, University of Padova, Viale dell'Università 16, Agripolis Legnaro, PD, Italy.
BMC Vet Res. 2013 May 3;9:94. doi: 10.1186/1746-6148-9-94.
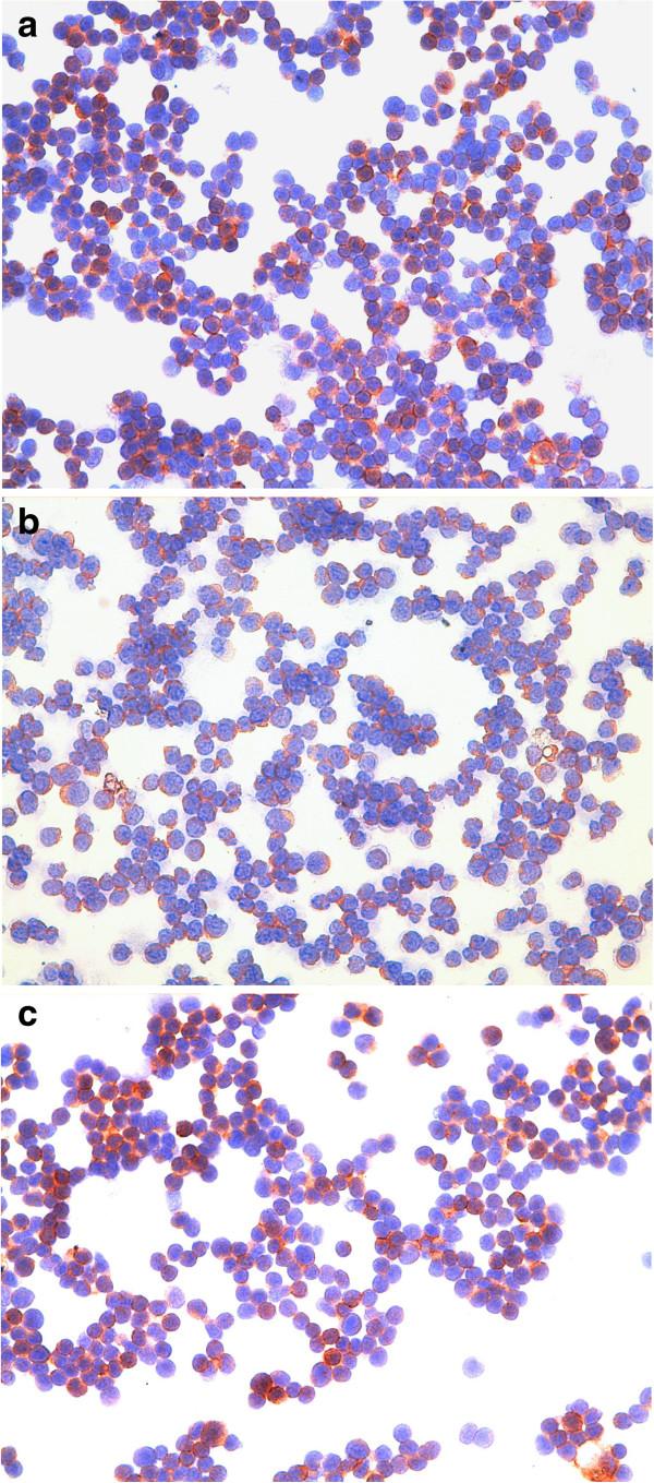
Canine lymphoma represents the most frequent haematopoietic cancer and it shares some similarities with human non-Hodgkin lymphoma. Matrix metalloproteinases (MMPs) and vascular endothelial growth factor (VEGF) play a coordinated role during invasion and proliferation of malignant cells; however, little is known about their role in canine haematologic malignancies. The aim of this study was to investigate the mRNA and protein expression of VEGF and the most relevant MMPs in canine lymphoma. Lymph node aspirates from 26 B-cell and 21 T-cell lymphomas were collected. The protein expression levels of MMP-9, MMP-2 and VEGF-A were evaluated by immunocytochemistry, and the mRNA levels of MMP-2, MMP-9, MT1-MMP, TIMP-1, TIMP-2, RECK, VEGF-A and VEGF-164 were measured using quantitative RT-PCR.
MT1-MMP, TIMP-1 and RECK mRNA levels were significantly higher in T-cell lymphomas than in B-cell lymphomas. Higher mRNA and protein levels of MMP-9 and VEGF-A were observed in T-cell lymphomas than in B-cell lymphomas and healthy control lymph nodes. A positive correlation was found between MMP-9 and VEGF-A in T-cell lymphomas. Moreover, MMP-9, MT1-MMP, TIMP-1 and VEGF-A were expressed at the highest levels in high-grade T-cell lymphomas.
This study provides new information on the expression of different MMPs and VEGF in canine lymphoma, suggesting a possible correlation between different MMPs and VEGF, immunophenotype and prognosis.
犬淋巴瘤是最常见的造血系统癌症,与人类非霍奇金淋巴瘤有一些相似之处。基质金属蛋白酶(MMPs)和血管内皮生长因子(VEGF)在恶性细胞的侵袭和增殖过程中发挥着协同作用;然而,关于它们在犬血液恶性肿瘤中的作用知之甚少。本研究旨在研究犬淋巴瘤中 VEGF 和最相关的 MMPs 的 mRNA 和蛋白表达。收集了 26 例 B 细胞淋巴瘤和 21 例 T 细胞淋巴瘤的淋巴结抽吸物。通过免疫细胞化学评估 MMP-9、MMP-2 和 VEGF-A 的蛋白表达水平,并使用定量 RT-PCR 测量 MMP-2、MMP-9、MT1-MMP、TIMP-1、TIMP-2、RECK、VEGF-A 和 VEGF-164 的 mRNA 水平。
T 细胞淋巴瘤中 MT1-MMP、TIMP-1 和 RECK 的 mRNA 水平明显高于 B 细胞淋巴瘤。T 细胞淋巴瘤中 MMP-9 和 VEGF-A 的 mRNA 和蛋白水平均高于 B 细胞淋巴瘤和健康对照淋巴结。T 细胞淋巴瘤中 MMP-9 和 VEGF-A 之间存在正相关。此外,在高级别 T 细胞淋巴瘤中,MMP-9、MT1-MMP、TIMP-1 和 VEGF-A 的表达水平最高。
本研究提供了犬淋巴瘤中不同 MMPs 和 VEGF 表达的新信息,提示不同 MMPs 和 VEGF 与免疫表型和预后之间可能存在相关性。